Reports & Studies

Atraumatic removal of a root remnant in the retromolar region

Piezo surgery supports atraumatic procedure in osteotomy close to nerves

Radix relicta

A 26-year old patient complained of constant pain and paraesthesia after surgical removal of a retained wisdom tooth. Panoramic radiographs confirmed a root remnant located in close proximity to the inferior alveolar nerve.

A piezo surgical system was used to enable removal of the radix relicta with as little trauma as possible to the tissue. The defect was augmented with autogenous bone chips.

Surgical removal of third molars or wisdom teeth is one of the most frequent procedures in oral surgery. The risk of complications associated with it is determined, among other things, by the operating technique and the patient’s age, and also by the tooth’s anatomy and position in the jaw bone (angle, depth of displacement) (1). The procedure may traumatize two adjacent molars (2), lead to perioperative bleeding complications or cause postoperative dysaesthesia, infections and pain (3). Fractures of the ascending ramus are possible in the mandible and oro-antral communications often occur in the maxilla.

Nerve damage

Particular care must be taken with regard to the position of the lingual nerve and inferior alveolar nerve when performing extraction in the mandible. In approximately 1 percent of cases, damage to both nerves together may result in anaesthesia, hypaesthesia, hyperaesthesia and disturbances in taste perception. Dysaesthesias are permanent in approximately 1 percent of cases (3-5) but it is not uncommon for them to last for longish periods (4).

With adequate preoperative radiological diagnostics (orthopantomogram), injuries to the inferior alveolar nerve are mostly foreseeable and therefore preventable. Where it is suspected that an impacted third molar is in close proximity to this nerve, a three-dimensional image (DVT, CT) may additionally be indicated (6, 7).

When wisdom teeth are extracted or osteotomized, root portions may fracture and remain behind (3). Generally speaking, radices relictae must be removed if they can be identified intra- or postoperatively. Depending on how the operation proceeds, leaving them in place may lead to postoperative infections and corresponding discomfort, including dysaesthesias.

Role of the operating technique

The access route (buccal or lingual), flap design, protection of the nerves in the operating area and the preparation technique all play a role in the operating technique. However, there are very few comparative studies that provide evidence that any one specific technique has significant advantages (8).

Osteotomies are traditionally performed with rotary round burs and bone burs. Alternative piezo surgical systems that may be used work with micro-oscillation which, according to clinical observations, can improve control during preparation. Slipping – as is possible with rotary instruments – is prevented in piezo surgery (9-11).

In the case of preparation close to nerve tissue, piezo surgery has the decisive advantage when used correctly that soft tissue is protected due to the specific micro-oscillating mode of operation (12, 13).

Conservative treatment and fracture prevention

One additional advantage of piezo surgical instruments is their diameter, which in the case of saws is only 0.25 to 0.5 millimetres depending on the system. Common Lindemann burs by comparison have a diameter of 1.6 mm, and even the latest products still have a diameter of 1.2 mm. Surgical round burs are available above a diameter of 1.0 mm. Spherical piezo surgical instruments which can be used as an alternative to round burs also have a minimum diameter of approximately 1.0 mm.

Overall, an unnecessarily large amount of bone is removed with rotary as opposed to piezo surgical instruments due to their size. The wound area becomes larger, increasing the risk of postoperative pain and infections. Additionally, depending on the anatomical situation, the jaw bone may be unnecessarily weakened. According to clinical experience, even conventional rotary or oscillating saws remove a relatively large amount of bone substance (9, 14).

In contrast, with piezo surgical instruments it is possible to expose impacted teeth – and also normally erupted teeth or root remnants – very selectively and therefore with as little trauma as possible to the tissue. The fine instruments and the cavitation effect arising as a result of micro-oscillation ensure a good view making it easier to prevent injuries and unnecessary loss of substance.


Case description

A 26-year old patient had recurring pain in the operative area six months after osteotomy of tooth 38 (LL8) and complained of hyposensitivity in the area innervated by the inferior alveolar nerve. He was referred by the referring dentist, who had not performed the original tooth extraction himself, to the Department of Oral Surgery at the University Dental Clinic Vienna.

