Berichte & Studien

Wurzelrest im retromolaren Raum schonend entfernen

Piezo-Chirurgie unterstützt atraumatisches Vorgehen bei nervnaher Osteotomie

Radix relicta

Ein 26-jähriger Patient klagte nach operativer Entfernung eines retinierten Weisheitszahns über permanente Schmerzen und Sensibilitätsstörungen. Übersichtsaufnahmen bestätigten einen Wurzelrest, der sich in enger Lagebeziehung zum Nervus alveolaris inferior befand.

Um die Radix relicta gewebeschonend entfernen zu können, wurde ein piezo-chirurgisches System eingesetzt. Der Defekt wurde mit autogenen Knochenspänen augmentiert.

Die operative Entfernung dritter Molaren ist einer der häufigsten Eingriffe in der Oralchirurgie. Das damit verbundene Komplikationsrisiko wird unter anderem von Operationstechnik und Patientenalter bestimmt, weiterhin von der Anatomie und Position des Zahnes im Kieferknochen (Abwinkelung, Tiefe der Verlagerung) (1). Der Eingriff kann benachbarte zweite Molaren traumatisieren (2), zu perioperativen Blutungskomplikationen führen oder postoperative Dysästhesien, Infektionen und Schmerzen verursachen (3). Im Unterkiefer sind Frakturen des aufsteigenden Astes möglich und im Oberkiefer treten nicht selten Mund-Antrum-Verbindungen auf.

Nervverletzungen

Im Unterkiefer ist bei der Entfernung besonders auf die Lagebeziehung des Nervus lingualis und Nervus alveolaris inferior zu achten. Verletzungen beider Nerven können zusammen in zirka 1 Prozent der Fälle zu Anästhesien, Hypästhesien, Hyperästhesien und Störungen der Geschmacksempfindung führen. Dysästhesien sind in zirka 1 Prozent permanent (3-5), persistieren aber nicht selten über längere Zeiträume (4).

Bei adäquater präoperativer Röntgendiagnostik (Panoramaschicht-Aufnahme) sind Verletzungen des N. alveolaris inferior meist vorherseh- und damit vermeidbar. Bei Verdacht auf enge Lagebeziehung eines impaktierten dritten Molaren zu diesem Nerv kann zusätzlich eine dreidimensionale Darstellung (DVT, CT) indiziert sein (6, 7).

Wenn Weisheitszähne extrahiert oder osteotomiert werden, können Wurzelanteile frakturieren und zurückbleiben (3). Radices relictae müssen in der Regel – und wenn sie intra- oder postoperativ identifiziert werden können – entfernt werden. Ein Belassen kann je nach Operationsverlauf zu postoperativen Infektionen und entsprechenden Beschwerden, einschließlich Dysästhesien führen.

Rolle der Operationstechnik

Bei der Operationstechnik spielen unter anderem der Zugangsweg (bukkal oder lingual), das Lappendesign, der Schutz von Nerven im Operationsgebiet und die Präparationsmethode eine Rolle. Es gibt jedoch nur wenige Vergleichsstudien, die signifikante Vorteile einer bestimmten Technik belegen (8).

Osteotomien werden traditionell mit rotierenden Rosenbohrern und Fräsern durchgeführt. Alternativ einsetzbare piezochirurgische Systeme arbeiten mit Mikro-Oszillation, womit nach klinischen Beobachtungen die Kontrolle bei der Präparation verbessert werden kann. Ein Abrutschen – wie es bei rotierenden Instrumenten möglich ist – wird bei der Piezochirurgie vermieden (9-11).

Bei Präparationen in der Nähe von Nervengewebe hat die Piezochirurgie bei korrekter Anwendung den entscheidenden Vorteil, dass Weichgewebe wegen der spezifischen mikro-oszillierenden Arbeitsweise geschont wird (12, 13).

Substanzschonung und Frakturprävention

Ein zusätzlicher Vorteil piezochirurgischer Instrumente ist ihr Durchmesser, der bei Sägen je nach System nur 0,25 bis 0,5 Millimeter beträgt. Gängige Lindemannfräser besitzen im Vergleich dazu einen Durchmesser von 1,6 mm, neueste Produkte noch von 1,2 mm. Chirurgische Rosenbohrer sind ab einem Durchmesser von 1,0 mm erhältlich. Alternativ zu Rosenbohrern einsetzbare kugelförmige piezochirurgische Instrumente haben ebenfalls einen Mindestdurchmesser von zirka 1,0 mm.

