Доклади & Изследвания

Установяването на атравматична екстракция на зъби

Първоначално публикувано в Dental Tribune Latin America

Осма глава от книгата "Cirugía piezoeléctrica. Generalidades y aplicaciones clínicas" подчертава нарастващото значение на атравматичната екстракция на зъби. Тази техника се е превърнала в ключова с широкото навлизане на терапията с дентални импланти, която зависи от правилната подготовка на алвеоларната кост за последваща протетична реставрация.

Авторите представят клиничните стъпки, свързани с извършването на атравматична екстракция на зъби чрез пиезо хирургия. Тази техника опростява процедурата и води до по-добри резултати в сравнение с конвенционалните методи.

Екстракцията на зъб е хирургична процедура, която рутинно се извършва от повечето дентални практикуващи. Въпреки това, с появата на денталните импланти необходимостта от прецизно управление както на твърдите, така и на меките тъкани по време на екстракцията става все по-очевидна.1,2

След екстракцията настъпват множество структурни и размерни промени в останалите тъкани. Те се дължат основно на вертикалната и хоризонталната резорбция на крествалния алвеоларен костен сегмент. Паралелно с това се осъществява постепенна замяна на екстракционната алвеола от гранулационна тъкан, последвана от съединителна тъкан, временна костна тъкан и накрая — зряла, новообразувана кост.2,3

Атравматичната екстракция на зъб подпомага запазването както на меките, така и на твърдите тъкани, стимулира засилен биологичен отговор за костно формиране и създава по-благоприятна среда за имедиатно поставяне на имплант или за запазване на алвеоларния гребен.

След екстракцията хоризонталната костна загуба засяга приблизително 30% от букалната пластина и 10% от лингвалната пластина.3 Проучвания показват, че до 50% от букалната пластина може да бъде загубена в рамките на първата година.4 Тези размерни промени съответстват на намаления в ширина от 2,6 mm до 4,5 mm и във височина от 0,4 mm до 3,9 mm на нивото на гребена.5

Предшестващи състояния, като тънки букални костни пластини (< 1 mm), могат допълнително да утежнят ситуацията, водейки до постекстракционна костна загуба до 1.17 mm във височина и 2.67 mm в ширина. Обратно, при дебели букални пластини (> 1 mm) се наблюдава значително по-малка резорбция, със загуби приблизително 0.5 mm във височина и 1.17 mm в ширина.6 Освен това е докладвана по-голяма крествална резорбция след множествени екстракции в сравнение с единични екстракции.6

Атравматичната екстракция на зъб представлява прецизно отстраняване на зъба, насочено към минимизиране на ятрогенната травма, често свързана с конвенционалните методи за екстракция. Този подход съхранява както меките, така и твърдите тъкани, стимулира засилен биологичен отговор за костно формиране и запълване на алвеолата, намалява риска от постоперативна инфекция, запазва естествения контур на гингивалната тъкан, подобрява естетичния резултат на окончателната реставрация и осигурява по-благоприятна среда за имедиатно поставяне на имплант или за запазване на алвеоларния гребен.7

Когато е възможно, атравматичните екстракции на зъби се извършват чрез техники без отпрепариране на ламбо, като по този начин се подпомага оптималната костна регенерация чрез предотвратяване на инвагинацията на меките тъкани и намаляване на постоперативната гингивална рецесия. Хирургичните подходи без отпрепариране на ламбо бяха въведени поради своите потенциални биологични предимства, като ускорено заздравяване и най-важното — намаляване на костната резорбция, свързана със загубата на гингивална перфузия, когато меките тъкани се отделят от подлежащата кост.8 Тази техника е особено подходяща за пациенти с тънък гингивален биотип, при които тя спомага за предотвратяване на естетични усложнения.9

Множество консенсусни доклади са единодушни, че целостта на букалната костна пластина е ключовият определящ фактор за благоприятен естетичен резултат, особено във фронталния участък. 7,10-12

