News
05.02.2025
Probleme beim Schneiden von Zirkon?
Die Idee, harte Materialien mit rotierenden Instrumenten zu schneiden, reicht mindestens 6.000 Jahre zurück. Schon der vorgeschichtliche Mensch nutzte Steinbohrer, um mithilfe langsam rotierender Werkzeuge und hohem Drehmoment Löcher in Muschelschalen, Knochen und Zähne zu bohren. Moderne zahnärztliche Handstücke stellen eine signifikante Weiterentwicklung dieses Prinzips dar und ermöglichen präzise Schnitte in weitaus härtere Materialien wie Dentalkeramik [1].
15.10.2024
Bei unserer Neugründung sind wir direkt mit drei Chirurgietürmen gestartet
Die mund-kiefer-gesichtschirurgische Überweiserpraxis FINE MKG in Heiligenhaus wurde im August 2023 eröffnet. Die räumliche Grundlage bildeten zwei leerstehende Büroflächen. Auf insgesamt 700 Quadratmetern sind großzügige und lichtdurchflutete Behandlungsräume mit einem operativen Bereich entstanden – in jedem Raum sind Produkte von W&H zu finden. Und das aus guten Gründen.
08.10.2024
Zirkon und moderne Keramikmaterialien: Eine Herausforderung in der restaurativen Zahnheilkunde
Keramikmaterialien wie Zirkon werden in der modernen restaurativen Zahnmedizin immer häufiger verwendet. Allerdings ist die Entfernung von Zirkon-Restaurationen mithilfe herkömmlicher Winkelstücke ein anspruchsvolles und zeitaufwendiges Verfahren. Dazu kommt die starke Belastung am rotierenden Instrument, vor allem bei monolithischem Material. Zur Lösung dieses Problems hat W&H eine neue, speziell auf solche Anwendungen zugeschnittene Produktlinie entwickelt.
23.09.2024
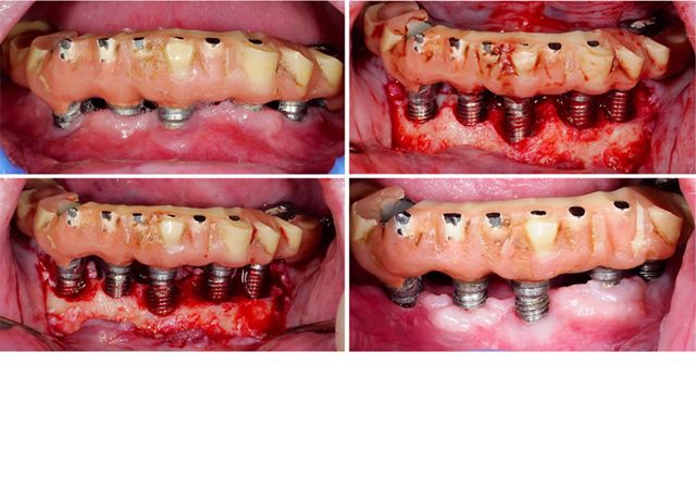
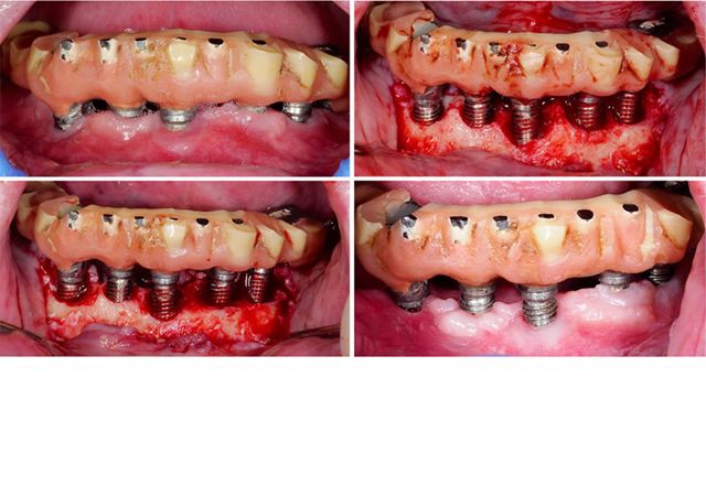
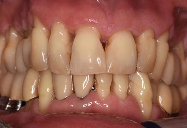
Der (mund)-gesunde Patient mit Implantaten
Der 55-jähriger Patient gibt in der Anamnese an, keine Allgemeinerkrankungen zu haben und keine Medikamente einzunehmen. Die Lebensgewohnheiten des Patienten sind ebenfalls unauffällig. Der Patient hat einige zahnärztliche Restaurationen und zwei Implantate (2. und 4. Quadrant). Anhand der aktuellen Befunde lässt sich eine Gingivitis bei stabilem parodontalen Zustand am reduzierten Parodont (Stadium III, Grad A) feststellen.
