Reports & Studies

Piezosurgery – a universal principle for diverse indications

In the age of minimally invasive treatment, dental surgeons and oral and maxillofacial surgeons are increasingly using piezoelectric devices to prepare bone tissue. The technology is based on ultrasonic surgery and is ideal for atraumatic preparation of hard tissue.

The physical principle behind what is referred to as the piezoelectric effect is that quartz vibrates when an electric current is applied. Special transducers convert the vibrations generated in the quartz into oscillations of the working tip, which in this case enables selective ablation of tissue in ultrasonic surgery. This procedure has been standard in various fields of surgery for many decades.

W&H Piezomed

The great advantage of piezosurgery in dentistry is that it is selective for calcified materials such as bone and teeth. While the surrounding soft tissue absorbs the vibration of the (generally) metallic working attachments and vibrates with the working tip, calcified tissue is selectively ablated for preparation specifically of bone. This offers significant advantages for various indications which require atraumatic bone preparation in the immediate vicinity of important soft-tissue structures such as nerves, gingiva and even the mucous membrane in the sinus cavity.

Piezoelectric devices have other clinical advantages in comparison with oscillating saws or even rotary milling cutters. For example, the minimal deflection of the tip enables extremely precise preparation of osteotomy gaps. When using rotary milling cutters and even oscillating saws, the initial definition of the osteotomy line is particularly difficult, and this commonly results in discrepancies between the planned and the actual course of the osteotomy. In addition, rotary instruments require a certain degree of stability to resist the shearing forces that occur during rotary ablation. Compared to piezosurgery, this results in significantly wider preparation defects followed by loss of bone tissue, which may then require augmentation (Lakshmiganthan, Gokulanathan et al. 2012).

Another problem with rotary instruments is the possibility of unintentional deflection as a result of tilting or even simply drifting across the preparation surface. Particularly when working close to adjacent teeth and nerves, a piezoelectric attachment can help to improve surgical safety and reduce the risk of injuring neighbouring structures (Pereira, Gealh et al. 2014).

Another important property of piezoelectric devices that further encourages their use is the possibility of using instruments to redirect the preparation vibrations. For example, retrograde preparation of an apical resection with microhead contra-angle handpieces is a complex process that requires the formation of extended flaps and bone access cavities. This can be done very elegantly using piezoelectric devices by redirecting the vibration energy within the application tip. The resulting reduced preparation of hard and soft tissue allows smaller accesses and thus reduces perioperative morbidity of patients following apical resection.

While piezoelectric surgery used to be considered a time-consuming procedure, the latest generation of devices has significantly improved cutting and ablation performance. The development of the innovative Piezomed device by W&H incorporates significant advances in the working tips and the general transmission energy compared to conventional performance parameters. The device also offers a 15-second power boost for short-term performance optimization to activate additional reserves and further increase ablation performance. The system also improves handling with an automatic system for detecting instrument tips, which defines the optimal settings for the specific instrument. Piezomed also provides optimal illumination of the surgical site with multiple LED lights integrated into the handpiece, providing a good view even into the posterior jaw region.

Indication: Sinus lift

Preparation of the lateral window during an external sinus floor elevation is challenging, particularly for implantologists with little surgical experience. Removal of the bone cover of the sinus without injuring the underlying Schneiderian membrane is only part of the operation – after establishing an adequate access, the membranous lining of the sinus must be carefully mobilized to make space for the augmentation materials or the implants. Piezosurgery is useful for this indication in two ways: diamond-coated instruments can be used for selective bone ablation and the underlying mucous membrane remains intact when the procedure is done carefully. The ultrasonic frequencies also enable detachment of the mucous membrane without complications – the frequencies are transmitted into the space between the mucous membrane and sinus floor by special blunt attachments (Cassetta, Ricci et al. 2012, Pereira, Gealh et al. 2014) (Rickert, Vissink et al. 2013). As a result, it is not surprising that current reviews of external sinus floor elevation positively evaluate the use of piezoelectric devices as well as the use of roughened implant surfaces and bone replacement materials (Wallace, Tarnow et al. 2012).

Pictures clinical cases


Indication: Bone harvesting

Autologous bone transplants are used in the form of blocks, shells, rings and are also combined with bone replacement materials as chips. If the implant site is prepared at the same time as the augmentation, various bone filter systems have proven effective for collecting the resulting bone chips. As an alternative, the implant site can be prepared using a low-speed device without irrigation. If an implant is not inserted, bone chips can be harvested from the periphery with bone scrapers. This is also possible with piezosurgery using specialized attachments that yield higher-quality bone chips than chips harvested with round drills, as has been confirmed in a study comparing the two methods (Chiriac, Herten et al. 2005).

Piezosurgery has additional advantages when harvesting bone blocks. In addition to the high precision with osteotomy described above, the use of the thin saw tips specifically minimizes loss of material. Greater loss of material during harvesting can be expected with the thicker instrument tips, particularly when using Lindemann drills (Lakshmiganthan, Gokulanathan et al. 2012). The basal separation, which is necessary particularly for retromolar block transplants, is simplified by specially designed rectangular saws, with the result that piezosurgery is viewed as a precise, simple and safe procedure for harvesting retromolar bone blocks (Happe 2007) (Fig. 1-12).