Традиционните техники за екстракция отстраняват зъба чрез ротационни движения и силна тракция, като по този начин разкъсват влакната на Шарпи от костния пакет. Това агресивно нарушаване на периодонталния лигамент и свързаните с него влакна води до неконтролирана травма в алвеоларната кухина, което предизвиква по-изразен колапс на съдовата мрежа и последваща резорбция в засегнатата област.13 За разлика от това, атравматичната пиезоелектрична техника позволява прецизно позициониране на накрайниците на нивото на гингивалния сулкус. Тези накрайници се придвижват между кореновата повърхност и стените на алвеоларната кухина на дълбочина до 10 mm, като улесняват селективното прекъсване само на най-апикалните влакна. Този подход осигурява щадяща екстракция и запазване на крествалната област, като по този начин значително намалява риска от костна резорбция.14

Освен добре документираните предимства при създаването на чисти и прецизни разрези, пиезо хирургията подобрява видимостта на оператора, особено при работа в близост до критични анатомични структури (напр. съдови или нервни снопове) и/или съседни зъби с компрометирана проксимална кост.15 Това подобрено контролиране спомага за предотвратяване на ятрогенни усложнения.16,17 Освен това техниката изисква минимален приложен натиск, като по този начин намалява генерирането на топлина в хирургичната област.18 Отстраняването на кост около зъба се характеризира със своя минимален и многопосочен характер — съществено предимство пред конвенционалните техники, които прилагат променливи и еднопосочни сили.11

При планиране на атравматична екстракция е от съществено значение да се вземат предвид ключови анатомични критерии като дължина на корена, брой корени и сложна морфология на корените, както и наличието на коронални остатъци, предходно ендодонтско лечение или анкилоза. В такива случаи е важно да се подчертае, че пиезоелектричните устройства предлагат широка гама от накрайници, които могат да бъдат избрани в съответствие със специфичната морфология и пространствена конфигурация на кореновата структура.14


Клинични приложения

Фигура 1: Остатък от еднокоренов зъб с обширна коронална деструкция и субкрестална фрактура.
Фигура 2: Интрасулкуларен разрез около целия зъб.
Фигура 3: Мезиодистален дизайн за одонтосекция с използване на режещ накрайник или борче с удължен участък при опашката.
Фигура 4: Начало на одонтосекцията с използване на ротиращ инструмент.
Фигура 5: Завършване на одонтосекцията с използване на пиезо накрайник (B1 на W&H).
Фигура 6: Фрактура на кореновия остатък на два сегмента: букален и палатинален.
Фигура 7: Препариране на палатиналния фрагмент, извършено с пиезоектричен периотом (EX1 на W&H). Този фрагмент е целенасочено обработен поради обикновено по-голямата дебелина на палатиналната костна пластина.
Фигура 8: Дислокация на палатиналния фрагмент.
Фигура 9: Отстраняване (авулзия) на палатиналния фрагмент.
Фигура 10: Препариране на букалния коренов фрагмент. Ако томографията покаже, че той е много тънък, се препоръчва да се избягва използването на периотоми или режещи инструменти директно върху букалната повърхност; вместо това достъпът трябва да се осъществи през вътрешните граници на съседния корен.
Фигура 11: Дислокация на букалния фрагмент в палатиналното пространство на алвеолата.

След завършване на атравматичната екстракция на зъба ще бъде извършено или запазване на алвеоларния гребен, или имедиатно поставяне на имплант с едновременно регенеративно лечение, в зависимост от конкретния клиничен случай.

Фигура 12: Завършване на атравматичната екстракция на зъба със запазване на костните пластини и алвеоларния гребен.

Клиничен случай

68-годишен мъж се представи с подвижност на зъби 1.1, 2.1 и 2.2 след локализирана травма. Клиничният преглед разкри коренови фрактури и имплантно-ретинирани възстановявания на съседните зъби. Томографската диагностика (CBCT) потвърждава находките при резците и поради това бе препоръчана атравматична екстракция. Въз основа на размерите на оставащите апикални и палатинални костни структури, които осигуряваха предсказуема първична стабилност, бяха планирани постекстракционни дентални импланти, придружени от едновременна костна регенерация.

