Reports & Studies

Seethrough Max: A wide FOV Spectrum for all Dentists’ Needs

Interview with Dr med. dent. Oliver A. Centrella, Oberrieden, Switzerland

When Swiss dentist Dr Centrella decided to invest in new technology, his goal was to provide his patients with the highest standard of care. Therefore, he chose the Seethrough Max CBCT system from W&H for his practice in Oberrieden, Switzerland. The result? A win-win situation for both patients and practitioners. In this interview, Dr Centrella shares how this advanced solution has transformed his daily workflow.


Dr med. dent. Oliver A. Centrella
  • Oberrieden, Switzerland
Dr med. dent. Oliver A. Centrella

Dr Centrella, you specialise in implantology, laser, and aesthetic dentistry. What were the key factors that influenced your decision to invest in a new X-ray system, and what made Seethrough Max stand out as your preferred choice?

Dr Centrella: Our previous device had become outdated, so I was looking for new options at dental trade fairs. From my perspective, the W&H Seethrough line represents the highest standard – comparable to other premium solutions on the market. With its wide FOV spectrum and outstanding image quality, Seethrough Max is perfectly suited to my needs since for implant planning, I always want to visualise the entire jaw. Another key factor was user-friendliness: we’ve never had a single case of incorrect patient positioning, and the software is incredibly intuitive. This has streamlined our workflows, reduced treatment time, and significantly improved efficiency.

You mentioned the ease of patient positioning. What has your experience been so far?

Dr Centrella: I’m genuinely impressed. This aspect is especially important for my staff who handle patient positioning. Initially, I was still supervising the process, but after a few sessions, everyone felt confident and competent of managing this task. As already mentioned, the Seethrough Max system is exceptionally intuitive. We've never encountered a single case of incorrect patient positioning – a marked contrast to our previous device, with which wrong positioning was unfortunately quite common and very frequent. The user-friendliness of the W&H CBCT device is, thus, genuinely outstanding. The face-to-face positioning method offers a straightforward and reliable way to ensure the patient is correctly aligned, resulting in consistently perfect images.

Another major advantage is the wide FOV spectrum. This makes patient communication much easier. I can point out the location of wisdom teeth, nerves, or sinuses – even to patients with no anatomical knowledge. Instead of using technical terms like “transversal” or “distal,” I can visually explain what we’re doing and why. This builds trust and helps patients feel more informed and involved in their treatment.

How would you rate the usability of the Seethrough Studio software?

Dr Centrella: It’s practically foolproof. I have several new team members who work part-time and don’t always have the chance to exchange information. That’s why it is so important that the system is easy to use. We haven’t had any operational errors – neither with the hardware nor with the software. We have also never had any issues with incorrect patient positioning or selecting the wrong FOV. Whether it was a panoramic image or a targeted 3D scan, everything has been executed flawlessly by my team. That’s what really matters.

With the Seethrough Studio software from W&H, it’s virtually impossible to make a mistake. I have several new team members who work part-time and don’t always have the chance to exchange information. Therefore, it is so important that the system is intuitive to use. We haven´t had any operational errors neither with the hardware nor the software.

Dr med. dent. Oliver A. Centrella

How do you evaluate the FOV spectrum of Seethrough Max? Do you use the scout preview feature as well?

Dr Centrella: I really appreciate the wide FOV range and the ability to capture large, high-quality images with minimal radiation exposure. For implant planning, I always want to see the entire jaw, so I don’t use the scout preview often. However, in a few endodontic cases, it’s proven extremely helpful. The process is simple: capture the scout image, adjust the field exactly where needed, and you’re ready to go.

How important is advanced technology in patient communication? Do patients often ask about radiation exposure?

Dr Centrella: Yes, occasionally. Radiation dose is something patients are increasingly aware of, and it can even be a marketing argument for dental practices. Some patients express concerns about repeated X-rays. It is a huge advantage to be able to reassure them that we use a state-of-the-art system that delivers excellent image quality with a very low dose. Typically, higher image quality requires more radiation – but with Seethrough Max, we get the best of both worlds.

