Доклади & Изследвания

Единично имплантиране за циркониево-оксиден мост с Implantmed

Научен доклад от д-р Карл-Лудвиг Акерман, Филдщадт, Германия

67-годишна пациентка е с ендодонтски проблеми и гингивит около протетичното й възстановяване в горна челюст. След екстрахиране на зъби 21 и 22, планът за лечение е да се поставят импланти с абатмънти като нов мост. Работното поле ще бъде обработено с новия имплантологичен мотор Implantmed на W&H и стабилността ще бъде измерена с интегрирания W&H Osstell ISQ модул.

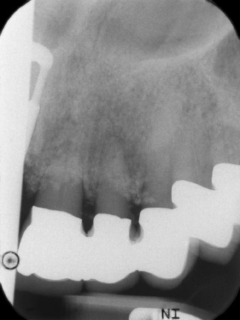
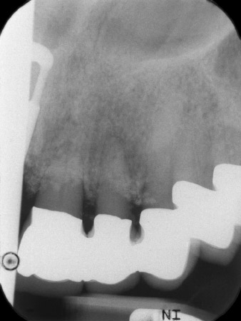
първоначални рентгенографски резултати
Фиг. 1: Първоначалните рентгенографски резултати показват възстановяване с шинирана корона, изискваща смяна. Когато тя е премахната, зъби 21 и 22 са били неумишлено екстрахирани заедно с нея.

При първоначалното лечение на пациентката, зъби 21, 22 и 23 са шинирани в корона, вече на 19 години, които са закрепени към имплантите на позиции 12/11 чрез надстройка (Фиг. 2).

Рентгеновата снимка показа хоризонтална загуба на кост около зъби 21 и 22 (Фиг. 1). Когато короната е отстранена, тези зъби са били неумишлено екстрахирани с нея.

Зъб 23 разкрива хоризонтално-коронарна фрактура и е възстановен с коронарно изграждане за временно възстановяване. Планът за лечение е да се постави циркониево-оксиден мост върху съществуващите импланти в позиции 12 и 11 и да се поставят два нови импланти в позиции 22 и 23.


След първичното оздравяване, меките тъкани са оформени посредством базално разположения мост. Два месеца по-късно, обработваното поле е изложено на палатинална алвеоларна инцизия (Фиг 2). Размерите на алвеоларната кост са достатъчни в позиция 22. Фигури 2 и 4 показват препарацията на имплантното ложе, нарязващия винт и имплатирането, използвайки Implantmed.

Измерване на стабилността на импланта

Новият имплантологичен мотор е използван с подходящите обратни наконечници на W&H.

пилотното изпиляване е извършено с новия Implantmed и обратен наконечник WS-56 L
Фиг. 2: Два месеца по-късно, пилотното изпиляване е извършено с новия Implantmed и обратен няконечник WS-56 L (програма P1, съотношение 1:1). Охлаждането е е осъществено чрез шлауха за физиологичен разтвор, позициониран отляво (за потребители, работещи с дясна ръка).
Нарязване с винт с обратен наконечник WS-75 L
Фиг. 3: Нарязване с винт с обратен наконечник WS-75 L със съотношение 20:1 (програма P4). Високият въртящ момент на Implantmed, хексагоновата система на цангата за надеждно предаване на мощноста и автоматичното обръщане на посоката на въртене, когато съпротивлението стане твърде голямо, са особено полезни в този случай.
Механично поставяне на имплант
Фиг. 4: Механично поставяне на имплант с обратен наконечник WS-75 L и съотношение 20:1 (програма P5).

С цел да се компенсира периодонталната загуба на кост и да се постигне естетически добър резултат, имплантирането е комбинирано с водена костна регенерация (GBR) с ксеногенен заместващ материал и колагенова мембрана (Фиг. 5 и 6).

Ксеногенен костозаместващ материал
Фиг. 5: С цел да се постигне възможно най-доброто качество на пери-имплантитната тъкан, мястото е допълнително аугментирано с ксеногенен костозаместващ материал и колагенова мембрана посредством водена костна регенерация.
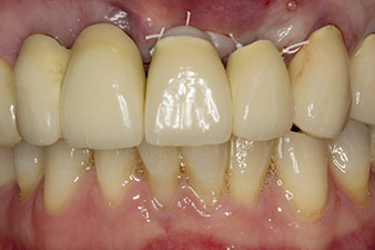
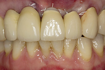
Ситуацията след имплантиране
Фиг. 6: Ситуацията след имплантиране и аугментация: Старият мост е поставен отново като временно възстановяване за фазата на заздравяване със свободно фрезован мост над имплант в позиция 22. Планираното перманентно възстановяване ще бъде с циркониево-оксиден мост от 12 до импланта, за да бъде поставен в позиция 23.

