Reports & Studies

Piezoelectric Implant Site Preparation

Implant-retained fixed prostheses improve mastication and quality of life.

Professor Dr Dr José Luis Calvo Guirado

Piezoelectric implant site preparation for a maxillary CAD/CAM prosthesis

In edentulous patients implant-retained fixed prostheses improve mastication and quality of life. Due to resorption and extensive pneumatization of the sinuses a patient had only a minimal posterior maxillary bone height. The implant sites were prepared with a piezoelectric device and a new set of dedicated instruments. Two 10-mm and six 4-mm implants were placed to retain a bar supported fixed CAD/CAM denture.

Preparation of implant sites is traditionally performed with rotary instruments. Up-to-date implant motors ensure well-controlled cutting at low speed and defined torque values. However, in challenging anatomical situations, e.g., with minimal bone volume and a thin layer of cortical bone, or when preparing close to the Schneiderian membrane, rotary preparation allows only limited operator sensitivity. Moreover, with rotary instruments, it is difficult to correct the initial axis of an implant site.

In contrast, preparation with piezoelectric devices has proven especially gentle to hard and soft tissues (1). This allows preparing with superior tactile feeling and minimal pressure, for maximum control of surgical procedures (2). Ultrasonic implant site preparation has been advocated for situations where delicate bone and soft tissues are endangered, e.g., in context with internal maxillary sinus augmentation (3). Following piezoelectric preparation a favorable effect has also been identified on osseointegration, which results in an earlier transition from primary to secondary implant stability (4). In addition, in a multi-center study including more than 3,500 implants piezoelectric preparation has proven successful in a wide range of indications (5).

Patient case

A 41-year-old patient without systemic particularities lost all her teeth due to periodontitis and caries. Finally she had to wear mucosa-supported total dentures in both jaws, with great masticatory difficulties due to the ill-fitting prostheses. The patient decided to have implants placed to support a bar-retained fixed CAD/CAM prosthesis in the mandible.

Three years later it was time for a maxillary denture of the same type. Based on CBCT planning sinus augmentation was avoided with the aid of short implants, and a surgical template was used to transfer the planned positions to the alveolar ridge (Figs. 1 and 2).

Implant positions
Fig. 1: Pre-operative view of the maxillary ridge, with implant positions marked with the aid of a surgical plastic template. Due to the low ridge super short posterior implants are planned.
Implant positions
Fig. 2: After mid-crestal incision and preparation of mucoperiosteal flaps the implant positions are transferred to the bone.

A flame-shaped, diamond-coated piezoelectric instrument (Piezomed I1) was used to mark the implant positions and to perform pilot preparation (Fig. 3). Care was taken to use an up and down movement, with reduced power, full irrigation and low pressure (below 300 g). Next a pilot instrument (Piezomed I2A/I2P) was applied for the initial 2 mm diameter enlargement of the implant sites (Fig. 4), followed by a 3 mm insert (Fig. 5).

Ultrasonic marker instrument Piezomed
Fig. 3: Preparation with the ultrasonic marker instrument Piezomed I1 is performed in an up and down movement, parallel to the long axis of the working part.
Implant motor (Implantmed)
Fig. 5: The final diameter is achieved with the Piezomed I3A/I3P instruments. For the 10-mm implants at positions 11 and 21 sites are finalized with a 3.5 mm rotary drill in an implant motor (Implantmed).
Piezomed I2A/I2P instruments
Fig. 4: The next step is pilot enlargement with the Piezomed I2A/I2P instruments, which are applied in a rotary horizontal movement.

In case of dense bone the whole instrument sequence including the intermediate instruments Piezomed Z25P and Z35P should be used to widen the osteotomies before the next enlargement step.

They are also indicated for preparation near the sinus membrane in connection with internal augmentation procedures or when there is less than 4 mm of residual bone height.

In the present case the Z25P and Z35P instruments were not used due to the relatively soft posterior bone, which was easily managed with the I3A/I3P.

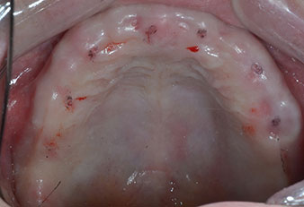
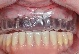
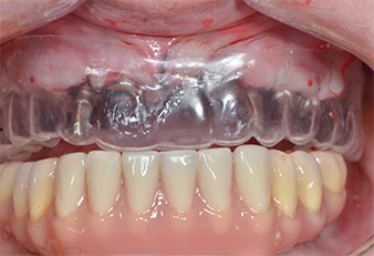
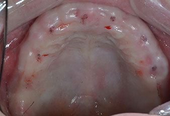
Due to the relatively hard bone (D2) in this area, the 10 mm long implant sites at positions 11 and 21 were finalized with a 4 mm diameter rotary drill, in combination with a W&H WS-75 L surgical contra-angle handpiece, the W&H Implantmed implant motor and the optional W&H Osstell ISQ module. In contrast, due to the soft bone the posterior sites were prepared to a final 3 mm diameter using the Piezomed I3P instrument. The implants were finally placed transgingivally to osseointegrate for three months (Figs. 6-10). The existing denture was retained on four provisional implants (Fig. 8).