The root remnant in the region of tooth 38 (LL8) was already displaying close proximity to the inferior alveolar nerve on the OPG. The root had fractured during the osteotomy but had not been removed by the primary treatment provider due to intraoperative pain. To ensure as little trauma as possible to the tissue, the new osteotomy was to be carried out using a piezo surgical system. The patient had an unremarkable medical history and was a non-smoker.

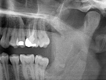
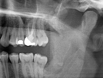
OPG 6 months after osteotomy
Fig. 1: OPG 6 months after osteotomy of tooth 38 (LL8): radix relicta lies close to the inferior alveolar nerve.

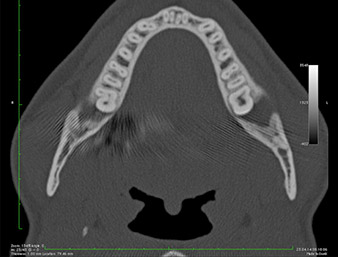
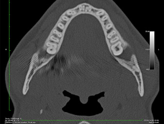
It could be seen in the 3D image (digital volume tomography) that the root remnant was located disto-caudally in the transition from the horizontal to the ascending portion of the mandible (Fig. 2).

After block and local anaesthesia, the operating site was opened up and the soft tissue exposed for buccal retromolar access (Fig. 3).

DVT-image
Fig. 2: Transverse DVT image of the root remnant in the retromolar region.
sulcular incision
Fig. 3: The sulcular incision begins in mid-tooth 36 (LL6), with distal extension on the ascending ramus.

The tissue above the root remnant was not completely ossified and consisted for the most part of granulation tissue modified by inflammation (Fig. 4).

To obtain autogenous material for subsequent wound treatment, healthy bone chips were harvested from the surroundings of the root remnant with a piezo surgical instrument (Piezomed B5) (Fig. 5).

Granulation tissue
Fig. 4: Two Langenbeck retractors and a raspatorium expose the operating area. Granulation tissue of the incompletely healed first osteotomy can be seen.
Piezomed B5
Fig. 5: Bone in the region of the alveole is lifted with a chisel-shaped piezo surgical instrument (Piezomed B5). This bone is used as autologous augmentation material after removal of the root remnant (cf. Fig. 13 and 14).

The autogenous tissue was removed with the scraper-shaped section of the working part of the instrument and stored in a physiological saline solution until further use (cf. Fig. 13).

To expose the root remnant with as little trauma as possible to the tissue, a further instrument was used (Piezomed S2) that is primarily indicated for preparing the lateral window in augmentations of the sinus floor. The diamond-coated ball was additionally used to smooth sharp bone edges (Fig. 6 and 7). All the Piezomed attachments were used with the relevant automatic default setting without booster function.

Piezomed S2
Fig. 6: The root remnant is carefully exposed with a diamond-coated spherical instrument (Piezomed S2), bone edges are smoothed.
root remnant 38
Fig. 7: The root remnant 38 (LL8) is well exposed in its alveole for subsequent removal.
Ring-LED of piezo surgical instrument
Fig. 8: The ring LED ensures ideal illumination of the operating site.

Using an instrument for periodontal debridement (Piezomed P1), the periodontal ligament space of the radix relicta was then widened minimally (Fig. 8).

The same activated instrument was inserted into the root canal and loosened the fragment as a result of its micro-oscillating vibrations (Fig. 9, 10).

Piezomed P1
Fig. 9: The Piezomed P1 instrument is recommended by the manufacturer primarily for periodontal debridement but is also suitable for surgical purposes. Here it is placed in the root canal after minimal widening of the periodontal ligament space.
Piezomed P1
Fig. 10: Due to its slender shape, the instrument can penetrate the root canal and remove the root remnant by means of micro-oscillation (vibration).

It was then possible to remove the approximately six-millimetre-long root remnant in one piece with the P1 attachment (Fig. 11).

Periapical inflamed tissue was also removed very carefully with a manual excavator. Fig. 12 shows the empty alveole with exposed inferior alveolar nerve.

Radix relicta
Fig. 11: The extracted radix relicta measures more than 6 millimetres.
inferior alveolar nerve
Fig. 12: The inferior alveolar nerve can be seen in the bottom of the alveole.
Bone chips
Fig. 13: Bone chips from the operating area were stored in sterile saline solution.

