Reports & Studies

Snus causes mucosal lesions & gingival recession

PD Dr. Kristina Bertl, PhD MSc MBA

Snus is an oral tobacco that is consumed either loose (as a powder) or portioned (in small sachets) and contains both nicotine and tobacco. This type of oral tobacco is particularly widespread in Scandinavia, especially in Sweden and Norway. Snus is usually brought into contact with the oral mucosa via its placement beneath the upper lip, and in some cases under the lower lip, whereby the nicotine it contains can enter the bloodstream via the oral mucosa. As snus is not smoked, it does not generate the same harmful substances that usually occur when burning tobacco. For this reason, it is often claimed that snus is less harmful to health than smoking cigarettes, but is that really the case? And what effect does it have on the oral cavity in particular?

Snus causes mucosal lesions & gingival recession
Snus causes mucosal lesions & gingival recession

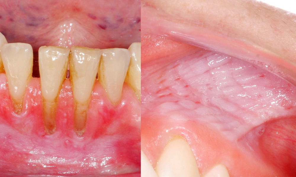
A recent study carried out in Norway examined whether and which oral lesions can occur when snus is consumed regularly at a relatively young age (Kopperud et al. 2023). A total of 1363 young adults aged 18 to 20 were asked about their snus consumption and of these, 216 (16%) said they consumed snus daily.

The clinical examination showed that regular consumption of snus can have the following effects on the oral mucosa:

  • Approximately 80% of those examined who consumed snus daily had snus-induced mucosal lesions.
  • For each additional tin of snus consumed per month, the risk of a more severe mucosal lesion increased significantly.
  • Approximately 20% of those examined who consumed snus daily had snus-induced gingival recession.
  • For each additional year that snus was consumed, the risk of snus-induced gingival recession increased significantly.

Even if snus is not widely used in Austria due to a ban on its sale, it is still interesting to know what the consequences for the oral cavity may be, since – as confirmed again in this study – they occur in almost everyone who regularly consumes snus.

Reference

  1. Simen E. Kopperud, Vibeke Ansteinsson, Ibrahimu Mdala, Rune Becher & Håkon Valen (2023) Oral lesions associated with daily use of snus, a moist smokeless tobacco product. A cross-sectional study among Norwegian adolescents, Acta Odontologica Scandinavica, 81:6, 473-478

comments