Indication: Bone splitting

Bone tissue is not simply a mineral structure but also contains a substantial proportion of collagen fibres. This means it not only has good compressive strength but also a degree of flexibility, which can be taken advantage of when performing bone augmentations. In the classical expansion procedure using bone splitting, the atrophied alveolar ridge is split longitudinally and carefully expanded after reaching an adequate osteotomy depth (Fig. 13-16), ideally without substantial removal of the periosteum (Brugnami, Caiazzo et al. 2014, Stricker, Fleiner et al. 2014). Screw and plate systems with increasing expansion distance have proven effective in separating the two bone lamellae while remaining below the fracture threshold. In general, residual bone widths of at least 3–4 mm are required (Chiapasco, Zaniboni et al. 2006) to guarantee adequate flexibility and sufficient bone coverage of the future implants. If necessary, a vertical relief osteotomy on one or both sides can improve flexibility. A combination with additional augmentation techniques, particularly on the buccal side, has been described as an alternative to the classical technique.

The splitting procedure is particularly atraumatic and there is no significant loss of dimension when using piezosaws, and there are no significant differences between implants in split jaws and implants in an alveolar ridge without a bone deficit (Chiapasco, Zaniboni et al. 2006, Danza, Guidi et al. 2009). However, sufficient continuous irrigation is essential, particularly with locally restricted and deep splitting to prevent thermal stress in the apical osteotomy regions.


Indication: Preparation near nerves

As noted above, indications for piezosurgery can also be found in the field of conservative dental surgery. Special working tips simplify the exposure of root tips and make it easier to protect nerves and sinus mucous membranes, particularly in the lower premolar and upper posterior tooth regions. Angled diamond tips are used to precisely prepare the resection cavity for the retrograde root filler material for unsealed apical obturation. The ultrasonic technology means the tips can be very slender, which improves the view and the size of the access cavity. As a result, the application of ultrasonic surgery for this indication is one of the standard procedures for apical resection (Del Fabbro, Tsesis et al. 2010, Scarano, Artese et al. 2012).


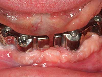
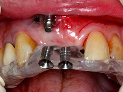
Indication: Apical resection

When surgical procedures are performed on bone in the immediate vicinity of sensitive structures such as blood vessels or nerves, rotary instruments pose a significant risk of iatrogenic injury. Piezoelectric devices can be helpful for preparation of bone covers and removal of hard tissue close to nerves, particularly for exposure of nerves after iatrogenic injury but also during nerve lateralization for resective and reconstructive procedures or implant placement (Fig. 17-20). Light contact between the piezotip and the nerve does not generally result in damage but proceeding incautiously with saw-like motions or attachments where a residual bone substrate remains may cause temporary or even permanent nerve damage. However, the risk of damage is considered to be substantially lower than when using saws or milling instruments (Pereira, Gealh et al. 2014).


Indication: Periodontal therapy

Marginal periodontal diseases are the main reason for extractions in advanced age. These diseases are primarily caused by bacterial colonization of the gingival pocket, which causes inflammation followed by loss of the periodontium. The formation of subgingival biofilms and concrements is a significant aetiological factor for marginal bone atrophy, so their removal is an important part of the treatment (Drisko 2014, Plessas 2014).

Initial and surgical treatment phases are differentiated in the treatment of marginal periodontitis. In addition to instruction in oral hygiene and motivating patients, both phases should include adequate cleaning of the root surface. In the regenerative setting an open access is generally preferred. The root surface can be cleaned by piezosurgery using special attachments, where instruments with different curvatures are used to reach areas that are difficult to access, such as furcations. The integrated irrigation in the system flushes the detached concrements and bacteria out of the pocket. Specialized systems such as the Piezomed also include application feedback to minimize the ablation of hard dental substance. The greater the pressure on the periodontal attachment the greater the reduction in the amount of ablation.


Additional indications

As shown in the past, basically any bone surgery procedure represents a possible indication for piezosurgery. Thus preparation of the mobile segment in distraction osteogenesis (Fig. 23-25) and sandwich osteotomy uses special attachments without endangering the blood supply to the crestal section, which is essential for the success of both techniques (Gonzalez-Garcia, Diniz-Freitas et al. 2008).

For removal of an implant, a vestibular bone cover that is replaced after removal of the implant screw can be prepared to retain the contour of the alveolar ridge.

There are additional applications in sinus surgery. Pathologies and foreign bodies can be removed from the sinus after concentric preparation of a generally trapezoid bone cover in the facial sinus wall. The bone cover is repositioned on conclusion of the intra-antral operation component and secured by wedging or adaptive sutures to prevent dislocation.

Purely orthodontic indications include orthognathic surgery, genioplasty (Fig. 27-30) and orbital decompression in patients with advanced endocrine orbitopathy as a result of Basedow’s disease (Ponto, Zwiener et al. 2014). Piezo devices are also used in maxillofacial surgery and to remove tumours at the base of the skull in various hospitals.