10-mm tissue level implant
Fig. 6: A 10-mm tissue level implant is placed at position 21. The implant at position 11 and the three left posterior 4-mm implants are already in place.
Implant stability
Fig. 7: Implant stability is determined with a SmartPeg and the W&H Osstell ISQ module. All values are in the medium to high range, with a minimum of ISQ 69.
Provisional implants
Fig. 8: After fixation of the gingiva formers provisional implants are placed at positions 18, 12, 22 and 28.
Plastic template
Fig. 9: A plastic template reveals sufficient space for the existing prosthesis to serve as a temporary retained on the provisional implants.
Post-operative panoramic radiograph
Fig. 10: The post-operative panoramic radiograph shows all implants in appropriate positions, including the pterygoid provisional implants.

Discussion

Piezoelectric preparation has been proven to enhance bone healing (6, 7), which results in improved bone formation and a higher bone density near the implant surface (8). As shown in a randomized controlled trial, this may lead to an earlier increase of secondary implant stability, as compared to sites prepared with rotary instruments (4).

Another important aspect of piezoelectric preparation is excellent operator sensitivity in small bone volumes, as in the present patient. Delicate cortical bone layers, often found in anterior sites, are easier to detect with piezoelectric systems, leading to a less invasive preparation. Moreover, the cooling system of the Piezomed allows effective irrigation of the surgical site. This avoids heat production, in combination with maximum effectivity. Last but not least piezoelectric preparation is free of macro vibration, which makes the procedure more convenient for patients (9).

The chosen combined preparation procedure, with rotary finalization of the anterior implant sites in hard bone proved effective, while piezoelectric preparation was optimal for the posterior soft bone with low residual bone height.

Prof. Dr. Dr. José Luis Calvo Guirado
Photos: © Calvo Guirado

Professor Dr Dr José Luis Calvo Guirado
D.D.S, PhD/Eu, PhD, M.Sc.
Murcia, Spain


References

  1. Vercellotti T. Essentials in Piezosurgery: Clinical Advantages in Dentistry: Quintessence Publishing, 2009.
  2. Schlee M, Steigmann M, Bratu E, Garg AK. Piezosurgery: basics and possibilities. Implant dentistry 2006;15:334-340.
  3. Pellegrino G, Taraschi V, Vercellotti T, Ben-Nissan B, Marchetti C. Three-Dimensional Implant Positioning with a Piezosurgery Implant Site Preparation Technique and an Intraoral Surgical Navigation System: Case Report. The International journal of oral & maxillofacial implants 2017;32:e163-e165.
  4. Stacchi C, Vercellotti T, Torelli L, Furlan F, Di Lenarda R. Changes in implant stability using different site preparation techniques: twist drills versus piezosurgery. A single-blinded, randomized, controlled clinical trial. Clinical implant dentistry and related research 2013;15:188-197.
  5. Vercellotti T, Stacchi C, Russo C, Rebaudi A, Vincenzi G, Pratella U, et al. Ultrasonic implant site preparation using piezosurgery: a multicenter case series study analyzing 3,579 implants with a 1- to 3-year follow-up. The International journal of periodontics & restorative dentistry 2014;34:11-18.
  6. Chiriac G, Herten M, Schwarz F, Rothamel D, Becker J. Autogenous bone chips: influence of a new piezoelectric device (Piezosurgery) on chip morphology, cell viability and differentiation. J Clin Periodontol 2005;32:994-999.
  7. Preti G, Martinasso G, Peirone B, Navone R, Manzella C, Muzio G, et al. Cytokines and growth factors involved in the osseointegration of oral titanium implants positioned using piezoelectric bone surgery versus a drill technique: a pilot study in minipigs. J Periodontol 2007;78:716-722.
  8. Di Alberti L, Donnini F, Di Alberti C, Camerino M. A comparative study of bone densitometry during osseointegration: piezoelectric surgery versus rotary protocols. Quintessence Int 2010;41:639-644.
  9. Sohn DS, Ahn MR, Lee WH, Yeo DS, Lim SY. Piezoelectric osteotomy for intraoral harvesting of bone blocks. The International journal of periodontics & restorative dentistry 2007;27:127-131.

comments