Informes & Estudios

Implante y aumento retardados - Medición de la estabilidad del implante.

En un joven paciente, fue preciso extraer un primer molar porque estaba destruido por caries y presentaba una complicación endodóntica. La colocación de coronas en las piezas dentales adyacentes, sanas en su mayor parte, solo podía evitarse mediante la inserción de un implante. Seis semanas después de la extracción, se observó un alvéolo que presentaba una osificación incompleta. Así pues, el implante tuvo que combinarse con un aumento en todo el perímetro.

Con el fin de garantizar una osteointegración segura, los implantes deben presentar una estabilidad primaria suficiente. El torque requerido puede determinarse durante la inserción. Si la micromovilidad primaria del implante es demasiado alta, el tejido conjuntivo puede crecer en la hendidura surgida, lo que impide una osteointegración adecuada (1). No obstante, la resistencia al enroscado depende, entre otros, de la geometría del implante y de la rosca. Por esta razón, la recomendación habitual de al menos 20 a 40 Ncm no se puede transmitir a cualquier sistema (2).

Además, la medición del torque no puede repetirse sin poner en peligro el éxito de la osteointegración. Así pues, se recomienda el uso de aparatos de medición no invasivos que, por ejemplo, utilicen el análisis de frecuencia de resonancia (RFA). Las ondas electromagnéticas se utilizan para provocar oscilaciones en el implante investigado. El cociente de estabilidad del implante (ISQ) que se calcula en este caso se encuentra relacionado con la micromovilidad y, en consecuencia, con la capacidad de carga de la prótesis (3, 4). Una alta densidad ósea tiende a estar relacionada con un aumento de la estabilidad primaria (5). No obstante, cuando no se dispone de una cantidad suficiente de hueso, es más difícil evaluar si existe una buena estabilidad primaria, por lo que la determinación del ISQ puede resultar especialmente importante (2).

Caso clínico

Situación clínica inicial
Figura 1: Situación clínica inicial después de la cicatrización del alvéolo de extracción de la pieza 36: la base del hueso es ancha y existe una cantidad suficiente de encía queratinizada.

En el paciente de 28 años con un historial de fumador severo, fue preciso extraer la pieza dental 36 como consecuencia de una recidiva de una periodontitis apical.

Como las piezas dentales adyacentes estaban en su mayoría intactas, el único tratamiento posible para los huecos existentes era un implante.

osificado de forma incompleta
Figura 2: Seis semanas después, se observó un alvéolo que solo estaba osificado de forma incompleta en el área de la raíz mesial.

No obstante, seis semanas después de la extracción, tras la disección del colgajo mucoperióstico, se observó una osificación incompleta en el área del antiguo alvéolo mesial.

Implantat
Figura 3: Después de realizar la preparación con el motor de implantes Implantmed, se enroscó mecánicamente un implante (diámetro 4 mm, longitud 12 mm) con un torque de 43 Ncm.

Tras la extirpación minuciosa del tejido de granulación, se incorporó el implante tal como se había planificado (blueSky, bredent).

SmartPeg
Figura 4: Poste de medición atornillado SmartPeg para determinar el cociente de estabilidad del implante con el módulo Osstell ISQ de W&H.

El torque en el momento de la carga mecánica fue de 43 Ncm. Asimismo, después de atornillar un poste de medición especial adaptado al sistema de implante (SmartPeg), el valor ISQ se determinó con la sonda del módulo Osstell ISQ de W&H.

periimplantario con virutas de hueso autógeno
Figura 5: Para obtener un contorno de tejido periimplantario favorable, en primer lugar es preciso compensar la carencia de hueso periimplantario con virutas de hueso autógeno.

Este módulo Osstell ISQ que se encuentra disponible como accesorio para la unidad Implantmed de W&H y se acopla al motor de implantes (véase figura 11). El valor ISQ adimensional fue de 64 justo en el momento de la inserción en la dirección bucovestibular y de 68 en la dirección mesiodistal (valor máximo = 100).

Este habría permitido una cicatrización abierta o incluso un tratamiento inmediato. Sin embargo, como no se disponía de suficiente hueso en la parte crestal del implante, el área se aumentó con las virutas óseas recopiladas durante la preparación del lecho del implante y se suturó para que no penetrara saliva.

sonda de medición
Figura 6: Diez semanas después, fue posible retirar de nuevo el pilar de cicatrización que se había incorporado de forma provisional. En la dirección linguo-bucal se midió un valor ISQ prácticamente inalterado de 63 (sonda de medición sin contacto a una distancia de 2 a 3 mm).

Dos meses después, el implante se expuso y se introdujo un pilar de cicatrización (no hay figura).

Después de la cicatrización de los tejidos blandos, se volvió a determinar la estabilidad del implante antes de continuar con el tratamiento protésico.

Implantmed
Figura 7: Visualización del valor ISQ en el Implantmed: No es necesario adquirir un aparato por separado y la documentación se lleva a cabo junto con los demás valores para la preparación de lecho del implante y para la inserción.

Los dos valores eran prácticamente idénticos y se encontraban en la transición del área media a la alta; en este punto cabe reseñar que el valor más bajo sirve siempre como referencia para establecer el tratamiento adecuado.

conformación
Figura 8: Se realiza la conformación para la corona definitiva.

