Berichte & Studien

Der 28-jährige Raucher mit Zahnerosionen

Einleitung

Schon lange ist bekannt, dass ein bidirektionaler Zusammenhang zwischen Mund- und
Allgemeingesundheit besteht. Eine alleinige Betrachtung der oralen Situation ist nicht ausreichend und nicht mehr zeitgemäß. Die genaue Anamnese und Befundung von Allgemeingesundheit und Mundgesundheit sowie deren gemeinschaftliche Betrachtung sind unabdingbar um ein individuelles, fallorientiertes Präventions- und Patientenprofil zu erstellen (Abb. 1). (1-3)

Schematische Darstellung des fallorieintierten Patientenprofils welches sich aus Allgemeingesundheit und  Mundgesundheit erstellen lässt. Nach Lang & Tonetti.
Abb. 1 Schematische Darstellung des fallorieintierten Patientenprofils welches sich aus Allgemeingesundheit und Mundgesundheit erstellen lässt. Nach Lang & Tonetti.

Durch Berücksichtigung und Betrachtung der individuellen Patientenparameter lässt sich ein
Risikoprofil erstellen, welches dabei hilft, den Erhalt der Gesundheit und der Lebensqualität des Patienten optimal zu unterstützen und auch dem Behandler eine Planungssicherheit zu geben.
Anhand der vorliegenden Fallpräsentation kommt die Systematik des individuellen
Präventionskonzepts zur Erstellung eines fallorientierten Patientenprofils und sich daraus
ergebendenTherapiemaßnahmen zur Anwendung.

Anamnese

Im folgenden Fall wird ein 28-jähriger Patient vorgestellt. Laut eigenen Angaben war der Patient im Jugendalter Leistungssportler. Er gibt an früher bis zu 3-4 Liter isotonische Getränke getrunken zu haben über den Tag verteilt. Seit ca. einem Jahr hat er dies eingestellt. Heute trinkt er Wasser sowie Schwarztee.
Allgemeinmedizinisch zeigt der Patient keine Grunderkrankungen. Er berichtet im Frühjahr an
Heuschnupfen zu leiden, je nach Bedarf nimmt er saisonbedingt Antiallergika ein. An Asthma leider
der Patient nicht. Der Patient ist Raucher mit bis zu 10 Zigaretten pro Tag seit 8 Jahren.
Der Patient pflegt 2x pro Tag seine Zähne mit einer elektrischen Zahnbürste und nimmt 1x täglich
Interdentalbürstchen für die Zahnzwischenräume. Der Patient legt viel Wert auf seine Zähne. Er
befindet sich in der präventiven Nachsorge und kommt 3x jährlich in die Praxis.