Subsequently, the autogenous bone tissue (Fig. 13) was placed into the alveole and the surrounding bone defect (Fig. 14). Collagen fleece covered the bone chips up to bone level as protection for the exposed nerve (Fig. 15). Sutures using vicryl thread, USP 4.0, were used to close the opened up soft tissue (Fig. 16). An Ibuprofen preparation (Seractil 400 mg, 3x1) and an antibiotic consisting of amoxicillin and clavulanic acid (Augmentin 1 g, 2x1) were prescribed postoperatively.

The wound healed without complications (Fig. 17) and the sutures were removed after seven days. The patient reported the return of proper sensitivity. There was no longer any pain.

apical portion of the alveole
Fig. 14: The apical portion of the alveole is covered with the autogenous tissue.
collagen fleece
Fig. 15: The defect is filled with collagen fleece up to bone level to protect the nerve. Bleeding initiates the healing phase.
sutures (vicryl thread 4.0)
Fig. 16: The wound region is closed with sutures (vicryl thread 4.0).
Condition after removal of sutures
Fig. 17: Condition after removal of sutures 7 days after extraction: Wound healing progresses without complications. Paraesthesia, present after the initial osteotomy, has healed; pain no longer present.

Discussion

The complication risk for the surgical removal of wisdom teeth is determined, among other things, by the patient’s age, root anatomy and operating technique (1). It is very likely that the same parameters also influence the operating procedure and wound healing in the case of root remnant osteotomies.

Where root remnants are close to nerves and there is no discomfort, they can be left in place based on appropriate postoperative diagnosis (3). Since in our case study the patient was suffering from pain and paraesthesia, it was necessary to osteotomize the remnant despite the risk of nerves and surrounding tissue being damaged again and possibly more seriously. Had the radix relicta been left in place, ongoing pain and recurring infections would have been likely. Furthermore, pathological processes such as abscess formation, osteomyelitis or dental cysts might have occurred.

Based on his medical history, our patient (non-smoker, 26 years old) had a very good chance of a successful outcome. Due to indication of the root remnant’s close proximity to the inferior alveolar nerve on the OPG, digital volume tomography was used in addition (6).

The very close proximity discovered made it necessary to perform a precise and atraumatic osteotomy. In this case, clinical observations and comparative studies favour piezo surgery which has been available since the end of the 1990s (9-11). Due to the characteristic micro-oscillation of these systems, it is possible to remove bone selectively, thus enabling minimally invasive preparation.

Device-specific advantages

With the device used here (Piezomed, W&H), very effective cooling close to the instrument provides additional security. This also applies to the device’s ability to identify the instruments being used, which ensures automatically correct power settings. The device exhibits remarkably high and constant performance during osteotomies, which was relevant during the harvesting of bone chips in the case study. At the same time, due to the technical design, soft tissue, and therefore also nerve tissue, was preserved in the operating area. For example, this special piezo surgical characteristic enables the preparation of lateral bone windows during a sinus lift, with only slight risk of perforating the Schneiderian membrane (13).

In our example, a week after removal of the root remnant our patient reported a return of sensitivity in the innervated area of the inferior alveolar nerve. Postoperative checkups additionally showed very good, fast wound healing and an end to the pain symptoms that had gone on for six months. The procedure was carried out completely without rotary instruments. In the author’s experience, they would not have facilitated a comparably atraumatic operating technique.

Another advantage of the piezo surgical technique is the absence of bleeding during the procedure. This is attributed to the cavitation effect: the high-frequency ultrasound generates shock waves in the cooling liquid which result in micro-coagulation (15). The result is a better view and a safer procedure (11). In the system used, integrated illumination with six LEDs can improve the view at the operating site.

Widening of periodontal ligament space and harvesting of bone chips

Using the slender piezo surgical instrument Piezomed P1, it was possible to widen the periodontal ligament space in preparation and to remove the root elegantly by inserting the instrument into the root canal. The micro-oscillating mode of operation also proved advantageous here and flexible use of the technology is obvious. In contrast, rotary instruments do not offer comparable options.