Insgesamt wird aufgrund der Größe mit rotierenden im Vergleich zu piezochirurgischen Instrumenten unnötig viel Knochen abgetragen. Die Wundfläche wird größer, wodurch das Risiko für postoperative Schmerzen und Infektionen steigt. Zudem kann je nach anatomischer Situation der Kieferknochen unnötig geschwächt werden. Auch konventionelle rotierende oder oszillierende Sägen entfernen nach klinischen Erfahrungen relativ viel Knochensubstanz (9, 14).

Mit piezochirurgischen Instrumenten lassen sich impaktierte Zähne – aber auch regulär durchgebrochene Zähne oder Wurzelreste – dagegen sehr gezielt und damit gewebeschonend freipräparieren. Die feinen Instrumente und der durch die Mikro-Oszillation auftretende Kavitationseffekt sorgen für eine gute Übersicht, so dass Verletzungen und unnötiger Substanzverlust leichter vermieden werden können.


Fallbeschreibung

Ein 26-jähriger Patient hatte sechs Monate nach Osteotomie des Zahnes 38 wiederkehrende Schmerzen im Operationsbereich und klagte über Hyposensibilität im Ausbreitungsgebiet des Nervus alveolaris inferior. Er wurde vom überweisenden Zahnarzt, der die ursprüngliche Zahnentfernung nicht selbst durchgeführt hatte, an die Abteilung für Orale Chirurgie der Universitätszahnklinik Wien überwiesen.

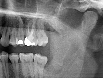
Der Wurzelrest regio 38 zeigte bereits in der Panoramaschichtaufnahme eine enge Lagebeziehung zum Nervus alveolaris inferior. (Abb. 1)

Die Wurzel war während der Osteotomie frakturiert, aber wegen intraoperativer Schmerzen vom Erstbehandler nicht entfernt worden.

Um eine maximale Gewebeschonung sicherzustellen, sollte die erneute Osteotomie mit einem piezo-chirurgischen System erfolgen. Der Patient war allgemeinanamnestisch unauffällig und Nichtraucher.

Panoramaschicht-Aufnahme
Abb. 1: Panoramaschicht-Aufnahme 6 Monate nach Osteotomie Zahn 38: Radix relicta liegt nahe dem Nervus alveolaris inferior.

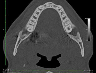
In der 3D-Aufnahme (digitales Volumentomogramm) war ersichtlich, dass sich der Wurzelrest weit disto-kaudal im Übergang vom horizontalen zum aufsteigenden Anteil des Unterkiefers befand (Abb. 2).

Nach Leitungs- und Lokalanästhesie wurde das Operationsfeld für einen bukkal-retromolaren Zugang weichgewebig eröffnet und dargestellt (Abb. 3).

DVT-Darstellung
Abb. 2: Transversale DVT-Darstellung des Wurzelrests im retromolaren Raum
sulkuläre Schnitt
Abb. 3: Der sulkuläre Schnitt beginnt Mitte des Zahnes 36, mit distaler Verlängerung am aufsteigenden Ast.

Das Gewebe über dem Wurzelrest war nicht vollständig verknöchert und bestand zu einem großen Teil aus entzündlich verändertem Granulationsgewebe (Abb. 4).

Um autogenes Material für die spätere Wundversorgung zu gewinnen, wurden mit einem piezochirugischen Instrument (Piezomed B5) gesunde Knochenspäne aus der Umgebung des Wurzelrests gewonnen (Abb. 5).

Granulationsgewebe
Abb. 4: Zwei Langenbeck-Haken und ein Raspatorium nach Prichard stellen das OP-Feld dar. Granulationsgewebe der unvollständig abgeheilten ersten Osteotomie ist zu erkennen.
Piezomed B5
Abb. 5: Mit einem meißelförmigen piezochirurgischen Instrument (Piezomed B5) wird Knochen im Bereich der Alveole abgehoben. Dieser dient nach Entfernung des Wurzelrests als autologes Augmentationsmaterial
(vgl. Abb. 13 und 14).

Das autogene Gewebe wurde mit dem schaufelförmigen Arbeitsteil des Instruments entnommen und bis zur weiteren Verwendung in physiologischer Kochsalzlösung aufbewahrt (vgl. Abb. 13).