02.09.2024
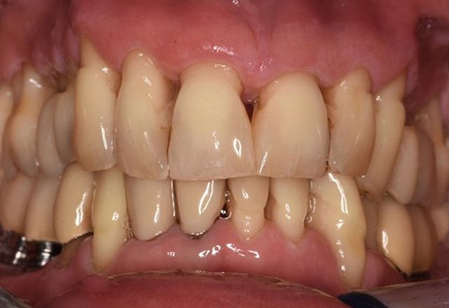
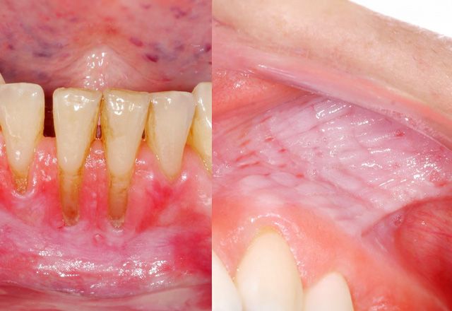
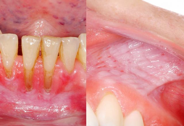
Der gesunde Patient mit parodontaler Vorerkrankung & Periimplantitis
Ein 52-jähriger Patient stellt sich zur Präventionssitzung vor. Der Patient hat keine Allgemeinerkrankungen und nimmt keine Medikamente ein. Er hat verschiedene zahnärztliche Versorgungen und zudem zwei aktive kariöse Läsionen. Außerdem verfügt der Patient über vier Implantate (2., 3. und 4. Quadrant). Es zeigt sich eine parodontale Vorerkrankung (Stadium IV, Grad B). Derzeit herrschen stabile parodontale Verhältnisse, lediglich am Implantat regio 36 zeigen sich ST = 5 mm. Zudem lässt sich eine Gingivitis feststellen.
19.07.2024
Snus verursacht Schleimhautläsionen & Gingivarezessionen
Snus wird zumeist unter der Oberlippe, von manchen auch unter der Unterlippe, in Kontakt mit der Mundschleimhaut gebracht, wodurch das enthaltene Nikotin über die Mundschleimhaut in die Blutbahn gelangen kann.
19.07.2024
Stress & schlechter Schlaf = noch mehr Parodontitis…?
Stress definiert als eine Situation, die die/der Betroffene als bedrohend und/oder nicht kontrollierbar empfindet, sowie Schlafstörungen und schlechte Schlafqualität sind ohne Zweifel zwei schwerwiegende Probleme in der heutigen Gesellschaft.
08.07.2024
Ein Sterilisator, der perfekt zu unserer Praxis-Performance passt
In der Praxis von Dr. Kilimann ist trotz Klinikstruktur mit entsprechender Größe jeder Patient immer noch Mensch und ein nachhaltiges Miteinander steht im Fokus. Für einen nachhaltigen Eindruck sorgt auch der W&H-Sterilisator Lisa Remote Plus – und ist in der Praxis gleich im Doppelpack in Verwendung.
04.06.2024
Innovation and problem-solving with W&H's Synea Power Edition
The concept of using rotary tools to cut hard materials, such as granite, is at least 6,000 years old. As early as 25,000 BCE, our ancestors were using hand-held lithic borers to cut through shells without breaking them. These tools were generally made of flint, and pressed against the object to be perforated and then rotated back and forth at low speed and relatively high torque. Powerful modern handpieces have elevated the principle of variable speed and high torque to enable precise cuts into much harder materials like zirconia.
23.05.2024
Reicht ein Besuch pro Jahr in der Zahnarztpraxis, wenn man Implantate hat …?