In autogenous bone chips, harvested using a piezo surgical technique in the case study, bone cells appear to have a better chance of survival than when using rotary preparation (16). This is an advantage for wound healing. As is usual at the University Dental Clinic Vienna, to optimize hygiene and consequently the healing process, suction with bone filter was not used during the preparation.

Conclusions

The case study illustrates the tissue-conserving and at the same time powerful work of the Piezomed system. Due to the precise micro-oscillating mode of operation, it is also possible to protect nerves during challenging osteotomies thus allowing them to regenerate.


Ass. Prof. PD Dr. Georg D. Strbac
Ass. Prof. PD Dr. Georg D. Strbac - Department of Oral Surgery at the University Dental Clinic Vienna

©Photos: Strbac – UZMK Vienna

Literatur

  1. Akadiri OA, Obiechina AE. Assessment of difficulty in third molar surgery--a systematic review. J Oral Maxillofac Surg 2009;67:771-774.
  2. Strietzel FP, Reichart P. Wundheilung nach operativer Weisheitszahnentfernung. Evidenzgestützte Analyse (in German). Mund Kiefer Gesichtschir 2002;6.
  3. Arrigoni J, Lambrecht, JT. Komplikationen bei und nach operativer Weisheitszahnentfernung. Schweiz Monatsschr Zahnmed 2004;114:1271-1279.
  4. Carmichael FA, McGowan DA. Incidence of nerve damage following third molar removal: a West of Scotland Oral Surgery Research Group study. Br J Oral Maxillofac Surg 1992;30:78-82.
  5. Valmaseda-Castellon E, Berini-Aytes L, Gay-Escoda C. Inferior alveolar nerve damage after lower third molar surgical extraction: a prospective study of 1117 surgical extractions. Oral Surg Oral Med Oral Pathol Oral Radiol Endod 2001;92:377-383.
  6. Arbeitsgemeinschaft für Röntgenologie ARö. s2k-Leitlinie dentale digitale Volumentomographie. Version #9, 2013-08-05, http://www.awmf.org/uploads/tx_szleitlinien/083-005l_S2k_Dentale_Volumentomographie_2013-10.pdf, accessed 2016-05-12.
  7. DGMKG. S2k-Leitlinie: Operative Entfernung von Weisheitszähnen; Version 2012-12-21 (corr. long version 2013-01; http://www.awmf.org/leitlinien/detail/ll/007-003.html accessed 2016-05-12. guideline, 2012.
  8. Dodson TB, Susarla SM. Impacted wisdom teeth. BMJ clin evid 2010;2010.
  9. Rothamel D, et al. Piezosurgery - a universal principle for many indications. EDI Journal 2015;64-70.
  10. Vercellotti T. Essentials in Piezosurgery: Clinical Advantages in Dentistry: Quintessence Publishing, 2009.
  11. Schlee M, Steigmann M, Bratu E, Garg AK. Piezosurgery: basics and possibilities. Implant dent 2006;15:334-340.
  12. Vercellotti T. Essentials in Piezosurgery: Clinical Advantages in Dentistry: Quintessence Publishing, 2009.
  13. Wallace SS, Mazor Z, Froum SJ, Cho SC, Tarnow DP. Schneiderian membrane perforation rate during sinus elevation using piezosurgery: clinical results of 100 consecutive cases. Int J Periodontics Restorative Dent 2007;27:413-419.
  14. Pereira CC, Gealh WC, Meorin-Nogueira L, Garcia-Junior IR, Okamoto R. Piezosurgery applied to implant dentistry: clinical and biological aspects. J Oral Implantol 2014;40 Spec No:401-408.
  15. Rahnama M, Czupkallo L, Czajkowski L, Grasza J, Wallner J. The use of piezosurgery as an alternative method of minimally invasive surgery in the authors' experience. Wideochirurgia i inne techniki maloinwazyjne 2013;8:321-326.
  16. von See C, Rucker M, Kampmann A, Kokemuller H, Bormann KH, Gellrich NC. Comparison of different harvesting methods from the flat and long bones of rats. Br J Oral Maxillofac Surg 2010;48:607-612.

comments