Um den Wurzelrest gewebeschonend frei zu präparieren, kam ein weiteres Instrument zum Einsatz (Piezomed S2), das primär für die Präparation des lateralen Fensters bei Sinusboden-Augmentationen indiziert ist. Zusätzlich wurden mit der diamantierten Kugel scharfe Knochenkanten geglättet (Abb. 6 und 7). Alle eingesetzten Piezomed-Aufsätze arbeiteten mit der jeweiligen automatischen Standardeinstellung ohne Booster-Funktion.

Piezomed S2
Abb. 6: Mit einem diamantierten kugelförmigen Instrument (Piezomed S2) wird der Wurzelrest vorsichtig frei präpariert, Knochenkanten werden geglättet.
Wurzelrest 38
Abb. 7: Der Wurzelrest 38 ist in seiner Alveole gut dargestellt für die nachfolgende Entfernung.
Ring-LED des piezochirurgischen Geräts
Abb. 8: Das Ring-LED des piezochirurgischen Geräts sorgt für eine gute Ausleuchtung des Operationsfeldes.

Mit einem Instrument für die parodontale Belagsentfernung (Piezomed P1) wurde anschließend der Parodontalspalt der Radix relicta minimal erweitert (Abb. 8).

Dasselbe aktivierte Instrument wurde in den Wurzelkanal eingeführt und lockerte das Fragment durch seine mikro-oszillierenden Vibrationen (Abb. 9, 10).

Piezomed P1
Abb. 9: Das Instrument Piezomed P1 wird vom Hersteller primär für die parodontale Belagsentfernung empfohlen, eignet sich aber auch für chirurgische Zwecke. Hier wird es nach minimaler Erweiterung des Parodontalspalts im Wurzelkanal platziert.
Piezomed P1
Abb. 10: Aufgrund seiner grazilen Form kann das Instrument in den Wurzelkanal eindringen und den Wurzelrest durch Mikro-Oszillation (Vibration) entfernen.

Anschließend ließ sich der etwa sechs Millimeter lange Wurzelrest in einem Stück mit dem P1-Aufsatz entfernen (Abb. 11).

Periapikales entzündliches Gewebe wurde ebenfalls sehr vorsichtig mit einem Hand-Exkavator entfernt. Abbildung 12 zeigt die leere Alveole mit freiliegendem N. alveolaris inferior.

Radix relicta
Abb. 11: Die extrahierte Radix relicta misst mehr als 6 Millimeter.
Nervus alveolaris inferior
Abb. 12: In der Tiefe der Alveole lässt sich der Nervus alveolaris inferior erkennen.
Knochenspäne
Abb. 13: Knochenspäne aus dem OP-Bereich wurden in steriler Kochsalzlösung aufbewahrt.

Nachfolgend wurde das autogene Knochengewebe (Abb. 13) in die Alveole und den umliegenden Knochendefekt eingebracht (Abb. 14). Kollagenvlies bedeckte als Schutz für den freiliegenden Nerv die Knochenspäne bis auf Knochenniveau (Abb. 15).

Knopfnähte mit Vicryl-Fäden der Stärke 4.0 verschlossen das aufgeklappte Weichgewebe (Abb.16). Postoperativ wurden ein Ibuprofen-Präparat (Seractil 400 mg, 3x1) und ein Antibiotikum aus Amoxicillin und Clavulansäure (Augmentin 1 g, 2x1) verschrieben.

Die Wunde verheilte komplikationslos (Abb. 17) und nach sieben Tagen wurden die Nähte entfernt. Der Patient berichtete über das Wiederkehren der regelrechten Sensibilität. Schmerzen waren nicht mehr vorhanden.

apikale Alveolenanteil
Abb. 14: Der apikale Alveolenanteil wird mit dem autogenen Gewebe abgedeckt.
Kollagenvlies
Abb. 15: Der Defekt wird zum Schutz des Nerven bis zum Knochenniveau mit Kollagenvlies aufgefüllt. Die Einblutung leitet die Heilungsphase ein.
Knopfnähte
Abb. 16: Der Wundbereich wird mit Knopfnähten (Vicryl-Faden 4.0) verschlossen.
Zustand nach Nahtentfernung
Abb. 17: Zustand nach Nahtentfernung 7 Tage post extractionem: Die Wundheilung verläuft ohne Komplikationen. Sensibilitätsstörungen nach initialer Osteotomie sind abgeheilt, Schmerzen nicht mehr vorhanden.