What has your experience been like working with W&H?

Dr Centrella: I’ve known W&H for a long time, and the relationship has always been excellent. If I have any questions, I can call or send a short message via WhatsApp. The response is always quick, and the collaboration is smooth and enjoyable.

Based on your experience, what three words would you use to describe Seethrough Max to your colleagues?

Dr Centrella: Highest quality, user-friendly, and cost-effective. The price-to-performance ratio is excellent.

Thank you for the interview.


Below you will find a case from Dr. med. dent. Oliver A. Centrella, in which the CBCT images obtained with Seethrough Max provided crucial information on the complex anatomy and the critical relationship between the wisdom teeth and the inferior alveolar nerve. In this case, there is a indication for the surgical removal of the wisdom teeth.

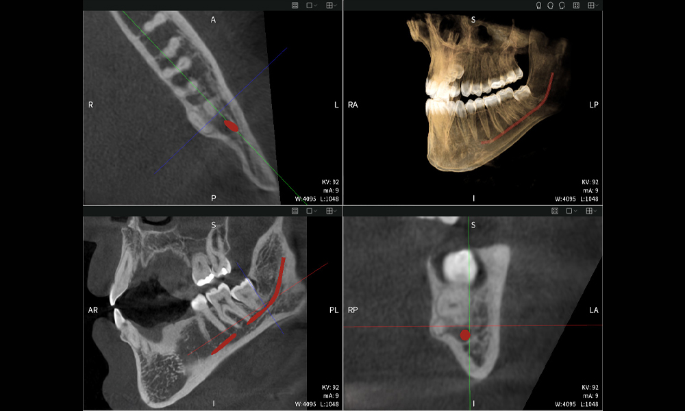
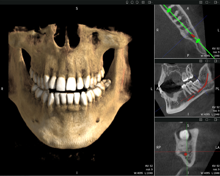
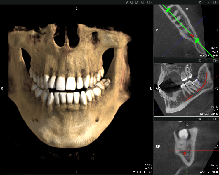
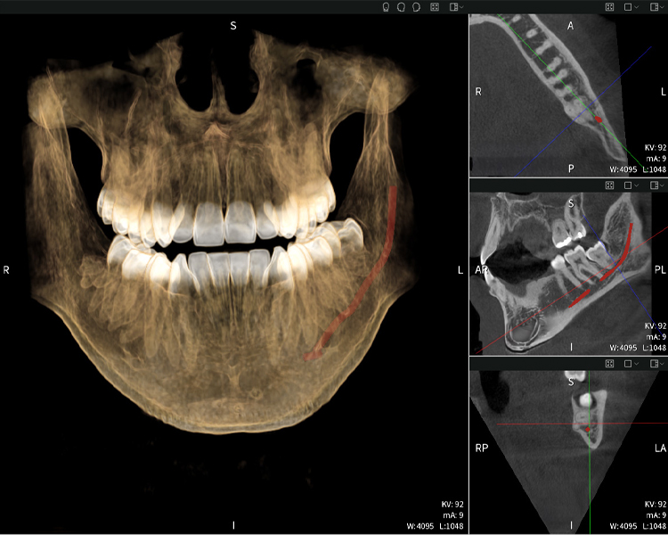
Figure a: Imaging results of Seethrough Max, in front of a black background.
Figure a

