Reports & Studies

The healthy patient with pre-existing periodontal disease & peri-implantitis

Introduction

The bidirectional relationship between oral and general medical health is very well known. It is no longer sufficient – and arguably even old-fashioned – to consider intraoral conditions in isolation. In order to create a personalised, case-specific preventive and patient profile, it is essential to take a detailed medical history and perform diligent examination of the general medical and intraoral health, as well as considering the two in combination (1–3).
Careful consideration of individual patient parameters facilitates the creation of a risk profile that optimally supports the maintenance of good health and patient quality of life. Moreover, the risk profile offers dentists a sense of assurance during planning.
This case presentation highlights the usefulness of a systematic, individual prevention concept when creating a case-specific patient profile and implementing the resulting treatment measures.

Case description

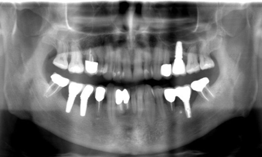
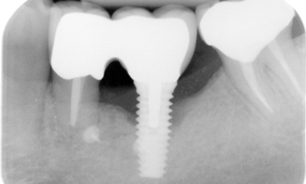
A 52-year-old patient presents at a preventive care session. The patient has no systemic disease and is not taking any medication. He has had various dental treatments and also has two active carious lesions. In addition, the patient has four implants (2nd, 3rd and 4th quadrants). He is revealed to have early periodontal disease (stage IV, grade B). His periodontal condition is stable; a probing depth of Probing depths (ST) of 5 mm is only evident at the implant in region 36. Gingivitis is also identified.

Periodontal status (ParoStatus®.de)
Fig. 1: Periodontal status (ParoStatus®.de)
Periodontal risk assessment according to Lang and Tonetti: medium risk
Fig. 2: Periodontal Risk Assessment according to Lang and Tonetti: medium risk

Case analysis according to IPC

Medical history: unremarkable
Risk factors: none
Risk of contracting disease or of complications: none
Medication: none
Lifestyle: unremarkable
Oral health: stable
Previous treatments: multiple ceramic restorations, four implants (2nd, 3rd, 4th quadrants)
Caries risk assessment: elevated; active initial lesions present
Periodontitis: moderate risk, already established (stage IV, grade B); currently stable condition in reduced periodontium
Risk of onset: high for peri-implantitis, moderate for caries
Risk of progression: high for peri-implantitis, moderate for periodontitis, moderate for caries

Recommended treatment according to IPC

IPC cycle icon: magnifying glass

The patient has no particular risk factors with specific dental implications in his medical history. The key factor, therefore, is the requirement in terms of oral health. In this respect, there is evidence of a probing depth of 5 mm at the implant in the 3rd quadrant and, on the X-ray image, increased bone loss. The patient also has currently stable early periodontal disease and two active initial carious lesions.