В обхвата на експозицията на имплантиране в позиция 23, стабилността на импланта е измерена с W&H Osstell ISQ (коефициент за измерване на стабилността на импланта) модула, интегриран в апарата, четири месеца по-късно.

Това е осъществено чрез навиване на съответния измервателен пин (SmartPeg) за имплантологичната система и позициониране на сондата на разстояние от 3-5 mm от предната страна на измервателния пин (Фиг. 7).

Osstell ISQ модул
Фиг. 7: Близо 4 месеца по-късно, стабилността на имплант 22 е измерена с W&H Osstell ISQ модула по време на експозицията (измерени стойности: мезиално 68, вестибуларно 64 = средна стабилност).

Фигура 8 показва Implantmed на W&H с цялата периферия, но без мобилната маса, която също е на разположение.

Implantmed
Фиг. 8: Новият Implantmed е на разположение с безжичен педал за управление и донгъл за W&H Osstell ISQ модул.

Хардуер без компромиси

Съществуват редица фактори, които трябва да се вземат предвид при извършване на имплантиране в предната част на горна челюст, където естетически добрите резултати са от съществено значение. (1).

Те включват дизайна и материала за възстановяване (2) и количеството и качеството на тъканите около имплантите. В допълнение, съществуват фактори, които влияят върху процеса на оздравяване, временната фаза (3) и вида на фиксацията (4).

За да се избегнат по-нататъшни проблеми, лекарите по дентална медицина и хирурзите не трябва да допускат никакви компромиси, когато става дума за хардуер.

Заедно с имплантологичната система и протетиката, това се отнася и за имплантологичния мотор и съответните хирургични обратни наконечници.

В това научно изследване, ситуацията е разрешена с имплант в позиция от първата процедура и допълнителен имплант на мястото на екстрахиран зъб 23 по-късно в хода на лечението. Вторият имплант е поставен след успешна остеоинтеграция на имплант 22. Ревизираният мост е поставен отново, докато имплант 23 заздравее на място и оформянето на перманентното възстановяване е завършено. Предимствата на този надграждащ подход включват възможността имплантите да понесат по-гъвкаво натоварването и пълноценно да се развият твърдите и меките тъкани (5).

“Успешно проектиран имплантологичен мотор”

Препарацията на имплантното ложе, нарязването с винт и имплантирането са извършени с новия имплантологичен мотор Implantmed, за който авторът казва, че е успешно проектиран апарат. Производителят наистина е разработил цяла гама от технически характеристики за този апарат. Например, удобното меню в системата за навигация от сензорния екран е особено полезно. Изборът на всички функции е лесен и те удобно могат да се адаптират към спецификите на имплантологичната система и Вашите лични предпочитания. Това е приложимо за до шест потребители в по-големите практики или болници.

Размерите и ергономичният дизайн на апарата – например, удобните поставки за инструменти, безжичният педал за управление и шлаухът за охлаждащ разтвор – означава, че той може перфектно да бъде интегриран в имплантологичните практики. Дизайнът е много красив (Фиг. 8).


В този доклад, ние също използвахме и опционалния W&H Osstell ISQ модул (Фиг. 7). Тъй като имплантът е покрит при оздравяване, с модула имахме възможност да потвърдим дали процесът е успешно завършен (имплант 22). Ако е планирано имедиатно или ранно натоварване, модулът – в комбинация с установения въртящ момент – може да се използва за проверка на първоначалната стабилност. Цялата информация може да бъде съхранена на USB памет за всяка сесия и всеки имплант. По този начин, не само клиничните, но и правните изисквания са покрити по образцов начин.

Д-р Акерман
Д-р Карл-Лудвиг Акерман

Повече информация


Предимствата на Implantmed

Интервю с д-р Акерман

Снимки: © Ackermann/Kirsch/Neuendorff


Препратки

  1. Dawson A, Chen ST. The SAC Classification in Implant Dentistry. Berlin: Quintessence Publishing Co., 2009.
  2. Martin WC, Pollini A, Morton D. The influence of restorative procedures on esthetic outcomes in implant dentistry: a systematic review. Int J Oral Maxillofac Implants 2014;29 Suppl:142-154.
  3. Zuhr O, Fickl S, Wachtel H, Bolz W, Hurzeler M. Die Versorgung der Extraktionsalveole aus prothetischer Sicht. Implantologie 2006;14:339-353.
  4. Krennmair G, Seemann R, Weinlander M, Wegscheider W, Piehslinger E. Implant-prosthodontic rehabilitation of anterior partial edentulism: a clinical review. Int J Oral Maxillofac Implants 2011;26:1043-1050.
  5. Buser D, Martin W, Belser UC. Optimizing esthetics for implant restorations in the anterior maxilla: anatomic and surgical considerations. Int J Oral Maxillofac Implants 2004;19 Suppl:43-61.

коментара