Figure a

  • Top left: Axial cross-section of the left mandible (region 38) showing the inferior alveolar nerve (red) in proximity to the roots of tooth 38.
  • Top right: 3D reconstruction of the entire mandible for orientation. The red-marked inferior alveolar nerve illustrates its location within the jawbone.
  • Bottom left: Sagittal view of the mandible (region 38), highlighting the close spatial relationship between the roots and the nerve canal.
  • Bottom right: Coronal view of the mandible (region 38), which is crucial for assessing the spatial position of the roots relative to the nerve.
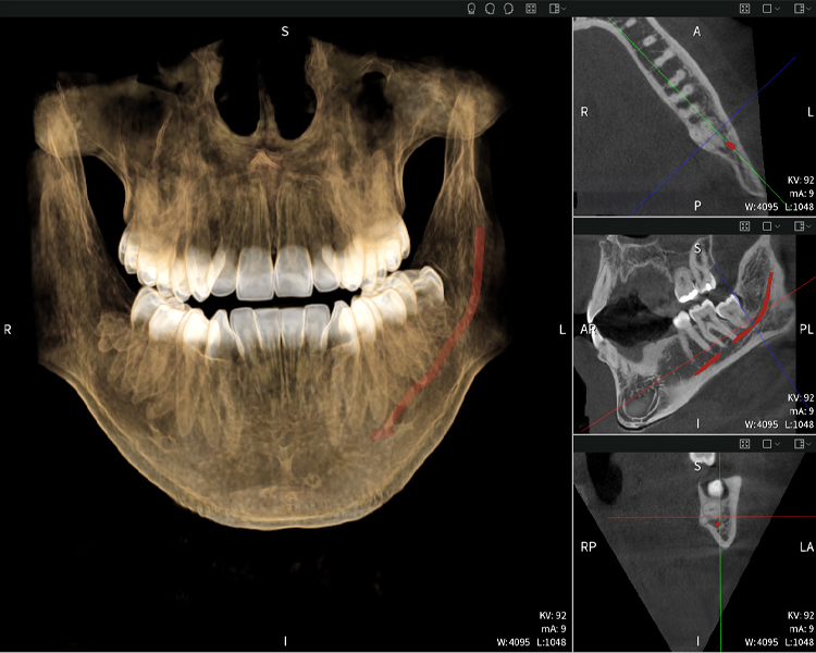
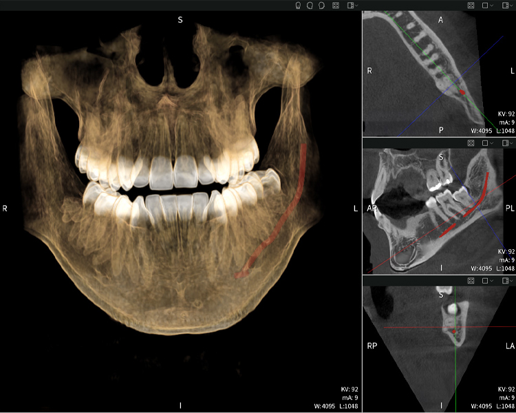
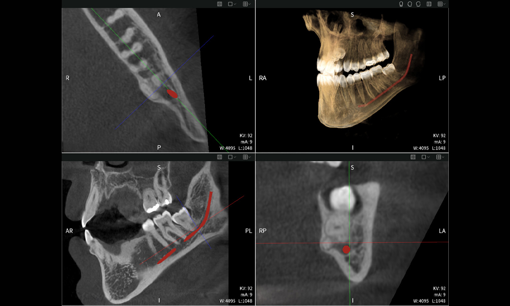
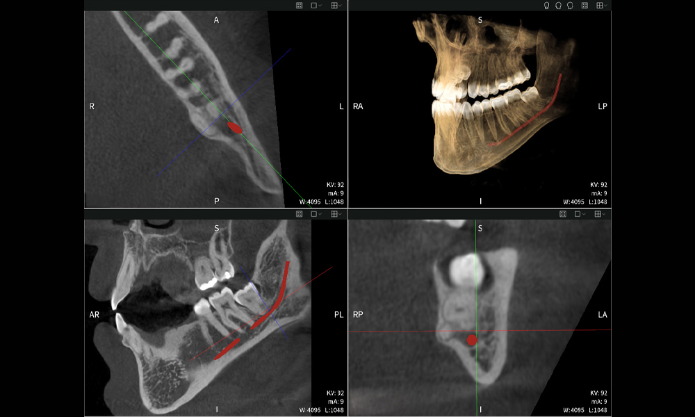
Figure b: Imaging results of Seethrough Max, in front of a black background.
Figure b
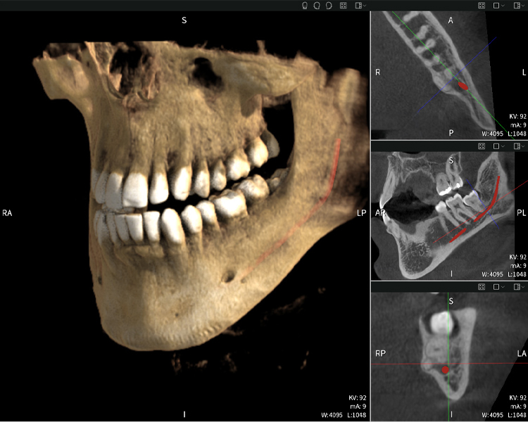
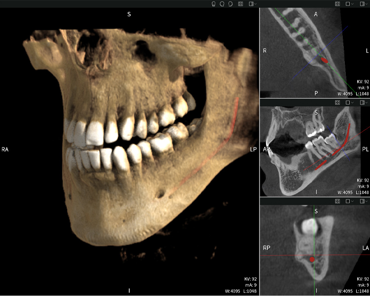
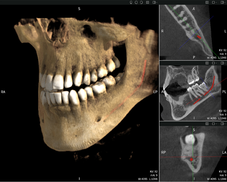
Figure d: Imaging results of Seethrough Max, in front of a black background.
Figure d