IPC cycle icon: speech bubbles

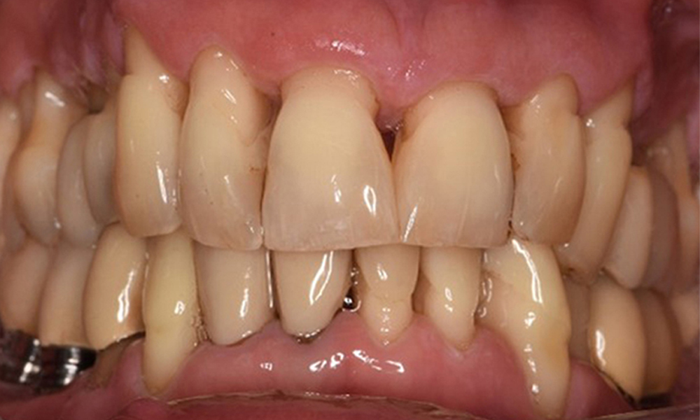
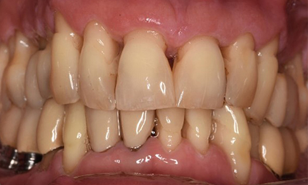
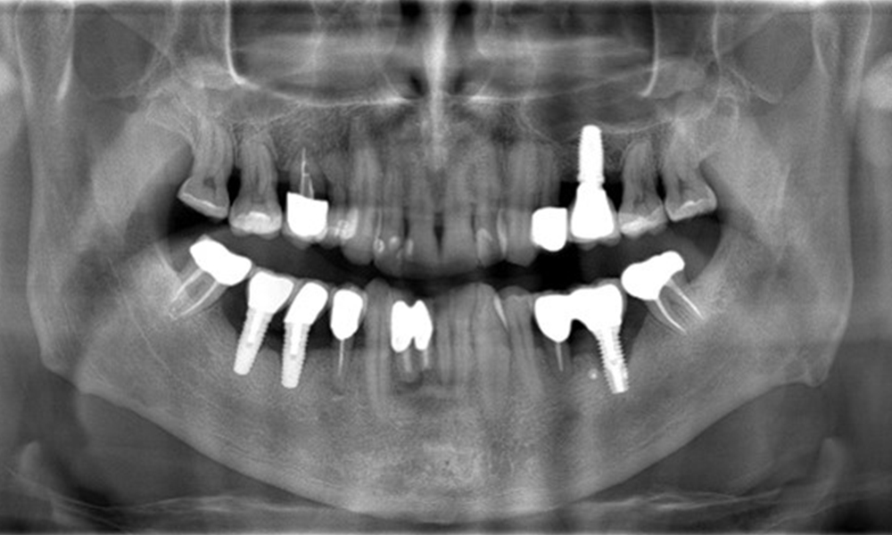
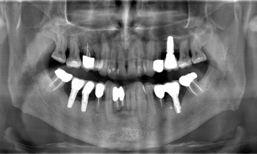
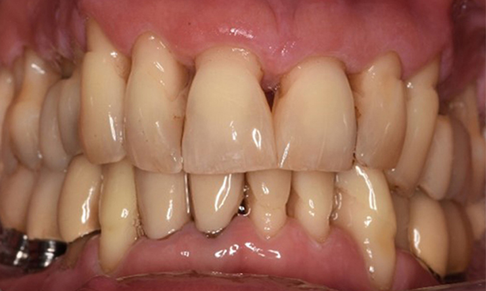
Oral hygiene and patient compliance are very good (see picture “front view”). All that is required is repeat instruction and motivation to maintain oral hygiene behaviour.

IPC cycle icon: prophylaxis instruments

In terms of instruments, specific procedures are required for use with implants. In order to preserve the surface of the implant while cleaning it effectively, it is essential to choose suitable powders and instruments, such as the targeted use of air polishing devices with special periodontal tips. Which powder is most suitable can be determined according to the needs and risk. For example, in addition to the appropriate degree of abrasion, dietary requirements (including sugar-free, low-salt) may also be taken into account.

IPC cycle icon: tooth

The use of fluoridated varnish is recommended for the exposed root surfaces and initial carious lesions.

IPC cycle icon: calendar sheet

Because of the history of periodontal disease and peri-implantitis, check-ups initially every three to four months following successful treatment for peri-implantitis are recommended.