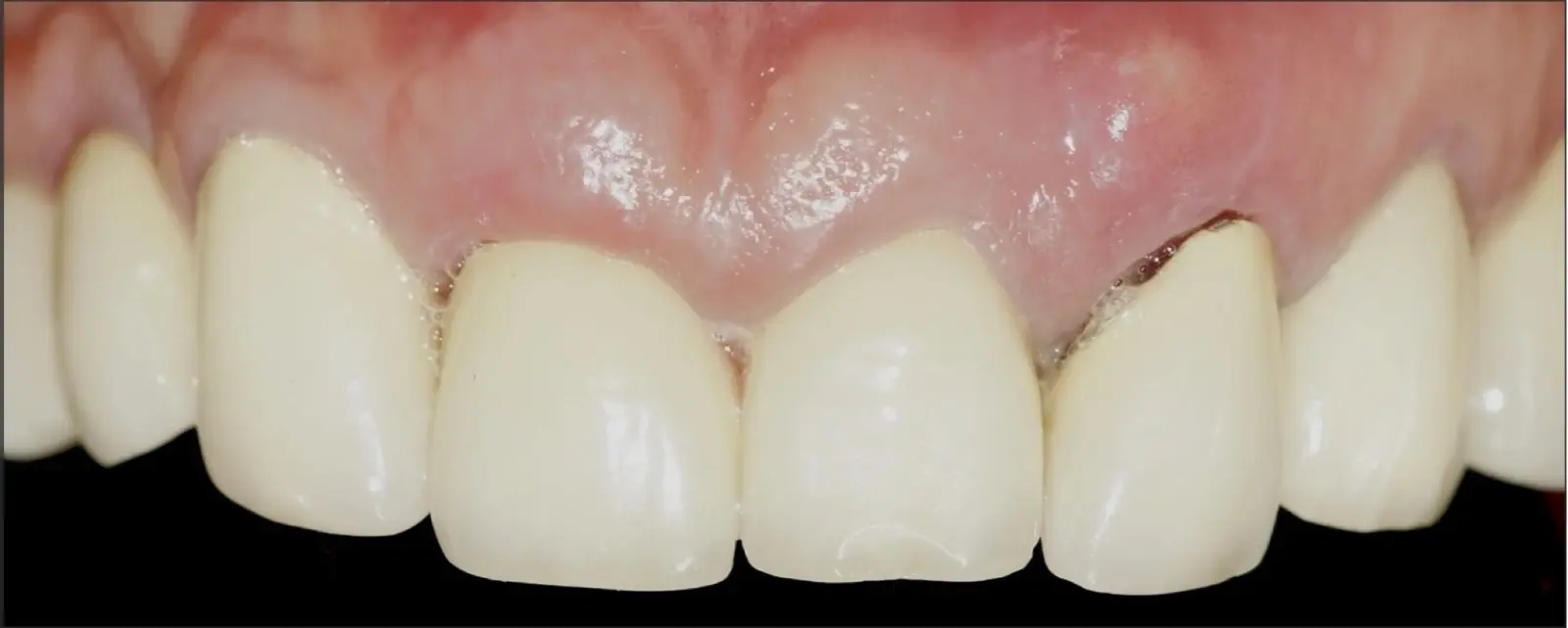
Фигура 13: Фронтален изглед на зъби 1.1, 2.1 и 2.2, показващ диагностицирана коренова фрактура. Забележете дисхармонията в гингивалния контур, променената инцизална равнина, благоприятното количество кератинизирана гингива и привидно дебел биотип.
Фигура 14: Оклузален изглед: демонстрира запазен гингивален контур.
Фигура 15: Сагитални томографски срезове на зъби 1.1, 2.1 и 2.2, показващи много тънки букални костни пластини с дебелина под 0,2 mm (a, c).
Фигура 16: Първоначална мезиодистална хемисекция на корена до дълбочина приблизително 10 mm при зъби 1.1, 2.1 и 2.2, извършена с плосък назъбен пиезо накрайник (B6 на W&H), като се внимава да не се увредят проксималните костни гребени (a, b, c).
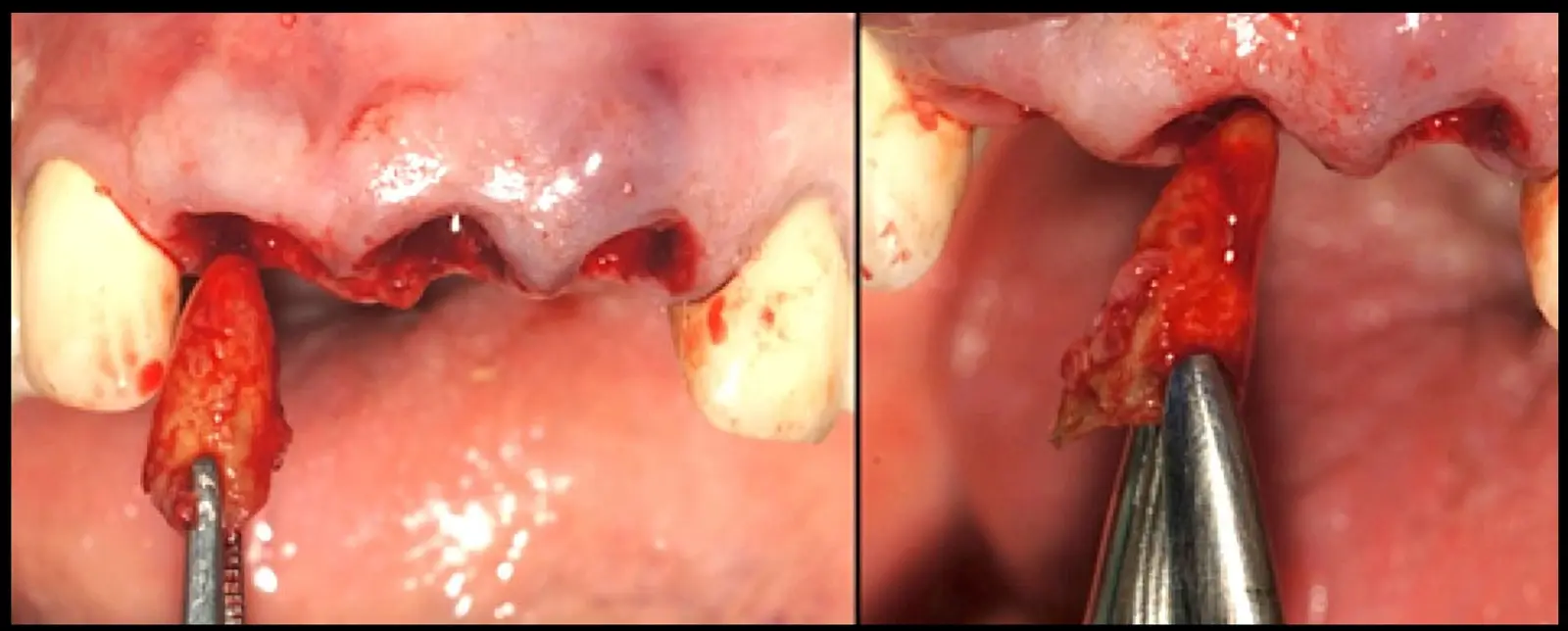
Фигура 17: Оклузален изглед на мезиодисталните срезове на кореновите остатъци.
Фигура 18: Синдесмотомия с пиезоелектричен периотом (EX1 на W&H) (a), позициониран в пространството на периодонталния лигамент на нивото на палатиналните фрагменти (b).