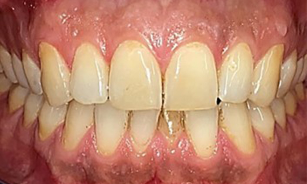
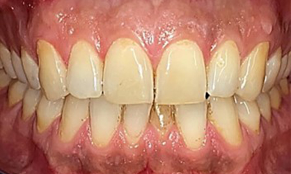
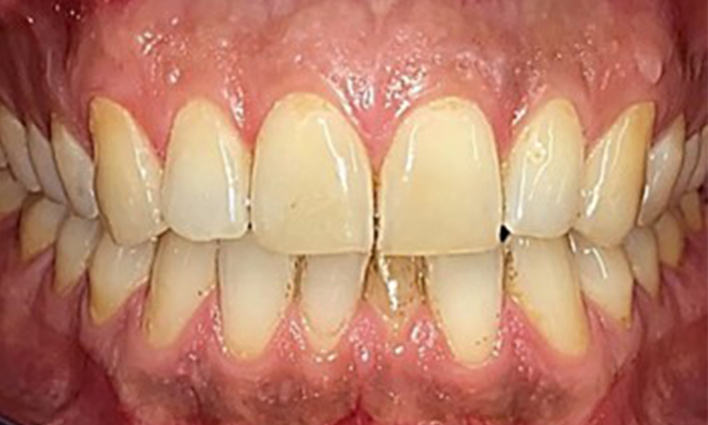
Frontalansicht
Abb. 2 Frontalansicht, © Dr. R. Krapf
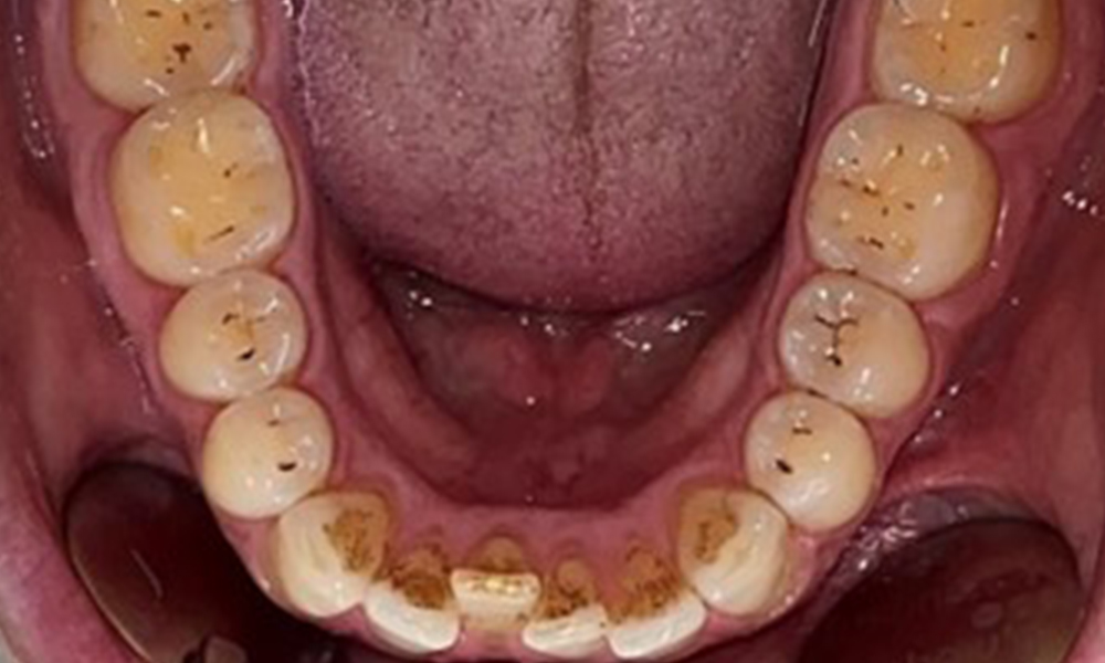
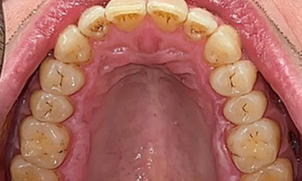
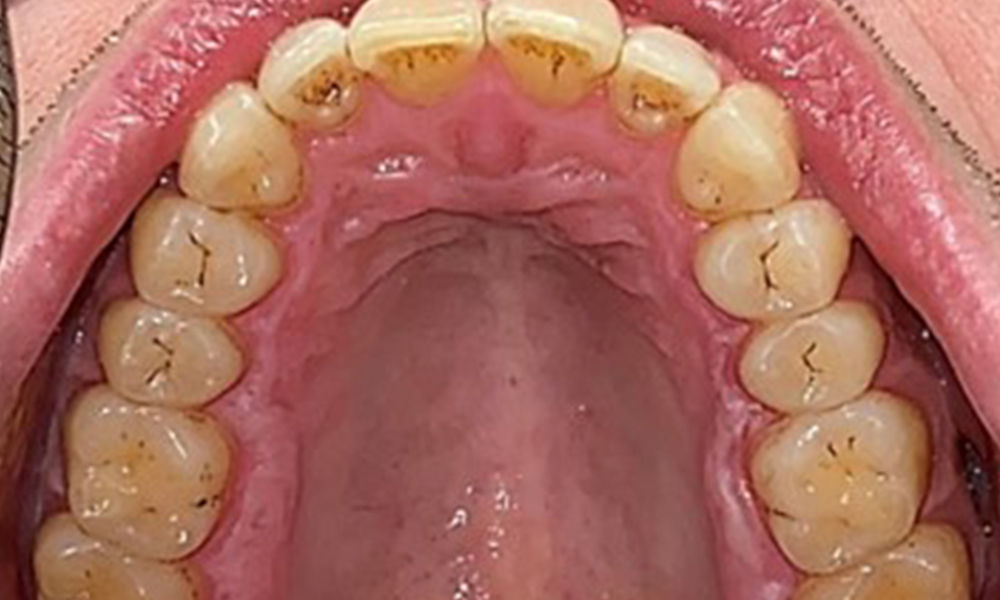
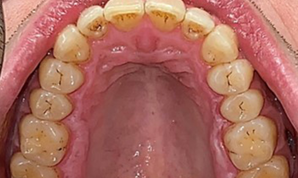
Okklusalansicht Oberkiefer
Abb. 3: Okklusalansicht Oberkiefer, © Dr. R. Krapf
Okklusalansicht Unterkiefer
Abb. 4: Okklusalansicht Unterkiefer, © Dr. R. Krapf