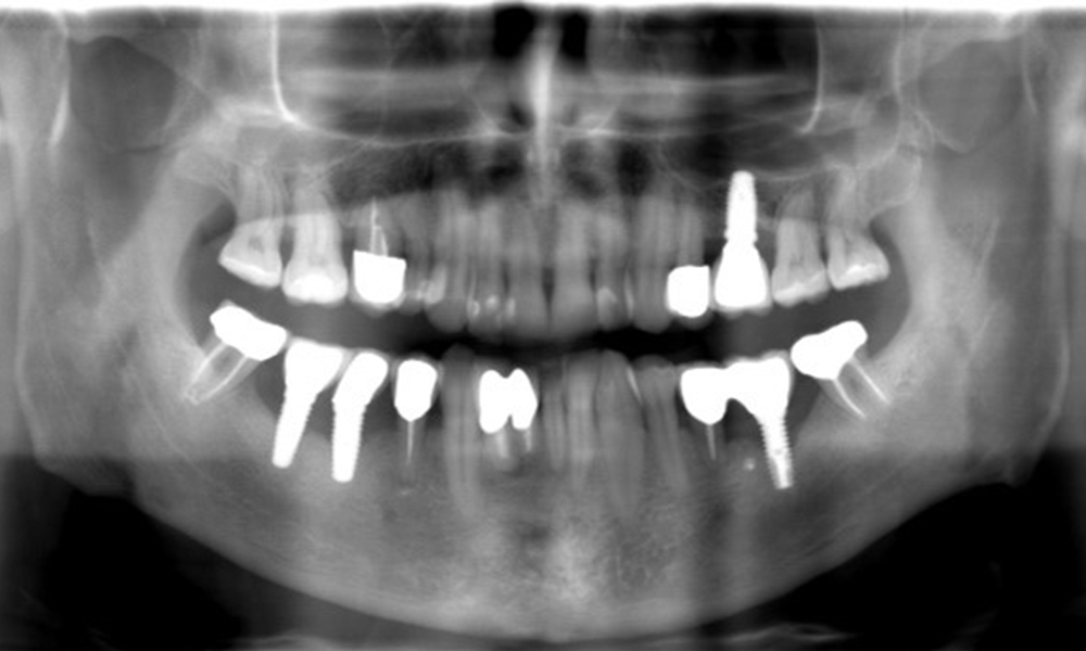
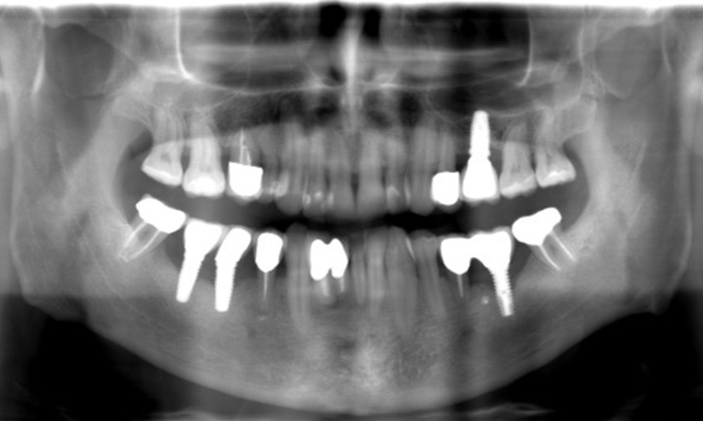
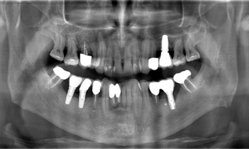
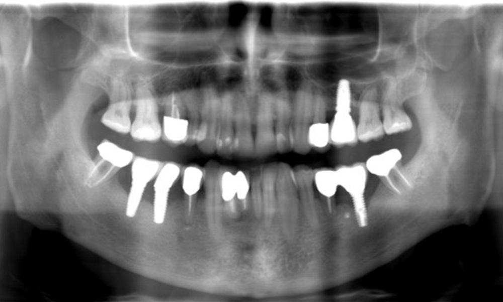
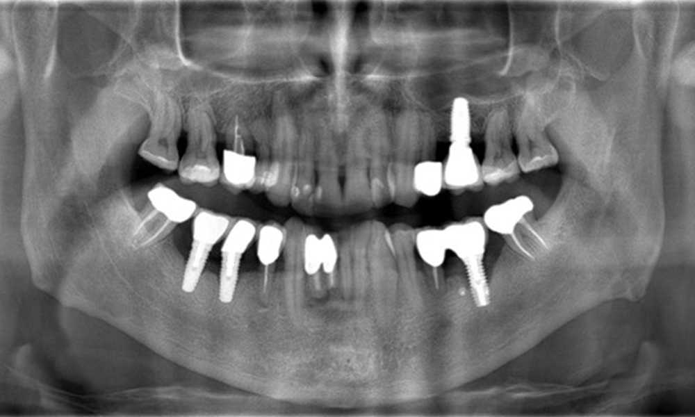
The X-ray images show the progression of bone loss.
The X-ray images show the progression of bone loss. OPG from 29.06.2020 (left) and OPG from 26.02.2024 (right).
OPG: 26/02/2024 Dental X-ray: 18/01/2024
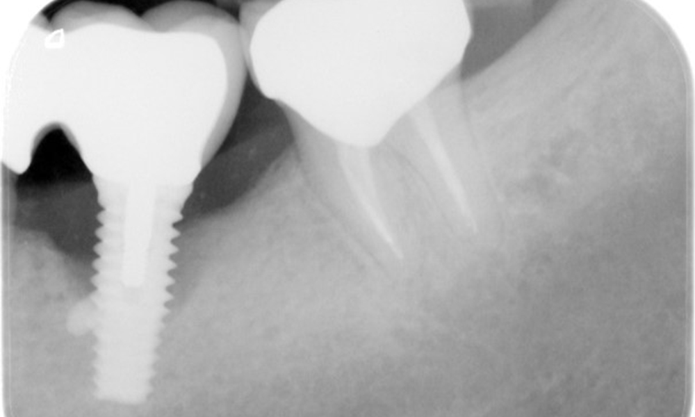
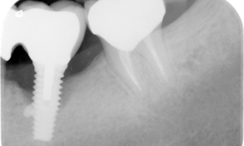