Diskussion

Das Komplikationsrisiko bei operativer Entfernung von Weisheitszähnen wird unter anderem von Patientenalter, Wurzelanatomie und Operationstechnik bestimmt (1). Dieselben Parameter beeinflussen sehr wahrscheinlich auch Operationsverlauf und Wundheilung bei Wurzelrest-Osteotomien.

Bei Nervnähe und Beschwerdefreiheit können Wurzelreste auf Basis geeigneter postoperativer Diagnostik belassen werden (3). Da in unserem Fallbeispiel Schmerzen und Sensibilitätstörungen den Patienten beeinträchtigten, musste der Rest osteotomiert werden – trotz des Risikos, Nerven und umliegendes Gewebe erneut und gegebenenfalls gravierender zu schädigen. Bei belassener Radix relicta wären anhaltende Schmerzen und rezidivierende Infektionen wahrscheinlich gewesen. Weiterhin hätten pathologische Prozesse wie Abszedierung, Osteomyelitis oder dentogene Zysten autreten können.

Unser Patient besaß anamnestisch gute Voraussetzungen (Nichtraucher, 26 Jahre) für einen erfolgreichen Eingriff. Wegen des Hinweises auf enge Lagebeziehung des Wurzelrestes zum N. alveolaris inferior in der Panoramaschicht-Aufnahme wurde zusätzlich eine digitale Volumentomografie erstellt (6).

Die gefundene, sehr enge Lagebeziehung erforderte eine präzise und schonende Osteotomie. Hier sprechen klinische Beobachtungen und Vergleichsstudien für die seit Ende der 1990er Jahre verfügbare Piezochirurgie (9-11). Durch die charakteristische Mikro-Oszillation dieser Systeme lässt sich Knochen gezielt abtragen, wodurch eine minimal invasive Präparation ermöglicht wird.

Gerätespezifische Vorteile

Beim hier eingesetzten Gerät (Piezomed, W&H) bringt die sehr effektive Kühlung nahe am Instrument zusätzliche Sicherheit. Das trifft auch auf die Erkennung der verwendeten Instrumente durch das Gerät zu, die für eine automatisch korrekte Leistungseinstellung sorgt. Auffallend ist die hohe und konstante Leistungsfähigkeit des Geräts bei Osteotomien, die im Fallbeispiel bei der Gewinnung der Knochenspäne relevant war. Zugleich werden technisch bedingt Weichgewebe, also auch Nervengewebe im Operationsbereich geschont. Diese besondere piezochirurgische Eigenschaft ermöglicht zum Beispiel die Präparation lateraler Knochenfenster beim Sinuslift, mit nur geringem Risiko für Perforationen der Schneider’schen Membran (13).

In unserem Beispiel berichtete der Patient eine Woche nach der Entfernung des Wurzelrestes über ein Wiederkehren der Sensibilität im innervierten Gebiet des N. alveolaris inferior. Des Weiteren zeigten postoperative Kontrollen eine sehr gute und rasche Wundheilung und ein Ende der sechs Monate dauernden Schmerzsymptomatik. Der Eingriff erfolgte vollständig ohne rotierende Instrumente. Diese hätten nach Erfahrung des Autors keine vergleichbar schonende Operationstechnik ermöglicht.

Ein weiterer Vorteil der piezochirurgischen Technik ist die Blutungsarmut während des Eingriffs. Diese ist dem Kavitationseffekt geschuldet: Der hochfrequente Ultraschall erzeugt in der Kühlflüssigkeit Schockwellen, die zu einer Mikrokoagulation führen (15). Ergebnis ist eine bessere Sicht und ein sicherer Eingriff (11). Die beim verwendeten System integrierte Beleuchtung mit Sechsfach-LED kann die Sicht im Operationsfeld verbessern.

Parodontalspalt-Erweiterung und Knochenspan-Gewinnung

Mit dem grazilen piezochirurgischen Instrument Piezomed P1 ließ sich der Parodontalspalt des Wurzelrestes vorbereitend gezielt erweitern und dieser durch Einführen in den Wurzelkanal elegant entfernen. Auch hier erwies sich die mikro-oszillierende Arbeitsweise als vorteilhaft, der flexible Einsatz der Technik wird deutlich. Rotierende Instrumente bieten hingegen keine vergleichbaren Optionen.