Extra- und Intraoraler Befund

Extraoral sind keine pathologischen Befunde festzustellen, intraoral zeigen sich bei der Frontalansicht im Bereich der keratinisierten Gingiva und am Übergang zur beweglichen Schleimhaut bräunlicheVerfärbungen (Abb. 2), welche auf den Nikotingenuss zurückzuführen sind. Am Gaumenbereich zeigen sich insbesondere im Bereich Oberkiefermolaren palatinal weißliche Schleimhautveränderungen, die ein Hinweis auf einen erhöhten Verhornungsgrad sind und ebenso auf den Nikotingenuss zurückzuführen sind. Die Zunge ist mit einem weiß-bräunlichen abwischbaren Belag versehen.

Dentaler Befund

Dental zeigt sich ein vollbezahntes Gebiss mit 28 Zähnen. Auffällig sind Erosionen und Attritionen
(Abb. 4, Abb. 5). Der Patient trägt seit vielen Jahren nachts eine Schiene mit adjustiertem Aufbiss aufgrund Bruxismus. Die Erosionen sind auf den langjährigen Konsum isotonischer Getränke zurückzuführen. Parodontaler Knochenverlust und aktive kariöse Läsionen sind nicht vorhanden.

Parodontaler Befund

Die klinischen Sondierungstiefen liegen mit 1-3mm im physiologischen Bereich. Im Oberkiefer zeigen
sich von 13-16 sowie 23-27 Rezessionen bis 1mm. Der BOP liegt bei 15%.

Nahaufnahme der Zähne
Abb. 5: Nahaufnahme der Zähne 45-47. Grüne Pfeile zeigen Attritionen und Erosionen im Bereich der bukkalen Höcker mit partiellem Schmelzverlust, © Dr. R. Krapf

Radiologischer Befund

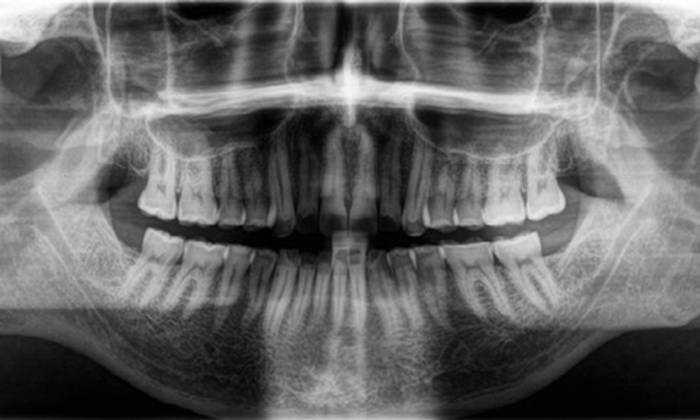
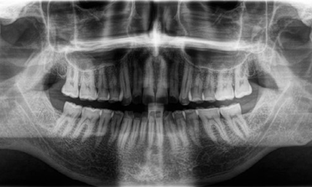
Es zeigt sich ein vollbezahntes, kariesfreies Erwachsenengebiss ohne radiologisch erkennbaren Knochenabbau (Abb. 6). Radiologischer Schmelz- und Höckerverlust sind insbesondere an 36 und 37 festzustellen.