Die vorliegende Studie unterstreicht einmal mehr, dass PatientInnen, die nach Übergabe der Implantatprothetischen Versorgung, nicht regelmäßig zu Kontrollen kommen ein sehr hohes Risiko für periimplantäre Erkrankungen im Allgemeinen und Periimplantitis im Speziellen haben; basierend auf diesen Daten werden mindestens zwei Kontrollbesuche pro Jahr empfohlen.
23.05.2024
Was bringt Interdentalraumreinigung auf lange Sicht?
Interdentalraumreinigung mit Zahnseide oder Interdentalraumbürsten reduziert signifikant die interdentale Plaqueanlagerung und auf lange Sicht führt dies tendenziell sogar zu einer geringeren Zahnverlustrate.
22.03.2024
Mehr Arthritis, mehr Parodontitis…?
PatientInnen mit rheumatoider Arthritis haben ein signifikant höheres Risiko für Parodontitis und dieses Risiko erhöht sich zusätzlich bei PatientInnen mit besonders aktiver rheumatoider Arthritis.
22.03.2024
Zahn oder doch Implantat …?
Der Kampf um parodontal kompromittierte Zähne und somit deren Erhalt zahlt sich für PatientInnen zumeist auch aus finanzieller Sicht aus und ist zumeist kostengünstiger im Vergleich zu einer Extraktion und späteren Implantation.
15.03.2024
Ein pragmatisches Verfahren zum Management periimplantärer biologischer Komplikationen
Erkunden Sie die Komplexität der Pflege von Zahnimplantaten: Dieser wissenschaftlich fundierte Artikel fasst die entscheidenden Aspekte der Diagnose, der Mundhygiene und der Expertenstrategien für das effektive Management von sowohl Mukositis als auch Periimplantitis zusammen.
08.03.2024
Eltern aufgepasst – Ansteckungsgefahr!
Eine unbehandelte parodontale Erkrankung der Eltern kann die Entwicklung des oralen Mikrobioms der Kinder negativ beeinflussen und die Entwicklung eines dysbiotischen oralen Mikrobioms fördern.
08.03.2024
Parodontaltherapie verbessert bei DiabetikerInnen nicht nur das Parodont!
Eine nicht-chirurgische Parodontaltherapie kann den Langzeitblutzuckerwert (HbA1c) bei Typ 2 DiabetikerInnen um 0.3% senken und dieser Effekt hält auch 6 Monate nach der Therapie noch an.
06.02.2024
In der Einfachheit der chirurgischen Produkte liegt ihr Vorteil
Als Familienpraxis mit mehr als 40-jähriger Historie präsentiert sich die Zahnarztpraxis Sciuk in Augsburg und wird aktuell von Dr. Thomas Sciuk in zweiter Generation geführt. In der Prinzregentenstraße ansässig, trumpft die auf ganzheitliche Zahnheilkunde ausgerichtete Einrichtung nicht nur durch ihre attraktive Lage zwischen Stadttheater und Bahnhof, sondern auch durch den Einsatz beispielhafter Produkte.
30.11.2023
W&H unterstützt Entwicklungsprojekt in São Tomé
Für ein Entwicklungsprojekt in São Tomé, einem Inselzwergstaat vor der Westküste Afrikas, stellte W&H den Freiwilligen der NAK-karitativ drei Turbinen kostenfrei zur Verfügung. Die NAK-karitativ ist das Hilfswerk der Neuapostolischen Kirchen Deutschlands, welches sich intensiv in verschiedenen Projekten zur Unterstützung von Ländern in der Dritten Welt einsetzt.
20.11.2023
Implantatkronen sauber halten – aber wie …?
Die Form einer Implantatkrone hat einen wesentlichen Einfluss darauf, wie gut sie bei der häuslichen Mundhygiene sauber gehalten werden kann und konkave Kronenformen scheinen leichter zu reinigen zu sein; zusätzlich scheint es, dass die Unterseite einer Implantatkrone im Molarenbereich am besten mit Zahnseide zugänglich ist.
20.11.2023
Ungesunder Lebensstil = schlechtere Therapieergebnisse …?