Figures b–d show various views of a 3D reconstruction of the mandible, providing a comprehensive overview of the mandibular anatomy, the position of the nerves in relation to the teeth, and allowing assessment of tooth symmetry and alignment.

Figure c: Imaging results of Seethrough Max, in front of a black background.
Figure c

Figure d shows the previously treated tooth 48, with its crown removed, and its roots left in proximity to the nerve, illustrating the high risk of nerve damage.

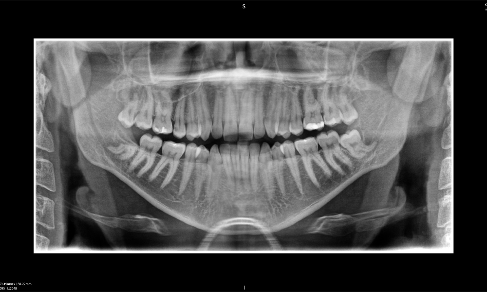
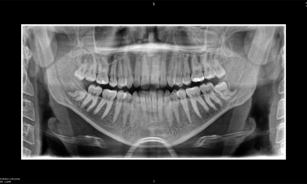
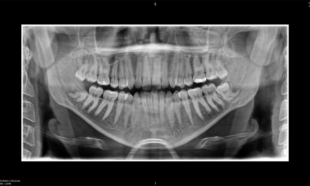
Figure e: Imaging results of Seethrough Max, in front of a black background.
Figure e

Figure e: The panoramic X-ray serves as an initial assessment tool, showing the general positioning of the teeth as well as any potential pathological changes. Notably, on the right side (tooth 48), the situation following a crown amputation performed by an external practitioner is visible. The two severely curved roots remain in close topographical proximity to the inferior alveolar nerve within the bone. This suggests a deliberate decision to avoid the increased risk of nerve injury during a complete extraction, and represents a clinically relevant finding. In summary, CBCT scans with Seethrough Max, provide crucial information about the complex anatomy and the critical relationship between the wisdom teeth and the inferior alveolar nerve. This detailed preoperative diagnostic imaging is essential for safe and successful surgical procedures in the mandibular region.


Also read

Dr. med. dent. Mauro Amato

Dr med. dent. Mauro Amato

Basel, Switzerland

comments