Berichte & Studien

Fallpräsentation: Management komplexer Zahnprothetik

Einleitung

Es ist längst bekannt, dass Mundgesundheit und Allgemeingesundheit in direktem Zusammenhang stehen und einen zum Teil bidirektionalen Einfluss aufeinander haben (1,2). Die Berücksichtigung beider Faktoren sind bei der Planung der oralen Prävention und Therapie der Patienten in der Zahnarztpraxis unabdingbar. Dabei ist oberstes Ziel, die Gesundheit und die Lebensqualität der Patienten sowohl aus zahnmedizinischer und medizinischer Sicht zu erhalten. (3,4)

Die Erstellung eines individuellen Präventionskonzepts unterstützt den Behandler dahingehend die Faktoren aus Allgemeingesundheit und Mundgesundheit zusammenzuführen und daraus ein individuelles Patientenprofil mit den entsprechenden Risiken zu erstellen und zu beurteilen (5,6).
Nur so ist eine individuelle fallorientierte Prävention und Betreuung der Patienten möglich und gibt auch dem Behandler Planungssicherheit.

Im folgenden Patientenfall wird dargestellt, wie die Faktoren aus Mund- und Allgemeingesundheit die Behandlung und Therapie beeinflussen.

Schematische Darstellung des fallorientierten Patientenprofils welches sich aus Allgemeingesundheit und Mundgesundheit erstellen lässt. Nach Lang & Tonetti.
Abb. 1: Schematische Darstellung des fallorientierten Patientenprofils welches sich aus Allgemeingesundheit und Mundgesundheit erstellen lässt. Nach Lang & Tonetti.

Allgemeine Anamnese und Eigenanamnese

Im vorliegenden Fall wird über eine 75-jährige Patientin berichtet. Die Patientin ist Nichtraucherin, sie ist allgemeinmedizinisch gesund. Die Patientin nimmt 1× täglich eine Tablette ASS100 sowie Bisoprolol 5 mg ein. Der Blutdruck wird regelmäßig kontrolliert und liegt bei 125/80. Die Patientin ist schlank, sie achtet auf ihre Allgemeingesundheit und ist sehr bedacht auf ihre eigene Mundgesundheit und Mundpflege. Die Patientin gibt an sich gesund zu ernähren und beschränkt ihre Mahlzeiten auf 3–4× pro Tag. Sie trinkt gerne Tee.

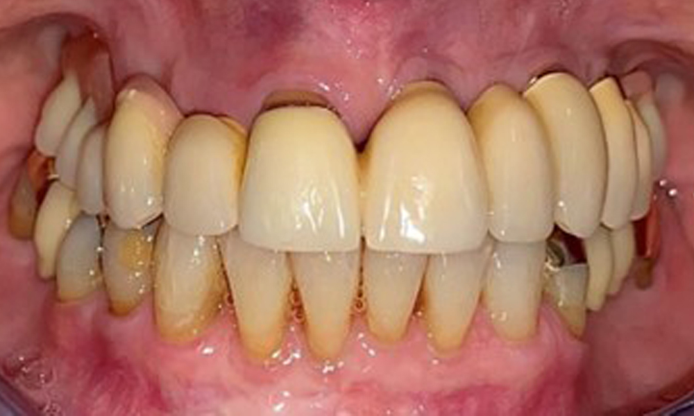
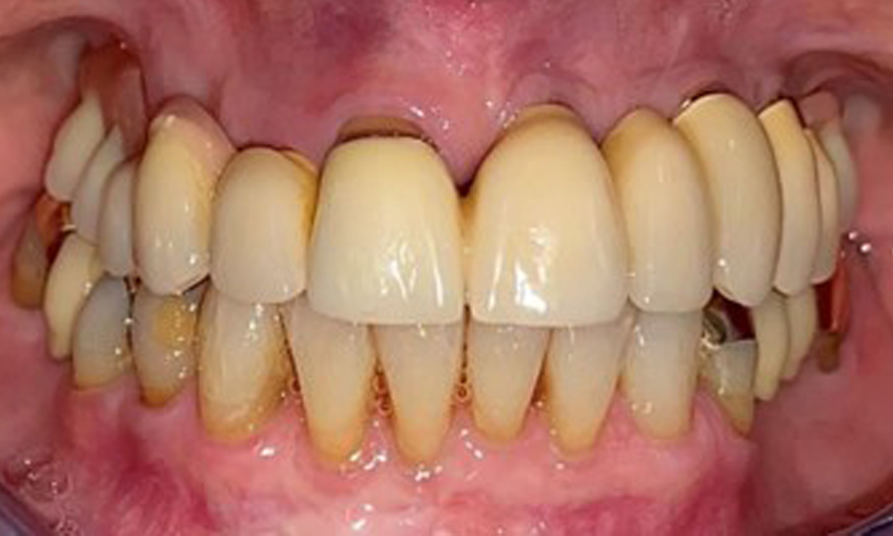
Die Patientin wurde vor über 25 Jahren mit einer kombinierten herausnehmbare Implantat-Teleskopprothese im Oberkiefer versorgt (Abb. 1, Abb. 2, Abb. 3) und ist sehr glücklich über ihren Zahnersatz. Im Unterkiefer hat die Patientin einen suffizienten festsitzenden Zahnersatz. (Abb. 4)

Die Patientin putzt 3× am Tag ihre Zähne und Implantate mit einer Handzahnbürste und einer Einbüschelbürste. Die Zahnzwischenräume pflegt die Patientin einmal täglich mit Interdentalbürstchen abends. Die Prothese putzt die Patientin nach jedem Essen.