Фигура 19: Екстракция на палатиналните фрагменти на зъби 1.1, 2.1 и 2.2 поради по-голямата дебелина на палатиналната костна пластина (a, b, c).
Фигура 20: Екстракция на букалните фрагменти чрез дислокация на остатъците в пространствата, създадени след отстраняването на палатиналните фрагменти (a, b).
Фигура 21: Постекстракционни алвеоли на зъби 1.1, 2.1 и 2.2, показващи липсата на букални костни пластини.
Фигура 22: След подготовката на имплантното ложе бяха поставени паралелни щифтове, които оклузираха подготвените места и по този начин улесниха поставянето на костозаместващ материал. Впоследствие в алвеолата бяха позиционирани резорбируеми мембрани чрез техниката „конус“ (a, b).
Фигура 23: Поставяне на биоматериал от говежда кост в пространството, очертано от паралелните щифтове и мембраната. Забележително е, че по-голямото остатъчно пространство корелира с по-дебела новообразувана букална костна пластина.
Фигура 24: Оклузален изглед на алвеолите, запълнени с компактиран биоматериал.
Фигура 25: Отстраняване на паралелните щифтове и поставяне на нанотехнологични импланти с диаметър 3,5 mm и дължина 11,5 mm (Unitite, S.I.N., Бразилия), позиционирани субкристално, като се поддържа разстояние от 3 mm за запазване целостта на костните гребени и интерденталните папили.
Фигура 26: Оклузален изглед на поставените импланти и компактиране на костозаместващия материал около имплантите.
Фигура 27: Първично затваряне е постигнато чрез педикулирано палатинално ламбо към букалната страна и зашиване с конци от полигликолова киселина 4/0. Малката открита зона остава да заздравее сама (вторично), като се стараем да запазим максимално формата и целостта на гингивалните папили.
Фигура 28: Следоперативен фронтален изглед с подвижна временна протеза (a). Контролен преглед на седмия ден показва задоволителен оздравителен процес и запазване на контурите на папилите (b).