Panoramaschichtaufnahme
Abb. 6: Panoramaschichtaufnahme, © Dr. R. Krapf

Behandlungsempfehlung nach dem individuellen Präventionskonzept

Entscheidend ist vor der Behandlung das individuelle Risikoprofil des Patienten zu beurteilen. Das individuelle Patientenprofil ergibt sich aus der allgemeinen Anamnese und der Mundgesundheit.

Aufgrund der allgemeinen Anamnese ist das Komplikationsrisiko während der Behandlung sowohl für Patient als auch Behandler als gering einzustufen. Das orale Erkrankungsrisiko ist derzeit aufgrund des Rauchens mit bis zu 10 Zigaretten pro Tag moderat einzustufen. Rauchen birgt ein erhöhtes
Parodontitisrisiko (4) und ein erhöhtes Risiko an karzinogenen Tumoren zu erkranken.

Aus Sicht der Mundgesundheit ist das Progressions- bzw. Entstehungsrisiko für eine
Verschlechterung des oralen Zustandes und der Ausbildung einer möglichen parodontalen
Erkrankung als mäßig einzustufen. Auch hier spielt das Rauchen einen ausschlaggebenden Faktor. Eine gute häusliche Mundpflege und eine konsequente regelmäßige professionelle Sitzung in der Zahnarztpraxis und einer motivierenden Ansprache sind ausschlaggebend für den Erhalt des stabilen Zustandes.

Behandlungsempfehlung nach individuellem Präventionskonzept

Unter Berücksichtigung des Rauchens hat der Patient ein moderates Erkrankungsrisiko und Entstehungsrisiko für orale Erkrankungen.
Aufgrund des guten allgemeinmedizinischen Zustandes ist der aus der Mundgesundheit ermittelte Bedarf maßgebend für die Behandlung. Die regelmäßige Erhebung der Sondierungstiefen ist unabdingbar. Die gingivale Blutung ist bei Rauchern herabgesetzt, weswegen die klinische
Diagnose einer Parodontitis nur durch Sondierung möglich ist (Abb. 7). Die ausschließliche Erhebung von Blutungsindizes verdecken unter Umständen das Bild einer bestehenden Parodontitis oder Gingivitis. (5)

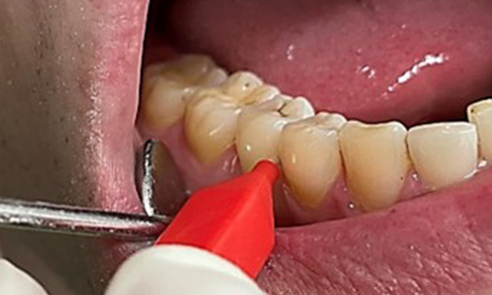
Taschensondierung (BOP) mit Darstellung der Rg. 36 lingual
Abb. 7 Taschensondierung (BOP) mit Darstellung der Rg. 36 lingual, © Dr. R. Krapf

Einmal jährlich ist ein ausführlicher Parodontalstatus zu erheben. Ein
Plaquebefund mit einem Anfärbemittel kann zur Motivation erhoben werden. Die Beurteilung der intraoralen Befunde, der Wangen und Zungenschleimhaut spielt insbesondere beim Raucher eine wichtige Rolle, um mögliche pathologische Veränderungen frühzeitig zu erkennen(6). Eine fotografische Dokumentation ermöglicht, den zeitlichen Verlauf einer potenziellen krankhaften Schleimhautveränderung zu beurteilen. Ggf. ist hier die Überweisung zu einem Spezialisten notwendig, um eine
Gewebeprobe durchführen zu lassen. Zudem stützen bildgebende Verfahren das Motivationsgespräch mit dem Patienten. Besserungen können im Verlauf der nachfolgenden Präventionssitzungen aufgezeigt
werden.

Instruktion & Motivation sind wichtige Bestandteile in der Sitzung. Gutes
häusliches Mundhygieneverhalten und – verständnis sind dem Patienten wichtig. Es zeigen sich insbesondere an den ZahnhalsbereichenPlaqueakkumulationen (Abb. 8).

