Berichte & Studien

Der (mund)-gesunde Patient mit Implantaten

Fallbeschreibung

Der 55-jährige Patient gibt in der Anamnese an, keine Allgemeinerkrankungen zu haben und keine Medikamente einzunehmen. Die Lebensgewohnheiten des Patienten sind ebenfalls unauffällig.
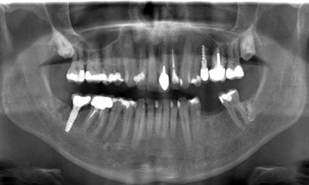
Der Patient hat einige zahnärztliche Restaurationen und zwei Implantate (2. und 4. Quadrant). Anhand der aktuellen Befunde lässt sich eine Gingivitis bei stabilem parodontalen Zustand am reduzierten Parodont (Stadium III, Grad A) feststellen.

Fallbetrachtung nach IPC

Anamnese: unauffällig
Risikofaktoren: keine
Erkrankungs- oder Komplikationsrisiko: keines
Medikamente: keine
Lebensgewohnheiten: unauffällig
Mundgesundheit: stabil
Versorgungen: zahnärztliche Restaurationen (NEM keramisch verblendet), zwei Implantate (2., 4. Quadrant)
Kariesrisikoabschätzung: gering
Parodontitis: mittleres Risiko
Entstehungsrisiko: moderat für Periimplantitis
Progressionsrisiko: gering für Parodontitis

Behandlungsempfehlung nach IPC

IPC-Zyklus-Icon: Lupe

Der Patient zeigt keine besonderen Risikofaktoren mit spezifischen zahnmedizinischen Auswirkungen. Daher ist der aus der Mundgesundheit ermittelte Bedarf maßgebend. Hierbei zeigt sich eine gute Mundgesundheit mit stabilem, reduzierten Parodont. Sollte sich bei einem Kontrolltermin am Implantat eine Vergrößerung von ST im Vergleich zur Baseline kombiniert mit einer diffusen Blutung zeigen, so sollte eine Röntgendiagnostik (i. S. eines Zahnfilms) erfolgen, um frühzeitig einen periimplantären Knochenverlust zu erkennen und dagegen zu intervenieren.

IPC-Zyklus-Icon: Sprechblasen

Trotz der stabilen Verhältnisse ist auch bei diesem Patienten die Motivation/Instruktion wichtig. Besonderes Augenmerk gilt der richtigen Implantatpflege. Gerade hier kann eine gute häusliche Pflege einen wichtigen Anteil an der langfristigen Stabilisierung der Mund- und Implantatgesundheit haben.

IPC-Zyklus-Icon: Prophylaxe-Instrumente

In der Instrumentierung gilt im Bereich der Implantate eine besondere Vorgehensweise. Zum Erhalt der Implantatoberfläche bei gleichzeitig effektiver Reinigung ist die Wahl passender Pulver und Instrumente ausschlaggebend, wie etwa der gezielte Einsatz von Pulverstrahlgeräten mit speziellen Paro-Spitzen. Die Wahl des geeigneten Pulvers kann bedarfs- und risikogerecht erfolgen, beispielsweise kann neben dem passenden Abrasionsgrad auch auf diätische Anforderungen (u. a. zuckerfrei, salzarm) eingegangen werden.

IPC-Zyklus-Icon: Zahn

Bei diesem Patientenfall sind keine Adjuvantien indiziert.
Zur Kariesprävention ist grundsätzlich die Verwendung fluoridhaltiger Zahnpasta zu empfehlen.

IPC-Zyklus-Icon: Kalenderblatt

Aufgrund der stabilen parodontalen und periimplantären Situation wird dem Patienten eine Wiedervorstellung im Intervall von 6 Monaten empfohlen.