Faktoren, die als schlechter Lebensstil klassifiziert werden können, und vor allem auch deren Kombination erhöhten bei ParodontitispatientInnen nach der nicht-chirurgischen Parodontaltherapie (Therapieschritt 1 und 2) signifikant den Anteil an Restsondierungstiefen mit ≥ 6 mm und reduzierten signifikant die Chance, das gewünschte Therapieergebnis zu erreichen.
23.10.2023
Erfolgreich therapiert – macht es einen Unterschied? Teil 2
Häufig gebrauchte Definitionen für eine erfolgreiche Parodontaltherapie sind sehr schwer zu erreichen, sind aber trotzdem mit einer geringeren Zahnverlustrate assoziiert; die Zahnverlustrate ist aber bei PatientInnen, die regelmäßig zur unterstützenden Parodontaltherapie erscheinen, generell sehr gering.
23.10.2023
Prävention ist die beste Therapie – Teil 2
Biofilmakkumulation ist der primäre ätiologische Faktor in der Entstehung von periimplantären Erkrankungen; dementsprechend groß ist auch der Stellenwert von Plaquekontrolle und unterstützender Implantattherapie in der Prävention von periimplantären Erkrankungen.
29.09.2023
30 Jahre erfolgreiche Partnerschaft zwischen W&H und der Lebenshilfe Oberndorf
Ein Jubiläum der besonderen Art wurde kürzlich in Oberndorf gefeiert: Seit nunmehr 30 Jahren besteht eine enge Partnerschaft zwischen dem Medizintechnikunternehmen W&H und der Lebenshilfe Oberndorf. Bei ihrem Besuch wurden die Mitarbeiter:innen des Tochterunternehmens W&H Austria GmbH herzlich in den Werkstätten begrüßt. Es war eine Gelegenheit, die Menschen hinter den Produkten und Dienstleistungen der Lebenshilfe kennenzulernen und ihr Engagement und ihre Hingabe zu würdigen.
28.09.2023
Das in sich schlüssige Hygienekonzept hat mich überzeugt
Seit 2012 behandelt Dr. Yvonne Mauersberger im sächsischen Zwickau Patient:innen aller Altersgruppen. Im Mittelpunkt des Praxiskonzepts steht dabei die Anwendung moderner, schonender Behandlungsmethoden. Ein Ansatz, mit dem insbesondere auch Angstpatient:innen angesprochen werden. Der Tenor einer fortschrittlichen Anwendung bei gleichzeitig sanfter Durchführung wird auch im Bereich Prophylaxe fokussiert – und umgesetzt mithilfe der Proxeo Ultra Piezo Scaler von W&H.
25.09.2023
Patienten- und Implantatfaktoren – was beeinflusst das Therapieergebnis?
Ein Behandlungserfolg einer nicht-chirurgischen Therapie einer Periimplantitis trat in dieser Studie nur in 25 % der Fälle auf und wurde negativ von einer positiven Parodontitis- und Tabakanamnese, einer insuffizienten Mundhygiene und einem weitem Implantatdurchmesser beeinflusst.
25.09.2023
Soziale Teilhabe in der Gesellschaft auch ohne Zähne?
Zahnlosigkeit führt im höheren Alter zu einer signifikant reduzierten sozialen Teilhabe in der Gesellschaft, während ein Minimum von 20 verbliebenen Zähnen den gegenteiligen Effekt hat und zu einer signifikanten Verbesserung und somit häufigeren sozialen Teilhabe führt.
29.08.2023
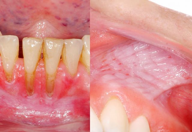
Keratinisiertes Weichgewebe – vor allem auch an Implantaten wichtig!
Die Prävention periimplantärer Erkrankungen ist die beste Therapie, wobei das periimplantäre Weichgewebe eine entscheidende Rolle spielen kann; daher sollte bei einem Mangel an keratinisierter Mukosa (d. h. < 2 mm breite keratinisierte Mukosa) im Team besprochen werden, ob Behandlungsbedarf besteht.
29.08.2023
Implantate – Eine Erfolgsgeschichte auch aus Patient:innen-Sicht?
Eine Implantatbehandlung wird auch von Patient:innen-Seite zu einem sehr hohen Prozentsatz als positiv empfunden und die meisten Patient:innen sind mit dem Resultat insgesamt sehr zufrieden. Zwei häufige Kritikpunkte sind die Behandlungskosten und die Hygienefähigkeit.