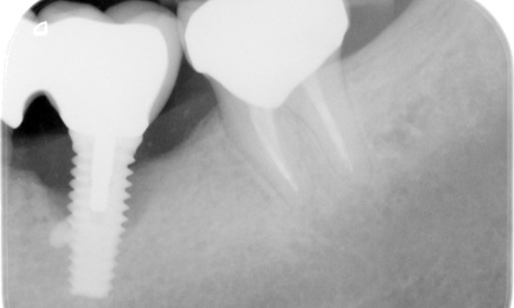
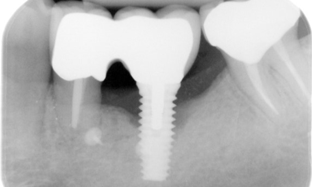
The X-ray images show the progression of bone loss.
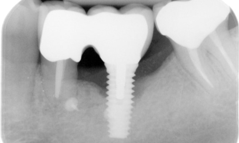
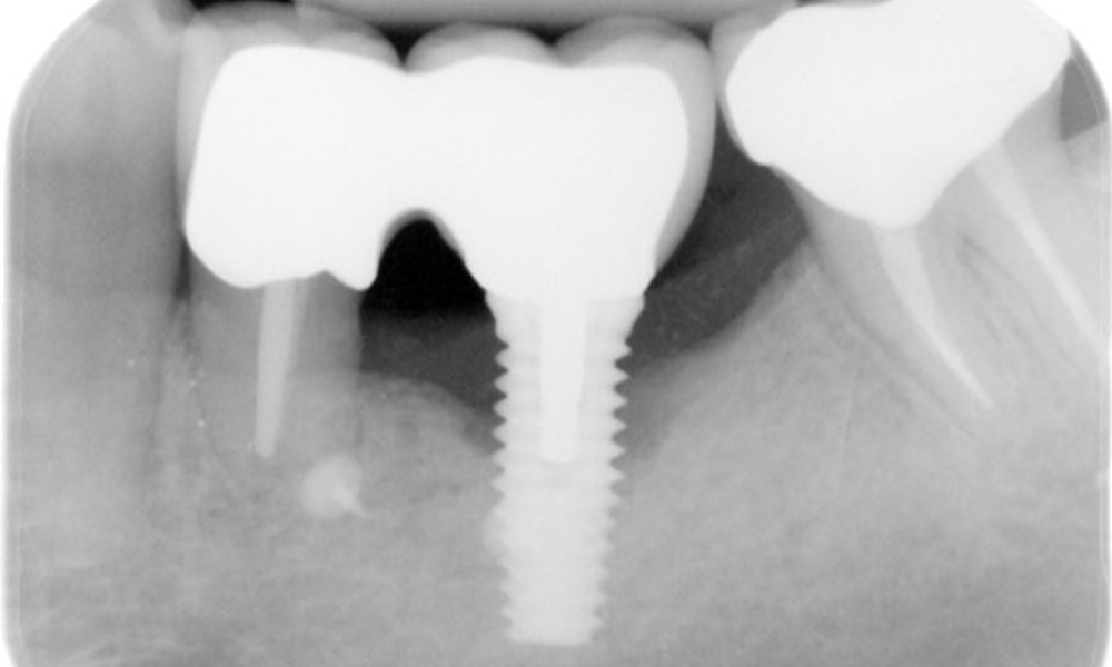
The X-ray images show the progression of bone loss in the area of the implant in region 36: dental film from 11.02.2021 (left) and dental film from 18.01.2024 (right).
OPG: 26/02/2024 Dental X-ray: 18/01/2024
Front view of dentition (upper and lower jaw)
Front view