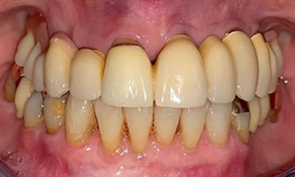
Frontalansicht mit dem eingesetzten Zahnersatz im Oberkiefer.
Abb. 1: Frontalansicht mit dem eingesetzten Zahnersatz im Oberkiefer.

Extra- und intraoraler Befund

Extra- oder intraoral zeigen sich keine pathologischen Befunde oder Auffälligkeiten.

Dentaler Befund

Der dentale Befund stellt sich wie folgt dar: Kombinierte herausnehmbare Implantat- und zahngetragene Teleskoparbeit auf Implantaten 15, 13, 21, 23, 24, 25 und Zahn 11 (Abb. 1, Abb. 2, Abb. 3). Im Unterkiefer ist die Patientin mit einem festsitzenden Zahnersatz versorgt. 37–34 sowie 45–47 haben suffiziente Brücken (Abb. 4). Kronenränder sind intakt, aktive kariöse Läsionen sind nicht vorhanden. An Zahn 43 zeigt sich eine Compositefüllung mit Randspalt. Im Unterkiefer liegen Rezessionen mit freiliegender Wurzeloberfläche zwischen 1 – 3 mm vor. Dies trifft auch für 11 zu.

Okklusalansicht: Oberkiefer mit Zahn- und implantatgetragenen Teleskopen.
Abb. 2: Okklusalansicht: Oberkiefer mit Zahn- und implantatgetragenen Teleskopen.
Okklusalansicht: Oberkiefer mit herausnehmbarer, gaumenfreier Prothese.
Abb. 3 Okklusalansicht: Oberkiefer mit herausnehmbarer, gaumenfreier Prothese.
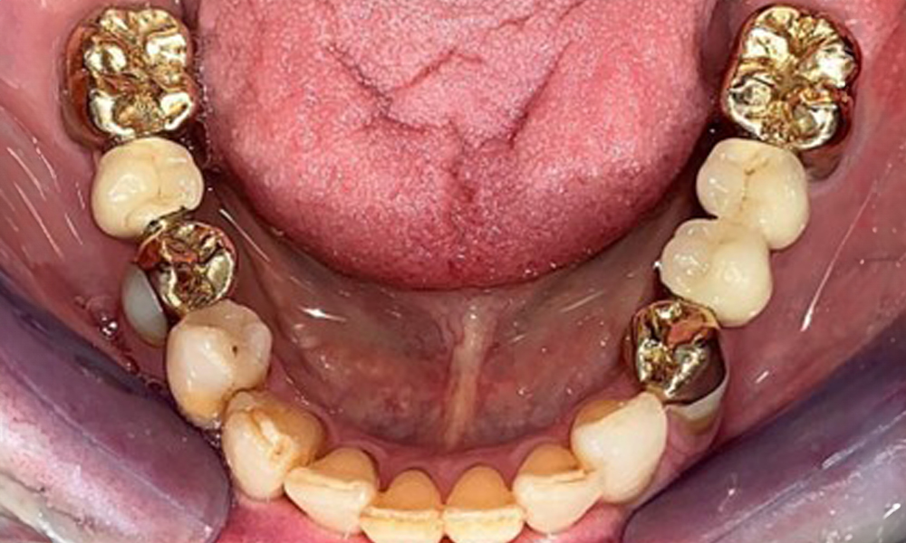
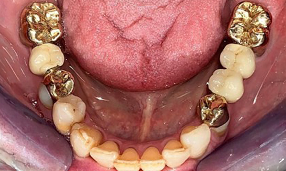
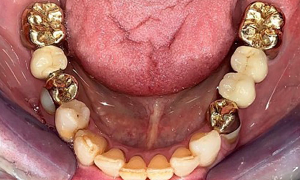
Okklusalansicht Unterkiefer
Abb. 4: Okklusalansicht Unterkiefer

Parodontaler Befund

Die Patientin hat eine stabile parodontale Situation. Es zeigen sich eine entzündungsfreie Gingiva und entzündungsfreie periimplatäre Weichgewebe. Die Sondierungstiefen liegen bei 1–3 mm im physiologischen Bereich. Es zeigen sich generalisierte Rezessionen von 1–3 mm. Implantat 23 hat eine erhöhte Sondierungstiefe von 4 mm ohne Anzeichen auf Sekret oder Blutung (Abb. 6). Der BOP liegt insgesamt bei 12 %.