Parodontalstatus (ParoStatus®.de)
Abb. 1: Parodontalstatus (ParoStatus®.de)
Abb. 2: Periodontal Risk Assessment according to Lang and Tonetti: Medium risk
Röntgenaufnahme zeigt Knochenabbau
Die Röntgenaufnahme zeigt den Knochenabbau.
OPG: 29.02.2024
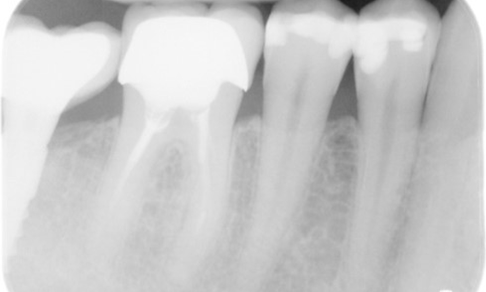
Zahnfilme (bzw. Bissflügelröntgen)
Zahnfilme (bzw. Bissflügelröntgen) aufgenommen am: 18.02.2021
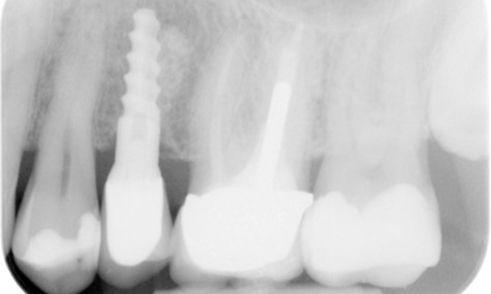
Zahnfilme (bzw. Bissflügelröntgen)
Zahnfilme (bzw. Bissflügelröntgen) aufgenommen am: 18.02.2021
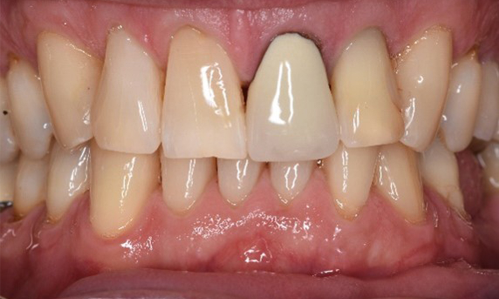
Frontansicht Gebiss (Ober- und Unterkiefer)
Frontansicht

PD Dr. G. Schmalz, MSc
Prof. Dr. D. Ziebolz, MSc

Literaturverzeichnis

  1. Bansal M, Rastogi S, Vineeth NS. Influence of periodontal disease on systemic disease: inversion of a paradigm: a review. Journal of medicine and life. 2013;6(2):126-30.
  2. Si Y, Fan H, Song Y, Zhou X, Zhang J, Wang Z. Association Between Periodontitis and Chronic Obstructive Pulmonary Disease in a Chinese Population. Journal of Periodontology. 2012;83(10):1288-96.
  3. WHO. Oral Health [Fact sheet]. WHO International Newsroom2020 [cited 2020 25.03.2020]. Available from: https://www.who.int/news-room/fact-sheets/detail/oral-health.
  4. Seitz MW, Listl S, Bartols A, Schubert I, Blaschke K, Haux C, et al. Current Knowledge on Correlations Between Highly Prevalent Dental Conditions and Chronic Diseases: An Umbrella Review. Preventing chronic disease. 2019;16:E132.
  5. Papapanou PN, Sanz M, Buduneli N, Dietrich T, Feres M, Fine DH, et al. Periodontitis: Consensus report of workgroup 2 of the 2017 World Workshop on the Classification of Periodontal and Peri-Implant Diseases and Conditions. J Periodontol. 2018;89 Suppl 1:S173-S82.
  6. Chapple IL, Bouchard P, Cagetti MG, Campus G, Carra MC, Cocco F, et al. Interaction of lifestyle, behaviour or systemic diseases with dental caries and periodontal diseases: consensus report of group 2 of the joint EFP/ORCA workshop on the boundaries between caries and periodontal diseases. J Clin Periodontol. 2017;44 Suppl 18:S39-s51.
  7. Cao R, Li Q, Wu Q, Yao M, Chen Y, Zhou H. Effect of non-surgical periodontal therapy on glycemic control of type 2 diabetes mellitus: a systematic review and Bayesian network meta-analysis. BMC oral health. 2019;19(1):176.

Kommentare