Special soft tips for peri-implantitis therapy are opening up new prospects in dentistry. They are the subject of current research and initial results are very promising.


Conclusion

In conclusion, it is clear that piezosurgery is suitable for a wide range of dental indications. The increased interest in piezosurgical procedures is primarily due to the ease of handling and the selectivity for ablation of bone tissue with increased safety during surgical procedures on bone. They also offer a high degree of precision, which is particularly advantageous where space is restricted. The use of multiple tips and settings designed for the specific indication enables coverage of quite different areas, and as a result the devices have now become routine manual instruments in many practices and hospitals.

Daniel Rothamel, Arndt Happe, Tim Fienitz, Matthias Kreppel, Jörg Neugebauer, Joachim E Zöller


Priv.-Doz. Dr. Dr. Daniel Rothamel
daniel.rothamel@uk-koeln.de
www.uk-koeln.de

Priv.-Doz. Dr. Dr. Daniel Rothamel

  • 1996-2001 Dental Studies, Heinrich-Heine-Universität, Düsseldorf
  • 2003 Foreign Development Assistance, SKM Hospital,Sankhu, Kathmandu, Nepal
  • 2004 Promotion to Dr. med. dent.
  • 2001-2007 Human Medicine Studies, Heinrich-Heine-Universität, Düsseldorf
  • 2002-2008 Oral Surgery Training at the University of Düsseldorf (Prof.Dr. J. Becker)
  • 2007 Medical State Examination
  • DAAD Post-doctoral Fellowship, University of Sydney, Australia
  • 2008 Promotion to Dr. med.
  • 2008-2013 Maxillofacial Surgery Training, University Hospital of Cologne (Prof. Dr. Dr. J. Zöller)
  • 2009 Habilitation and award of post-doctoral lecturing qualification (topic: reconstruction of jaw defects)
  • 2013 to present: Chief Consultant at the Clinic for Maxillofacial Surgery

Pictures clinical cases

Fig. 1: Preparation of a bone cover with the Piezomed (W&H Salzburg, Austria).
Fig. 2: Vertical and horizontal lateral maxillary defect with a high smile line with indication for pre-implant reconstruction.
Fig. 3: Basal separation of the block is easier with specially angled attachments.
Fig. 4: Additional autologous bone chips are harvested with the bone scaler.
Fig. 5: Checking the block size at the recipient site.
Fig. 6: After preparation of a mucoperiosteal flap, access to the maxillary sinus is prepared piezoelectrically.
Fig. 7: The initial preparation of the sinus mucous membrane can also be performed ultrasonically.
Fig. 8: After the sinus lift the crestal bone splint is fixed to the defective alveolar ridge.
Fig. 9. Lining with bovine bone replacement material (Cerabone 0.5–1 mm, Botiss Bio-materials, Berlin) and autologous bone (palatal view).
Fig. 10: Coverage of the augmented region with a long-term stable pericardial membrane (Jason collagen membrane, Botiss).

Fig. 11: The postoperative panoramic image shows the vertical augmentation and sinus floor elevation.
Fig. 12: After six months of healing, the alveolar ridge is vital and sufficiently dimensioned in all planes.
Fig. 13: Adequate irrigation with the 4-mm residual bone width is essential for this 52-year-old patient during the bone splitting.
Fig. 14: Placement of four tapered RSX implants (Bego Implant Systems, Bremen).
Fig. 15: The one-year follow-up x-ray examination shows stable conditions at the bone level.

Fig. 16: The intraoral conditions are also stable with embedding of the implants in keratinized gingiva.
Fig. 17a: CT image of a growth-promoting osteotomy immediately adjacent to ...
Abb. 17b: the alveolar duct with nerve irritation (lateral and coronal view).
Fig. 18: Preparation of a cortical cover with the piezo bone saw (Piezomed, W&H).

Fig. 19: Surgical site after neurolysis and removal of osteoma.
Fig. 20: The removed bone cover is re-adapted and fixed with an osteosynthesis screw (KLS Martin, Tuttlingen).
Fig. 21: Extended maxillary anterior-tooth defect with indication for distraction osteogenesis with scar tissue after prior operation.
Fig. 22: The mobile segment can be precisely separated with the thin osteotomy saw (W&H Piezomed).
Fig. 23: Final mobilization of the palatally branched distraction segment with the chisel.

Fig. 24: Application of the distractor (TRACK-System, KLS Martin).
Fig. 25: Panoramic image after reaching the final distraction height, before consolidation period.
Fig. 26: Stable conditions before implant placement after a consolidation period of four months.
Fig. 27: 21-year-old patient after conversion osteotomy with persistent retrognathy with class II dysgnathy.
Fig. 28: During removal of metal, the basal chin regions are separated with the Piezomed while retaining the lingual blood supply.
Fig. 29: Forward displacement of the chin by 5 mm and fixation with two osteosynthesis plates (KLS Martin). The two mental nerves can be detected in the marginal region.
Fig. 30: The aesthetic improvement in the chin contour after the operation can be clearly seen.

comments