26.07.2023
Bewegung ist gesund – sogar für unsere Zähne …?
Frauen, die sich regelmäßig körperlich betätigen, zeigten ein signifikant verringertes Risiko für das Vorhandensein einer Parodontitis sowie einen signifikant geringeren Schweregrad an Parodontitis.
26.07.2023
Zähne weg, Lebensqualität weg …?
Rehabilitation und Ersatz von fehlenden Zähnen führen zu einer signifikanten Verbesserung der mundbezogenen Lebensqualität und tendenziell zu einer Verbesserung der allgemeinen Gesundheit.
07.07.2023
Vielfältige Anwendungsmöglichkeiten in den Bereichen Prophylaxe und Parodontologie
Seit 2012 behandelt Dr. Yvonne Mauersberger im sächsischen Zwickau Patient:innen aller Altersgruppen. Im Mittelpunkt des Praxiskonzepts steht dabei die Anwendung moderner, schonender Behandlungsmethoden. Ein Ansatz, mit dem insbesondere auch Angstpatient:innen angesprochen werden. Der Tenor einer fortschrittlichen Anwendung bei gleichzeitig sanfter Durchführung wird auch im Bereich Prophylaxe fokussiert – und umgesetzt mithilfe der Proxeo Ultra Piezo Scaler von W&H.
26.06.2023
Parodontitis beeinträchtigt auch unseren Geschmacks- & Geruchssinn!
Basierend auf einer Fragebogenstudie zeigte sich, dass Parodontitis signifikant das Risiko für einen beeinträchtigten Geschmacks- und Geruchssinn erhöht.
26.06.2023
Rauchen & erhöhte Sondierungstiefen sind erste Alarmzeichen!
Rauchen und erhöhte Sondierungstiefen im jungen Alter (d. h. im Alter von < 20 Jahren) sind signifikante Risikofaktoren für das frühzeitige Auftreten einer Parodontitis (d. h. im Alter von < 30 Jahren).
05.06.2023
Das Vertrauen ist da, dass einfach jedes der Prophylaxe Produkte immer einwandfrei funktioniert
Karin Eichinger arbeitet nicht nur als Prophylaxeassistentin in einer Privatpraxis mit oralchirurgischem Schwerpunkt in Linz, sondern ist auch Trainerin für die Weiterbildung zur Prophylaxe-Assistenz der Landeszahnärztekammer OÖ. In beiden Segmenten setzt die Mundhygiene-Expertin auf Produkte von W&H und weiß die Vorteile eines lokalen Herstellers nicht nur aus Servicegründen zu schätzen.
24.05.2023
Zähneputzen in nur 10 Sekunden?
Automatische Zahnbürsten könnten in der Zukunft Potenzial haben, aber es bedarf noch weiteren technischen Verbesserungen, um bestehende Mängel in der Individualisierung für unterschiedlichen Kiefergrößen und Zahnstellungen, im Interdentalraumbereich sowie in der Wahl der optimalen Putzdauer verbessern zu können.
24.05.2023
So gut wie möglich ist nicht gut genug …?
Selbst nach einer Aufforderung, das Beste beim Zähneputzen zu geben, ist die Qualität des Zähneputzens bei jungen Erwachsenen mangelhaft; Schwachstellen liegen vor allem palatinal/lingual und an der Technik.
22.05.2023
Wir setzen auf ein systematisches Prophylaxeprogramm und bewusste Produktentscheidungen
In seiner Prophylaxepraxis in Friedrichsdorf bei Bad Homburg ist Dr. Frank Groß mit seinem Team seit 1996 täglich im Auftrag bester Zahngesundheit und Ästhetik im Einsatz. Was damals als mutige Ausrichtung begann, erntete durch beharrliche Pionier- und Aufklärungsarbeit große Erfolge: Heute ist die Praxis Dr. Groß über die Stadtgrenze hinaus bekannt und Anlaufstelle für Patienten aus dem gesamten Hochtaunuskreis. Zur Qualität der Behandlung tragen auch bewusste Produktentscheidungen bei.