Фигура 29: Универсални абатмънти, поставени на четвъртия месец от периода на осеоинтеграция (a). Запазването на височината на папилите също е видно. Оклузален изглед, показващ здравето на периимплантните тъкани, с оформяне на подходящи емерджънс профили и запазване на контура на алвеоларния гребен (b).
Фигура 30: Измервания на стабилността на имплантите чрез анализ на резонансната честота. Стойностите на ISQ варират между 55 и 57, което показва, че е необходимо допълнително минерализиране на периимплантната костна матрица (a, b).
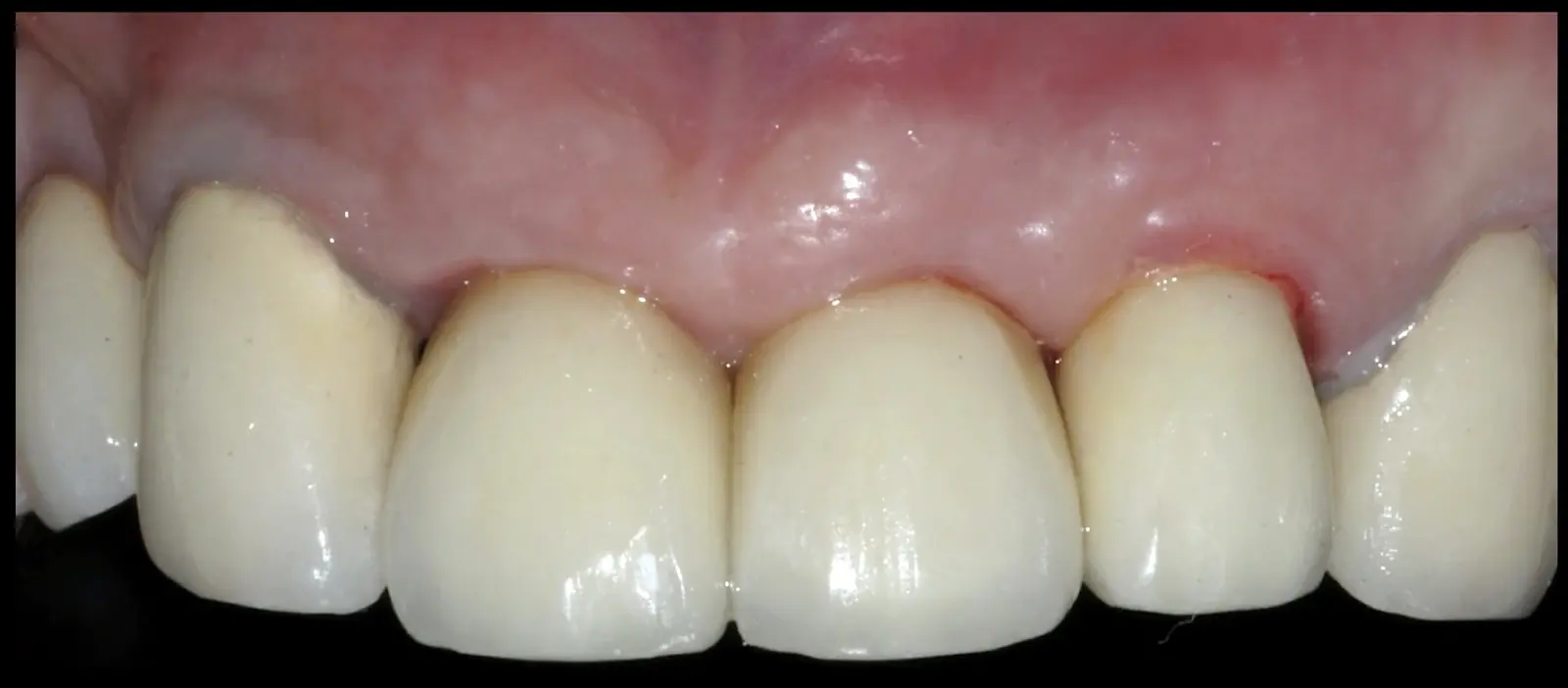
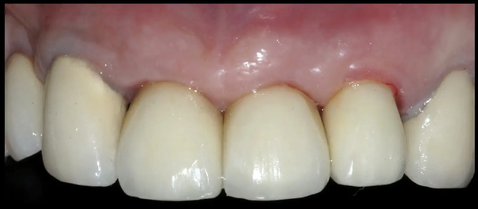
Фигура 31: Завършен случай със запазване на контура на алвеоларния гребен, гингивалния контур и височината на папилите.
Фигура 32: Четиримесечен следоперативен контрол (a), показващ формирането на нова кристална букална костна пластина (b), с дебелина над 2 mm при всички поставени импланти (c).