Plaqueakkumulationen im Zervikalbereich
Abb. 8: Die Pfeile markieren Plaqueakkumulationen im Zervikalbereich, © Dr. R. Krapf

Diese sind mit dem Patienten zu besprechen und Verbesserungen in der Zahnputztechnik zu üben. Gerade aufgrund der Erosionen und Attritionen ist ein weicher Zahnbürstenaufsatz für die häusliche Mundhygiene anzuraten.

Zugleich ist es notwendig die Interdentalraumbürstchen, welche der
Patient täglich verwendet nach der richtigen Größe zu überprüfen und den Patienten zu bestärken diese konsequent zu benutzen (Abb. 9). Eine
gute Mundhygiene ist unabdingbar, um das Parodontitisrisiko durch das Rauchen zu minimieren.

 Anwendung der Interdentalbürstchen in Rg 44/45
Abb. 9: Anwendung der Interdentalbürstchen in Rg 44/45, © Dr. R. Krapf

Eine Motivation liegt weiterhin in der Zungenreinigung, um den Nikotinbelag und Bakterienbelag zu entfernen und dem möglicherweise daraus resultierenden Mundgeruch zu vermeiden.

Ein maßgeblicher Schwerpunkt liegt selbstverständlich auch darin eine Hilfestellung und motivierende Beratung zur gewünschten Verhaltensänderung bezüglich des Rauchens zu geben.

In der Instrumentierung der Therapiesitzung ergeben sich bezüglich der Methodenwahl aufgrund des gesunden Allgemeinzustandes des Patienten keine Einschränkungen. Gegebenenfalls ist in der Allergiephase individuell abzuklären, ob der Patient Einschränkungen beim Atmen hat. In diesem Fall ist abzuwägen, ob das Pulverstrahlgerät zum Einsatz kommen sollte.

Ziel ist es durch supra- und subgingivale Biofilmentfernung das Erkrankungsrisiko zu kontrollieren. Die Wahl der Instrumente erfolgt
bedarfsgerecht. Zunächst sind Zahnstein und ggf. Konkremente mit Ultraschall und / oder Handinstrumenten zu entfernen (Abb. 10).

Anwendung eines piezobetriebenen Ultraschallgerätes in Rg 36
Abb. 10 Anwendung eines piezobetriebenen Ultraschallgerätes in Rg 36 lingual (hier Proxeo Ultra, Firma W&H), © Dr. R. Krapf

Die Raucher- und Teeverfärbungen lassen sich mittels Pulverstrahl gut entfernen (Abb. 11).

Pulverstrahlanwendung im Bereich der UK Front lingual
Abb. 11 Pulverstrahlanwendung im Bereich der UK Front lingual (hier Proxeo Aura, Firma W&H), © Dr. R. Krapf

Bei Verwendung des höher abrasiven Pulvers ist dringend darauf zu achten von zervikal nach koronal zu arbeiten und die Auslassdüse niemals Richtung Gingiva zeigen zu lassen, um eine mögliche Emphysembildung zu vermeiden. Eine gegenüberliegende gute Absaugung ist unabdingbar zur Reduktion des Aerosols (Abb. 12).

Anwendung des Pulverstrahlgerätes vom Sulkus weg mit gegenüberliegender Absaugung
Abb. 12 Anwendung des Pulverstrahlgerätes vom Sulkus weg mit gegenüberliegender Absaugung, © Dr. R. Krapf

Weiterer Biofilm kann mittels niedrig abrasiven Glycinpulvern entfern werden. Nach Anwendung des höher abrasiven Pulvers ist eine Nachpolitur notwendig (Abb. 13).
Geeignete Polierpasten mit entsprechend schonenden RDA-Werten und unterschiedlichen Inhaltsstoffen verschließen und glätten Unebenheiten der Zahnoberfläche ohne Zahnsubstanz massiv abzutragen. Gleichzeitig
werden so natürliche und künstliche Besiedelungsnischen für die bakterielle Wiederanhaftung reduziert (7). Inhaltsstoffe der Polierpasten können zudem Substanzen zur unterstützenden Therapie beinhalten:
Fluoride, Zinkverbindungen und ätherische Öle gegen Hypersensitivität,
Halitosis und Kariesprophylaxe.