08.05.2023
Optimaler Allrounder in der allgemeinzahnärztlichen Praxis
Im April 2022 eröffneten Dr. Kai und Tamara Bihler ihre eigene Praxis im hessischen Hanau durch Übernahme. Neben der allgemeinen Zahnheilkunde werden Schwerpunkte in den Bereichen Kinderzahnheilkunde und Endodontologie gelegt und Patienten – von jung bis alt – in einer freundlichen, familiären Art willkommen geheißen. Im Segment Praxisausstattung setzten die Gründer auf die Instrumenten-Serie Synea von W&H. Diese konnte im persönlichen Produkttest überzeugen.
27.04.2023
Periimplantäre Mukositis – Sind chemische Zusätze effektiv? Teil 2!
Vom/von der PatientIn lokal applizierte oder systemisch eingenommene zusätzliche Maßnahmen (z. B. Antiseptika in Form von Mundspüllösungen oder Probiotika) könnten in der Therapie periimplantärer Mukositis einen zusätzlichen positiven Effekt haben.
27.04.2023
Prävention ist die beste Therapie!
Optimale Diabeteskontrolle, regelmäßige unterstützende Implantattherapie und Augmentation von periimplantären Weichgewebsdefiziten gelten nachweislich als wichtige Eckpunkte in der primären Prävention von periimplantären Erkrankungen.
24.04.2023
Ein Gerätepartner, bei dem wirklich alles funktioniert
Als Facharzt für Mund-, Kiefer und Gesichtschirurgie sowie Facharzt für Zahn-, Mund- und Kieferheilkunde ist DDr. Christian Rippel neben seiner eigenen Ordination in Salzburg auch an der dortigen Universitätsklinik tätig. An beiden Standorten setzt er auf die Chirurgie-Geräte von W&H und ist von der Wirtschaftlichkeit der Produkte überzeugt: keine Ausfälle, einfache Bedienbarkeit, einwandfreie Funktion auch bei ständiger Nutzung unter immer wechselnden Behandlern. Im Interview gibt er Einblicke in die Behandlung von MKG-Fällen mit Implantmed Plus sowie dem Piezomed Modul.
31.03.2023
Nicht-chirurgische Periimplantitistherapie – chemische Reinigung ...?
Chemische Zusätze zur Reinigung der Implantatoberfläche im Rahmen der nicht-chirurgischen Periimplantitistherapie machen möglicherweise Sinn, aber es fehlt an gut durchgeführten Studien mit ausreichender Anzahl an Patienten und ausreichend langem Follow-up, um wirklich eine spezifische Methode und/oder ein spezifisches Produkt empfehlen zu können.
31.03.2023
Nicht-chirurgische Periimplantitistherapie – Goldstandard …?
Aufgrund eines weiterhin bestehenden Mangels an gut durchgeführten klinischen Studien kann evidenzbasiert nach wie vor keine klare Behandlungsrichtlinie zur mechanischen Reinigung im Rahmen der nicht-chirurgischen Periimplantitistherapie gegeben werden.
01.03.2023
Übertragungsinstrumente: Kleine Helfer mit wahrer Größe
Wer im rheinland-pfälzischen Sinzig ganzheitliche Zahnheilkunde und ein modernes Behandlungsspektrum sucht, der ist bei DentalHochDrei richtig. Das Team um Dr. Joachim Schmalz-Mainka bietet seinen Patienten ein hohes Versorgungsniveau und setzt auch bei der Wahl der Instrumente auf Premiumqualität. Das diese weder etwas mit dem Preis noch mit entsprechender Werbung zu tun haben muss, stellte sich in mehr als 30 Jahren Praxistätigkeit immer wieder heraus.
20.02.2023
Periimplantäre Mukositis- sind chemische Zusätze effektiv?
Evidenzbasiert kann keine Empfehlung zu professionell verabreichten chemischen Zusätzen in der Therapie periimplantärer Mukositis gegeben werden; die bislang getesteten Produkte zeigten keine signifikanten Vorteile gegenüber dem alleinigen Debridement.
20.02.2023
Elektrische Zahnzwischenraumreinigung – Eine gute Alternative?
Elektrisch betriebene Zahnzwischenraumreinigungsgeräte scheinen bei GingivitispatientInnen eine vergleichbare Effektivität wie Zahnseide zu haben und haben aber zugleich den Vorteil, dass PatientInnen sie bevorzugen.