Заключение

Атравматичната екстракция на зъби с пиезоелектрична технология предлага биологични предимства, включително ускорено заздравяване на раната и намалена костна резорбция. Този протокол без отпрепариране на ламбо придобива особено значение поради нарастващото приложение на имплантологичната терапия.

Специална серия: Пиезо хирургия
Кликнете тук, за да видите резюмето на 11-те статии.

Серията от статии за пиезо хирургия се основава на книгата „Cirugía piezoeléctrica. Generalidades y aplicaciones clínicas“ от Dr. José Carlos Rosas Díaz и сътрудници, посветена на тази технология.

Книгата, написана в съавторство с Jerson Palomino Zorrilla, Karla Díaz Cavero и María Eugenia Guerrero Acevedo от Университет Privada San Juan Bautista в Лима, Перу, представя най-актуалните научни доказателства в подкрепа на клиничната стойност на различни пиезоелектрични процедури, демонстрирайки тяхната практическа приложимост в денталната практика чрез публикуването на множество клинични случаи.


Книгата „Cirugía piezoeléctrica. Generalidades y aplicaciones clínicas“ обяснява основните принципи на тази технология и демонстрира нейната практическа приложимост в денталната клинична практика чрез подробни клинични случаи.

Референция

  1. Lui JN, Khin MM, Krishnaswamy G, et al. Prognostic factors relating to the outcome of endodontic microsurgery. J Endod. 2014;40(8):1071-1076.
  2. Kerekes K, Tronstad L. Long-term results of endodontic treatment performed with a standardized technique. J Endod. 1979;5(3):83-90.
  3. Lieblich SE. Endodontic surgery. Dent Clin North Am. 2012;56(1):121-ix.
  4. Walton RE, Ardjmand K. Histological evaluation of the presence of bacteria in induced periapical lesions in monkeys. J Endod.1992;18(5):216-27.
  5. Tronstad L, Barnett F, Cervone F. Periapical bacterial plaque in teeth with refractory to endodontic treatment. Endod Dent Traumatol. 1990;6(2):73-7.
  6. Jepsen K, Schneider E, Dommisch H, et al. Management of a Central Incisor with Horizontal Root Fracture for Esthetic and Functional Rehabilitation. Int J Periodontics Restorative Dent. 2016;36(1):65-73.
  7. Brito-Junior M, Faria-e-Silva AL, Quintino AC, et al. Orthograde retreatment failure with extruded MTA apical plug in a large periradicular lesion followed by surgical intervention: case report. Gen Dent. 2012;60(2):96-100.
  8. Szalma J, Soós B, Krajczár K, et al. Piezosurgical management of sealer extrusion-associated mental nerve anaesthesia: A case report. Aust Endod J. 2019;45(2):274-280.
  9. Kang M, In Jung H, Song M, et al. Outcome of nonsurgical retreatment and endodontic microsurgery: a meta-analysis. Clin Oral Investig. 2015;19(3):569-582.
  10. Abella F, de Ribot J, Doria G, et al. Applications of piezoelectric surgery in endodontic surgery: a literature review. J Endod. 2014;40(3):325-332.
  11. Kim S, Kratchman S. Modern endodontic surgery concepts and practice: a review. J Endod. 2006;32(7):601-23.
  12. Song M, Nam T, Shin SJ, Kim E. Comparison of clinical outcomes of endodontic microsurgery: 1 year versus long-term follow-up. J Endod. 2014;40(4):490-494.
  13. Lofthag-Hansen S, Huumonen S, Gröndahl K, et al. Limited cone-beam CT and intraoral radiography for the diagnosis of periapical pathology. Oral Surg Oral Med Oral Pathol Oral Radiol Endod. 2007;103(1): 114-9.
  14. Strbac GD, Schnappauf A, Giannis K, et al. Guided Modern Endodontic Surgery: A Novel Approach for Guided Osteotomy and Root Resection. J Endod. 2017;43(3):496-501.
  15. Moreno-Rabié C, Torres A, Lambrechts P, et al. Clinical applications, accuracy and limitations of guided endodontics: a systematic review. Int Endod J. 2020;53(2):214-231.
  16. Kocyigit ID, Atil F, Alp YE, et al. Piezosurgery versus conventional surgery in radicular cyst enucleation. J Craniofac Surg. 2012; 23(6):1805-8.
  17. Hirsch V, Kohli MR, Kim S. Apicoectomy of maxillary anterior teeth through a piezoelectric bony-window osteotomy: two case reports introducing a new technique to preserve cortical bone. Restor Dent Endod. 2016;41(4):310-315.
  18. Gagliani M, Taschieri S, Molinari R. Ultrasonic root-end preparation: influence of cutting angle on the apical seal. J Endod. 1998;24(11):726-30.
  19. Rubinstein RA, Kim S. Short-term observation of the results of endodontic surgery with the use of surgical operation microscope and Super-EBA as root end filling material. J Endod. 1999;25(1):43-8.
  20. Del Fabbro M, Tsesis I, Rosano G, et al. Scanning electron microscopic analysis of the integrity of the root-end surface after root-end management using piezoelectric device: a cadaveric study. J Endod. 2010;36(10):1693-7.
  21. Tsesis I, Rosen E, Taschieri S, et al. Outcomes of surgical endodontic treatment performed by a modern technique: an updated meta-analysis of the literature. J Endod. 2013;39(3):332-9.
  22. Bastien AV, Adnot J, Moizan H, et al. Secondary surgical decompression of the inferior alveolar nerve after overfilling of endodontic sealer into the mandibular canal: Case report and literature review. J Stomatol Oral Maxillofac Surg. 2017;118(6):389-392.

коментара