Politur im Bereich des 36
Abb. 13 Politur im Bereich des 36, © Dr. R. Krapf

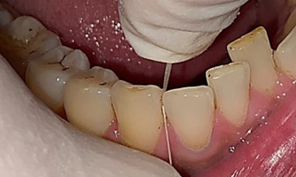
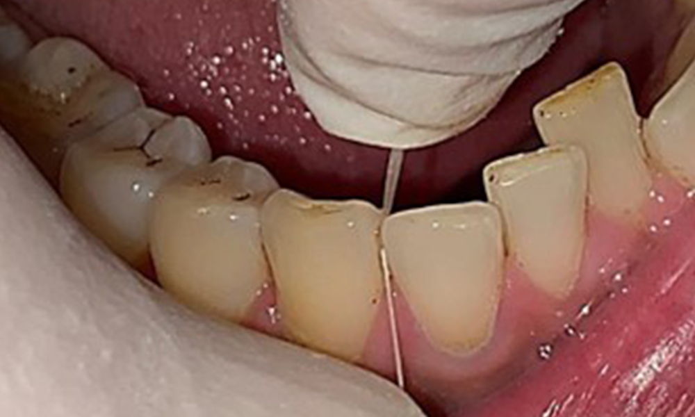
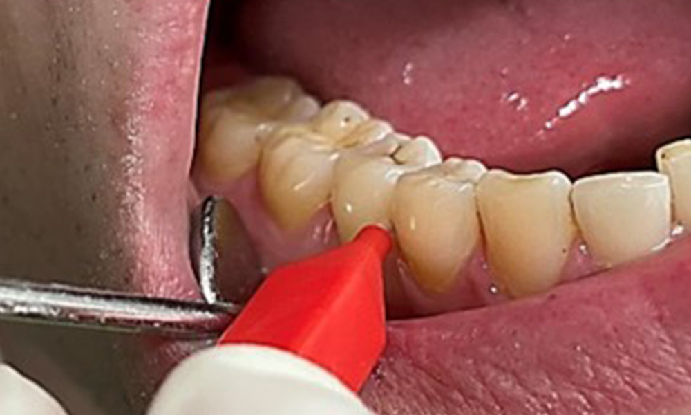
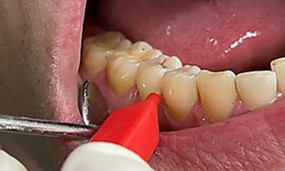
Eine Zahnzwischenraumreinigung mit Interdentalbürstchen oder Zahnseide zur interdentalen Biofilmentfernung ist in der Therapiesitzung unabdingbar (Abb. 14).

Anwendung von Zahnseide
Abb. 14 Anwendung von Zahnseide, © Dr. R. Krapf

Ebenso ist es notwendig eine Zungenreinigung durchzuführen, um bakterienreiche Zungenbeläge sowie Tee- und Raucherbeläge zu entfernen (Abb. 15). Die Anwendung eines Zungengels ist sinnvoll. Diese enthalten meistens Zink-, Zinnverbindungen, die antibakteriell wirken.

Zungenreinigung mit einem Zungenschaber und Zungengel
Abb. 15 Zungenreinigung mit einem Zungenschaber und Zungengel, © Dr. R. Krapf

Als adjuvante Maßnahme empfiehlt sich eine Fluoridierung der freiliegenden Wurzeloberflächen und der Erosionen zur Kariesprävention.
Bei der Wahl der Fluoridierung ist auf die freiliegenden Zahnhälse zu achten. Im besten Fall sollte eine Fluoridierung mit neutralem pH-Wert
gewählt werden. Weitere Schritte sind das Beibehalten einer fluoridhaltigen Zahnpasta zur
häuslichen Mundhygiene und die zusätzliche Maßnahme eines FluoridGels. Fluorid dient zur Remineralisation und trägt zur Desensibilisierung
von freiliegendem Dentin bei. Die Zahnpasta sollte von geringer Abrasivität sein, um den fortgeschrittenen Schmelzverlust nicht weiter zu fördern.