In autogenen Knochenspänen, die wie im Fallbeispiel mithilfe piezochirurgischer Technik gewonnen wurden, scheinen Knochenzellen besser zu überleben als bei rotierender Präparation (16). Dies ist für die Wundheilung vorteilhaft. Um die Hygiene und folglich den Heilungsprozess zu optimieren wurde – wie an der Universitätszahnklinik Wien üblich – bei der Präparation auf eine Absaugung mit Knochenfilter verzichtet.

Schlussfolgerungen

Das Fallbeispiel verdeutlicht die gewebeschonende und zugleich leistungsstarke Arbeit des Piezomed-Systems. Aufgrund der präzisen mikro-oszillierenden Arbeitsweise gelingt es, auch Nerven während anspruchsvoller Osteotomien zu schützen und ihnen eine Regeneration zu ermöglichen.

Ass. Prof. PD Dr. Georg D. Strbac
Ass. Prof. PD Dr. Georg D. Strbac
Abteilung für Orale Chirurgie
der Universitätszahnklinik Wien

Fotos: Strbac – UZMK Vienna


Literatur

  1. Akadiri OA, Obiechina AE. Assessment of difficulty in third molar surgery--a systematic review. J Oral Maxillofac Surg 2009;67:771-774.
  2. Strietzel FP, Reichart P. Wundheilung nach operativer Weisheitszahnentfernung. Evidenzgestützte Analyse (in German). Mund Kiefer Gesichtschir 2002;6.
  3. Arrigoni J, Lambrecht, JT. Komplikationen bei und nach operativer Weisheitszahnentfernung. Schweiz Monatsschr Zahnmed 2004;114:1271-1279.
  4. Carmichael FA, McGowan DA. Incidence of nerve damage following third molar removal: a West of Scotland Oral Surgery Research Group study. Br J Oral Maxillofac Surg 1992;30:78-82.
  5. Valmaseda-Castellon E, Berini-Aytes L, Gay-Escoda C. Inferior alveolar nerve damage after lower third molar surgical extraction: a prospective study of 1117 surgical extractions. Oral Surg Oral Med Oral Pathol Oral Radiol Endod 2001;92:377-383.
  6. Arbeitsgemeinschaft für Röntgenologie ARö. s2k-Leitlinie dentale digitale Volumentomographie. Version #9, 2013-08-05, http://www.awmf.org/uploads/tx_szleitlinien/083-005l_S2k_Dentale_Volumentomographie_2013-10.pdf, accessed 2016-05-12.
  7. DGMKG. S2k-Leitlinie: Operative Entfernung von Weisheitszähnen; Version 2012-12-21 (corr. long version 2013-01; http://www.awmf.org/leitlinien/detail/ll/007-003.html accessed 2016-05-12. guideline, 2012.
  8. Dodson TB, Susarla SM. Impacted wisdom teeth. BMJ clin evid 2010;2010.
  9. Rothamel D, et al. Piezosurgery - a universal principle for many indications. EDI Journal 2015;64-70.
  10. Vercellotti T. Essentials in Piezosurgery: Clinical Advantages in Dentistry: Quintessence Publishing, 2009.
  11. Schlee M, Steigmann M, Bratu E, Garg AK. Piezosurgery: basics and possibilities. Implant dent 2006;15:334-340.
  12. Vercellotti T. Essentials in Piezosurgery: Clinical Advantages in Dentistry: Quintessence Publishing, 2009.
  13. Wallace SS, Mazor Z, Froum SJ, Cho SC, Tarnow DP. Schneiderian membrane perforation rate during sinus elevation using piezosurgery: clinical results of 100 consecutive cases. Int J Periodontics Restorative Dent 2007;27:413-419.
  14. Pereira CC, Gealh WC, Meorin-Nogueira L, Garcia-Junior IR, Okamoto R. Piezosurgery applied to implant dentistry: clinical and biological aspects. J Oral Implantol 2014;40 Spec No:401-408.
  15. Rahnama M, Czupkallo L, Czajkowski L, Grasza J, Wallner J. The use of piezosurgery as an alternative method of minimally invasive surgery in the authors' experience. Wideochirurgia i inne techniki maloinwazyjne 2013;8:321-326.
  16. von See C, Rucker M, Kampmann A, Kokemuller H, Bormann KH, Gellrich NC. Comparison of different harvesting methods from the flat and long bones of rats. Br J Oral Maxillofac Surg 2010;48:607-612.

Kommentare