Informes & Estudios

Preparación dental para un tratamiento CAD/CAM

DDS Sergio Ariosto Hernández Delgado

Uso de micromotores eléctricos con contra-ángulos multiplicadores para la preparación del tratamiento CAD/CAM:

Cada año, en todo el mundo, aumenta el número de pacientes tratados con prótesis dentales producidas mediante CAD/CAM. El uso de esta técnica de gran eficacia realizada en el propio sillón odontológico permite a los odontólogos ser más eficientes que nunca en el uso de herramientas de registro de datos 3D, así como en el procesamiento de datos digitales complejos y en la planificación del tratamiento mediante soluciones integrales de software.

En la siguiente entrevista, el DDS Sergio Ariosto Hernández Delgado nos habla sobre los retos excepcionales que supone la preparación con éxito de un tratamiento de CAD/CAM. Este odontólogo lleva muchos años impartiendo charlas y seminarios, tanto en universidades como en el contexto de conferencias en Sudamérica y Europa, en los que describe sus experiencias en el campo de la odontología preventiva, estética y restauradora.


En su opinión, ¿cuáles son las ventajas de utilizar micromotores eléctricos con contra-ángulos multiplicadores para la preparación, particularmente si se emplea el tratamiento CAD/CAM?

DDS Hernández Delgado: Las ventajas más importantes de las que puedo hablar por propia experiencia son las siguientes: Control de la preparación: márgenes precisos, limpios y uniformes que son fáciles de digitalizar. Menor vibración en comparación con las turbinas, por lo que la fatiga y la fuerza también son menores durante el procedimiento de preparación. El aumento de peso que supone el uso del contra-ángulo y del micromotor es una desventaja menor si se compara con la mayor fuerza que se necesita para compensar la falta de potencia de la turbina, especialmente en la realización de procedimientos sustractivos o de reemplazo de coronas.

¿Cómo evaluaría la eficiencia de un sistema eléctrico en lo que se refiere a la tasa de eliminación de material en comparación con la de las turbinas?

DDS Hernández Delgado: En cuanto a la eficiencia, puedo decir que la tasa de eliminación de material observada en procedimientos habituales, como el reemplazo de diferentes tipos de restauraciones, es excepcional en el trabajo diario con restauraciones metálicas y de PFM (porcelana fundida sobre metal) y también resulta especialmente eficaz en la eliminación de cerámicas de elevada resistencia, como las de dióxido de zirconio, aluminio y disilicato de litio, así como otros materiales cerámicos. Si se emplea una velocidad menor con un mayor torque, se logra un mejor control del diseño de la preparación, una mayor limpieza y visibilidad de los márgenes, así como ángulos lineales de las cavidades. En consecuencia, puede controlarse el nivel de invasividad de la preparación desde una fase muy importante, lo que reduce la cantidad de estructura dental sana eliminada.

Algunos estudios, como el citado a continuación, pueden aportar un contexto científico a observadores clínicos como yo:

J Prosthet Dent. mayo de 2009; 101(5): 319-31
In vitro comparison of the cutting efficiency and temperature production of ten different rotary cutting
instruments. Part II: electric handpiece and comparison with turbine.

Ercoli C1, Rotella M, Funkenbusch PD, Russell S, Feng C. En comparación con la temperatura de la línea de base, todos los instrumentos rotatorios de corte mostraron una disminución de la temperatura en la cámara pulpar simulada al probarse con la pieza de mano eléctrica. La Great White Ultra (fresa de carburo) mostró la mayor tasa de avance (0,17 mm/s) y la menor carga aplicada (108,35 g). Si se consideran todos los instrumentos rotatorios de corte como un único grupo, la pieza de mano eléctrica mostró una temperatura inferior media (26,68 °C), una mayor tasa de avance (0,12 mm/s) y una mayor carga (124,53 g) que la turbina de aire (28,37 °C, 0,11 mm/s y 121,7 g, respectivamente). Si se considera cada uno de los grupos de instrumentos rotatorios de corte por separado, se encontraron diferencias significativas en el caso de la pieza de mano eléctrica o de la turbina de aire.


CONCLUSIONES:
La fresa de carburo evaluada mostró una eficiencia de corte mucho mayor que la de los instrumentos rotatorios de corte de diamante evaluados con el uso de una pieza de mano eléctrica. La pieza de mano eléctrica mostró una mayor eficiencia de corte que la turbina, especialmente al utilizarse con la fresa de carburo, debido, probablemente, a su mayor torque.

¿Cómo evaluaría la opción de utilizar el sistema eléctrico (micromotor y contra-ángulo) para un control preciso de la velocidad (p. ej., durante el acabado) en comparación con las turbinas?

DDS Hernández Delgado: Esta es mi opinión personal en relación con los siguientes procesos:

  • Eliminación de la restauración: es rápida, eficaz y precisa y requiere una menor fuerza.
  • Preparación de la cavidad: menor vibración, ángulos lineales de la preparación bien definidos, profundidad controlada, márgenes definidos, limpios y claros.
  • Eliminación de caries profundas: menor vibración, reducción de la generación de calor gracias a la menor velocidad y al suministro constante de potencia, tanto con fresas de carburo como de polímero de vidrio.
  • Acabado y pulido: las principales ventajas de utilizar contra-ángulos multiplicadores son la precisión, la comodidad y una clara visión del campo para el acabado de preparaciones conservadoras, para restauraciones directas y para la eliminación del cemento sobrante de restauraciones cerámicas o de restauraciones indirectas con materiales compuestos cementados con resina, sobre todo, cuando es necesario realizar un acabado de preparaciones subgingivales y equigingivales, en un caso ideal, con fresas de acabado de carburo con punta pasiva. Para el pulido, es más fácil lograr una apariencia muy lisa y brillante; sobre todo, si la rotación controlada de los contra-ángulos de baja velocidad puede registrar menos de 10000 r.p.m. con o sin irrigación. Para ello, se recomiendan las puntas de silicio diamantadas de diferentes formas, los cepillos de carburo de silicio u otro tipo de discos de abrasión controlada o herramientas rotatorias de baja velocidad.