PD Dr. G. Schmalz, MSc
Prof. Dr. D. Ziebolz, MSc

Bibliography

  1. Schmalz G., Ziebolz D., Individualisierte Prävention-ein patientenorientiertes Präventionskonzept für die zahnärztliche Praxis, ZWR- Das deutsche Zahnärzteblatt 2020;129;147-156
  2. Schmalz G., Ziebolz D., Individualisierte Prävention-fallorientierte Bedarfsprävention, ZWR- Das deutsche Zahnärzteblatt 2020;129;33-41
  3. Schmalz G., Ziebolz D., Individualisierte Prävention-Implikation allgemeingesundheitlicher Faktoren, ZWR- Das deutsche Zahnärzteblatt 2019;128;295-304
  4. Bansal M, Rastogi S, Vineeth NS. Influence of periodontal disease on systemic disease: inversion of a paradigm: a review. Journal of medicine and life. 2013;6(2):126-30.
  5. Si Y, Fan H, Song Y, Zhou X, Zhang J, Wang Z. Association Between Periodontitis and Chronic Obstructive Pulmonary Disease in a Chinese Population. Journal of Periodontology. 2012;83(10):1288-96.
  6. WHO. Oral Health [Fact sheet]. WHO International Newsroom2020 [cited 2020 25.03.2020]. Available from: https://www.who.int/news-room/fact-sheets/detail/oral-health.
  7. Seitz MW, Listl S, Bartols A, Schubert I, Blaschke K, Haux C, et al. Current Knowledge on Correlations Between Highly Prevalent Dental Conditions and Chronic Diseases: An Umbrella Review. Preventing chronic disease. 2019;16:E132.
  8. Papapanou PN, Sanz M, Buduneli N, Dietrich T, Feres M, Fine DH, et al. Periodontitis: Consensus report of workgroup 2 of the 2017 World Workshop on the Classification of Periodontal and Peri-Implant Diseases and Conditions. J Periodontol. 2018;89 Suppl 1:S173-S82.
  9. Chapple IL, Bouchard P, Cagetti MG, Campus G, Carra MC, Cocco F, et al. Interaction of lifestyle, behaviour or systemic diseases with dental caries and periodontal diseases: consensus report of group 2 of the joint EFP/ORCA workshop on the boundaries between caries and periodontal diseases. J Clin Periodontol. 2017;44 Suppl 18:S39-S51.
  10. Cao R, Li Q, Wu Q, Yao M, Chen Y, Zhou H. Effect of non-surgical periodontal therapy on glycemic control of type 2 diabetes mellitus: a systematic review and Bayesian network meta-analysis. BMC oral health. 2019;19(1):176.

comments