Für die Planung der Nachsorgeintervalle sind die Faktoren Mundgesundheit, Lebensstil und allgemeiner Anamnese zu berücksichtigen. Der Patient wird durch das Rauchen im “Risikoprofil 3
Lebensgewohnheiten” eingestuft. Er liegt mit 10 Zigaretten/Tag an der Grenze vom moderaten Erkrankungsrisiko zum erhöhten Erkrankungsrisiko. Daraus ergibt sich ein Nachsorgeintervall von 2-3x pro Jahr. Dieses Intervall wird bei Veränderungen im Bedarf entsprechend angepasst, um eine Über- oder Unterversorgung zu vermeiden. Ziel ist es
keine weiteren Zahnhartsubstanzverluste zu erzeugen und den Patienten zu motivieren die Rauchgewohnheiten zu reduzieren und bestenfalls zu eliminieren. Eine gute Patientenführung ist ein ausschlaggebender Punkt für den nachhaltigen Erfolg für die Gesundheit des Patienten. Eine unmittelbare
weitere Terminvergabe in der Praxis ist sinnvoll und dringend ratsam.

Zusammenfassung

  1. Aufgrund des geringen Komplikationsrisikos aus der Anamnese ist zum jetzigen Zeitpunkt während der Behandlung sowohl für den Patienten als auch den Behandler in der Erhaltungstherapie keine Besonderheit zu beachten.
  2. Das Entstehungsrisiko und Erkrankungsrisiko für eine mögliche Verschlechterung des oralen Zustandes ist als mäßig abzuschätzen. Hier spielt das Rauchen einen ausschlaggebenden Faktor.
  3. Die Befundaufnahme in der Therapiesitzung stellt einen wichtigen Bestandteil dar. Ein Blutungsstatus (BOP) ist in jeder Sitzung erforderlich, um parodontale Taschentiefen frühzeitig zu erkennen. Dies ist beim Raucher von besonderer Wichtigkeit aufgrund der mangelnden Durchblutung des Gewebes.
  4. Ein Schwerpunkt liegt in der Motivation des Patienten zur Verhaltensänderung bzgl. des Rauchens. Eine Remotivation der häuslichen Mundpflege ist unabdingbar. Dies trägt einen wichtigen Beitrag zur Prävention einer möglichen Parodontitis und Kariesläsionen hin.
  5. Aufgrund des mäßigen oralen Erkrankungsrisikos ist ein 4-6-monatiges Therapieintervall zu empfehlen. Die Entfernung von harten und weichen Belägen ist unabdingbar zum Erhalt der jetzigen Situation. Ein weiterer Zahnhartsubstanzverlust soll unbedingt vermieden werden.


Dr med. dent. Romana Krapf

Literaturverzeichnis

  1. Schmalz G., Ziebolz D., Individualisierte Prävention-ein patientenorientiertes Präventionskonzept für die zahnärztliche Praxis, ZWR- Das deutsche Zahnärzteblatt 2020;129;147-156
  2. Schmalz G., Ziebolz D., Individualisierte Prävention-fallorientierte Bedarfsprävention, ZWR- Das deutsche Zahnärzteblatt 2020;129;33-41
  3. Schmalz G., Ziebolz D., Individualisierte Prävention-Implikation allgemeingesundheitlicher Faktoren, ZWR- Das deutsche Zahnärzteblatt 2019;128;295-304
  4. Borojevic T. (2012). Smoking and periodontal disease. Materia socio-medica, 24(4), 274–276. https://doi.org/10.5455/msm.2012.24.274-276
  5. Ardais R, Mário Tde G, Boligon J, Kantorski KZ, Moreira CH. The effect of smoking on bleeding on probing after nonsurgical periodontal therapy: a quasi- experimental study. Braz Oral Res. 2014;28:1-7. doi: 10.1590/1807-3107bor- 2014.vol28.0058.
  6. 6 Reibel J. Tobacco and oral diseases. Update on the evidence, with recommendations. Medical principles and practice: international journal of the Kuwait University, Health Science Centre, 12 Suppl 1, 22–32. (2003). https://doi.org/10.1159/000069845
  7. Wang C, Zhao Y, Zheng S, Xue J, Zhou J, Tang Y, et al. Effect of enamel morphology on nanoscale adhesion forces of streptococcal bacteria: An AFM study. Scanning. 2015;37(5):313-21

Kommentare