Con ello, fue posible documentar una correcta osteointegración y una estabilidad biológica suficiente, lo que permitió realizar una conformación en la misma sesión.

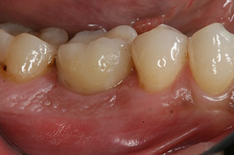
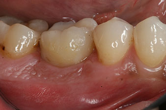
Las figuras finales muestran la corona de composite monolítica atornillada in situ y la radiografía de control (figuras 9 y 10) (6).

corona de composite
Figura 9: La corona de composite definitiva se adhirió en el laboratorio a un pilar híbrido PEEK, por lo que pudo atornillarse de inmediato.
radiografía de control
Figura 10: La radiografía de control muestra que se había producido una correcta osteointegración y que la corona se había atornillado sin dejar hendiduras.
Implantmed y el módulo Osstell ISQ
Figura 11: El autor durante la intervención con el Implantmed y el módulo Osstell ISQ de W&H integrado (lado izquierdo de la imagen).
Dr. Jörg Neugebauer

PD Dr. Jörg Neugebauer,
Landsberg am Lech, Alemania

Fotos: © Neugebauer

Debate y hechos

Hoy en día los pacientes esperan que el tratamiento se administre a corto plazo, lo que significa que cada vez es más importante determinar el momento adecuado para iniciarlo. Con el fin de evaluar la micromovilidad del implante individual en los casos de tratamientos inmediatos, la estabilidad primaria mecánica debe medirse el mismo día de colocación del implante. Frente a esto, a la hora de comprobar si se ha producido una correcta osteointegración, es preciso determinar la estabilidad primaria biológica. Si se colocan implantes en huesos blandos, por lo general, estos suelen ser más estables durante la exposición que después de la inserción (2). Por el contrario, si, como en el caso que nos ocupa, el implante se lleva a cabo en hueso duro o sólido, el valor ISQ permanece constante o incluso puede disminuir si los valores iniciales son altos. La alta estabilidad mecánica se reduce así durante el proceso de osteointegración y, en su lugar, tiene lugar un anclaje biológico.

La estabilidad del implante se describe mejor midiendo la micromovilidad y, de forma más segura, con el análisis de frecuencia de resonancia (RFA) (7, 8). En la medida de lo posible, las mediciones se efectúan, como en el caso clínico presentado, en dos direcciones (9). La técnica correspondiente puede obtenerse de forma opcional con el módulo Osstell ISQ de W&H que se acopla al motor de implantes, por lo que no es necesario adquirir un aparato por separado. Para el tratamiento cuenta siempre el valor más bajo de cada caso. Los valores de medición se muestran en la pantalla táctil del motor de implantes como cociente de estabilidad del implante (ISQ). Al igual que sucede con la curva del torque en el momento de la carga del implante y con los datos sobre la preparación del lecho del mismo, dichos valores pueden guardarse en una memoria USB y utilizarse para la documentación relativa a los pacientes y los implantes. En conjunto, y sobre todo en combinación con el equipo Implantmed de W&H, se trata de una técnica muy sencilla y fiable para la rutina diaria en el campo de la implantología.


Literatur

  1. Brunski JB. In vivo bone response to biomechanical loading at the bone/dental-implant interface. Adv Dent Res 1999;13:99-119.
  2. Neugebauer J, Kistler F, Duddeck D, Scheer M, Kistler S, Bayer G, et al. Risikomanagement - objektive Beurteilung der Implantatstabilität. Implantologie Journal 2013.
  3. Pagliani L, Sennerby L, Petersson A, Verrocchi D, Volpe S, Andersson P. The relationship between resonance frequency analysis (RFA) and lateral displacement of dental implants: an in vitro study. Journal of oral rehabilitation 2013;40:221-227.
  4. Suer BT, Yaman Z, Buyuksarac B. Correlation of Fractal Dimension Values with Implant Insertion Torque and Resonance Frequency Values at Implant Recipient Sites. Int J Oral Maxillofac Implants 2016;31:55-62.
  5. Filho LC, Cirano FR, Hayashi F, Feng HS, Conte A, Dib LL, et al. Assessment of the correlation between insertion torque and resonance frequency analysis of implants placed in bone tissue of different densities. J Oral Implantol 2014;40:259-262.
  6. Neugebauer J, Adler S, Kistler F, Kistler S, Bayer G. Der Einsatz von Kunststoffen bei der festsitzenden prothetischen Implantatversorgung. ZWR Das Deutsche Zahnärzteblatt 2013;122:242-245.
  7. Andreotti AM, Goiato MC, Nobrega AS, Freitas da Silva EV, Filho HG, Pellizzer EP et al. Relationship Between Implant Stability Measurements Obtained by Two Different Devices: A Systematic Review. J Periodontol 2017; 88: 281-288.
  8. Herrero-Climent M, Santos-Garcia R, Jaramillo-Santos R, Romero-Ruiz MM, Fernandez-Palacin A, Lazaro-Calvo P, et al. Assessment of Osstell ISQ's reliability for implant stability measurement: a cross-sectional clinical study. Medicina oral, patologia oral y cirugia bucal 2013;18:e877-882.
  9. Park JC, Kim HD, Kim SM, Kim MJ, Lee JH. A comparison of implant stability quotients measured using magnetic resonance frequency analysis from two directions: a prospective clinical study during the initial healing period. Clinical oral implants research 2010;21:591-597.

comentarios