¿Cómo evaluaría la precisión con la que puede guiarse la fresa mediante el uso del contra-ángulo en comparación con las turbinas?

DDS Hernández Delgado: Es difícil apreciar clínicamente la posición del eje de rotación de las fresas cuando se usan con turbinas o con contra-ángulos multiplicadores. No obstante, pueden utilizarse dos criterios fáciles de observar para responder a esta pregunta: la observación durante un ejercicio de rotación fuera de la boca con una fresa de punta fina diamantada se puede mostrar que la posición de rotación de la propia punta es más concéntrica en los contra-ángulos multiplicadores que en las turbinas.

El segundo criterio está relacionado con el resultado: la limpieza y la continuidad de la línea de acabado, especialmente con los dispositivos de impresión óptica CAD/CAM, establece un parámetro de comparación útil, ya que –una vez más, en mi propia experiencia– un contra-ángulo multiplicador impulsado por un micromotor eléctrico también es superior en este criterio.

¿Le parece que el uso del sistema tiene alguna desventaja? ¿Hasta qué punto cree que sus desventajas superan las ventajas clínicas?

DDS Hernández Delgado: Las desventajas serían las siguientes: falta de formación en lo relativo a esta tecnología en la mayor parte de las instituciones académicas donde se imparte odontología, como, por ejemplo, en México. Debe manejarse un peso adicional durante la preparación (algo a lo que hay que acostumbrarse con la práctica). Las unidades de control integradas son difíciles de instalar en el sillón odontológico. Las unidades de mesa son mucho más fáciles de instalar, pero requieren un espacio adicional para el equipamiento eléctrico y la unidad de control.

Para la mayoría de los usuarios, la adquisición de cualquier equipamiento adicional para el mantenimiento adecuado de los contra-ángulos, como los dispositivos de lubricación automática y los equipos de limpieza, no está dentro de las posibilidades iniciales de inversión, especialmente para quienes se inician en el uso de un sistema eléctrico.

Otros comentarios:

DDS Hernández Delgado: Por ejemplo, en México, cada vez más profesionales buscan oportunidades para recibir formación en el uso de un sistema eléctrico. Y lo puedo asegurar, porque he realizado más de 300 cursos educativos, así como actividades formativas centradas en las prótesis.
El excelente rendimiento y el fácil manejo del micromotor eléctrico hacen que sea más fácil transmitir las ventajas que aporta el uso de esta tecnología. La demostración que he realizado en varios cursos y exposiciones incluye la preparación de bloques de mármol y algo muy similar a la prueba de la moneda (se muestra la eliminación de restauraciones y la realización de preparaciones en piezas dentales naturales), pero una buena fresa mejora la eficacia de la preparación y de la eliminación de los materiales.

En estudios recientes, se ha evaluado y demostrado que existe una correlación intrínseca del área lineal de la preparación, de la adaptación marginal y del margen de error entre las restauraciones CAD/CAM. Cuanto mayor sea el área lineal de la línea de acabado, mayor será el margen y la probabilidad de dejar huecos y, con ello, la formación de caries alrededor de la restauración, que, en el seguimiento realizado a los 5 años, muestra una incidencia del 6 %. Cita pendiente de publicación.


Preparación dental para un tratamiento CAD/CAM

Micromotor eléctrico EM-12 L combinado con un contra-ángulo multiplicador W&H Synea WK-93 LTS.
Micromotor eléctrico EM-12 L combinado con un contra-ángulo multiplicador W&H Synea WK-93 LTS.
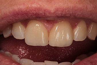
Preparación para las carillas CAD/CAM
Preparación para las carillas CAD/CAM
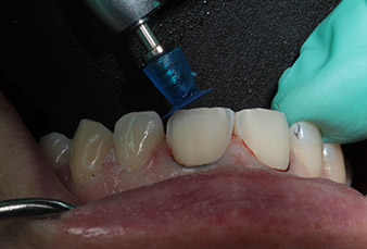
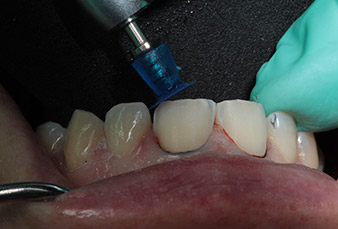
Pulido de la preparación antes del escáner
Pulido de la preparación antes del escáner
 Impresión digital por medio de un escáner intraoral
Impresión digital por medio de un escáner intraoral
Prueba de la carilla antes de la cementación
Prueba de la carilla antes de la cementación
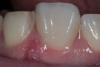
Vista inmediatamente después de la intervención
Vista inmediatamente después de la intervención
Acabado de las restauraciones y eliminación del cemento sobrante
Acabado de las restauraciones y eliminación del cemento sobrante

comentarios