Radiologischer Befund

Aus dem radiologischen Befund zeigt sich ein teilbezahntes Gebiss mit Implantaten im Oberkiefer an 15, 13, 21, 23, 24, 25 und einer Teleskopkrone 11. Im Unterkiefer sind suffiziente Brücken von 37–34 und 45–47 vorhanden. 48 ist retiniert. 43 distal besteht der Verdacht auf Sekundärkaries und 44 mesial Verdacht auf Sekundärkaries. 44 ist mit einer nicht röntgenopaken Unterfüllung versorgt.
Es zeigt sich ein generalisierter horizontaler Knochenabbau von ca. 10–30 % und lokalisiertem vertikalen Knochenverlust an 22 und 42. (Abb. 5)

Panoramaschichtaufnahme. Es zeigt sich ein generalisierter Knochenabbau zwischen 10-30%. 44 und 43 haben einen radiologischen Verdacht auf eine Sekundärkaries.
Abb. 5: Panoramaschichtaufnahme. Es zeigt sich ein generalisierter Knochenabbau zwischen 10–30 %. 44 und 43 haben einen radiologischen Verdacht auf eine Sekundärkaries.

Behandlungsempfehlung nach dem individuellen Präventionskonzept

Entscheidend ist vor der Behandlung ein individuelles Risikoprofil des Patienten zu beurteilen und einzuschätzen. Das individuelle Patienten- und Risikoprofil ergibt sich aus der allgemeinen Anamnese und der Mundgesundheit. (5, 6)

Die Patientin nimmt den Blutverdünner ASS100 täglich ein. Aufgrund der stabilen parodontalen Situation und dem entzündungsfreien Zustand ist zum jetzigen Zeitpunkt von keinem erhöhten Komplikationsrisiko auszugehen. Blutdrucksenkende Medikamente können zu Gingivahyperplasien und u .a. auch zu Mundtrockenheit führen. Beides ist bei der Patientin nicht gegeben.

Von Seiten der Mundgesundheit sind das Progressionsrisiko- und Entstehungsrisiko für eine orale Verschlechterung des Zustands als gering bis mäßig einzustufen aufgrund des stabilen Zustands seit über 20 Jahren. Ein Faktor, welcher möglicherweise das Progressionsrisiko beeinflussen kann, ist eine Reduktion des Speichelflusses aufgrund des erhöhten Alters der Patientin. Dies kann zu vermehrter Wurzelkaries und auch zu Pilzinfektionen führen. Zum jetzigen Zeitpunkt beklagt die Patientin keine Mundtrockenheit und intraoral sind keine trockenen Schleimhäute zu erkennen.

IPC-Zyklus-Icon: Lupe

Bei der Patientin ergibt sich anamnestisch durch die Einnahme von ASS100 und Bisoprolol ein geringes bis mäßiges Komplikationsrisiko. Es ist zu bedenken, dass es während der Behandlung möglicherweise insbesondere bei einer Gingivitis zur vermehrten Blutung kommen kann.
Im vorliegenden Fall ist das Risiko als gering einzustufen, da die Patientin eine sehr gute Mundhygiene hat. Aufgrund der langjährigen, stabilen Situation ist vorwiegend der aus der Mundgesundheit ermittelte Bedarf maßgebend für die Behandlung. In jeder Sitzung ist die Befundaufnahme ausschlaggebend für den weiteren Behandlungsablauf. Ein Blutungsstatus ist erforderlich, um Veränderungen an Gingiva der periimplantärem Gewebe zu erkennen. (Abb. 6)

Sondierung eines Implantats mit einer Kunststoffsonde an Implantat 23 mit ST von 4 mm und BOP negative mit einer hyperplastischen Papille.
Abb. 6: Sondierung eines Implantats mit einer Kunststoffsonde an Implantat 23 mit ST von 4 mm und BOP negative mit einer hyperplastischen Papille.

Einmal jährlich ist ein ausführlicher Parodontalstatus durchzuführen. Er dient zur umfangreichen Befunddokumentation zum Zustand des Parodonts und der Implantatsituation mit u. a. Taschentiefen, parodontaler Rezession, Furkationsbefall. So kann rechtzeitig auf eine mögliche Mucositis, Gingivitis bzw. Parodontitis oder Periimplantitis reagiert werden. Die Implantatsondierung ist mit einer Kunststoffsonde zu empfehlen. Im vorliegenden Fall zeigt das Implantat 23 mesial eine Sondierungstiefe von 4 mm. Dabei ist weder Suppuration noch Blutung festzustellen, weswegen hier keine Periimplantitis vorliegt.

Die Mundschleimhaut ist auf mögliche Pilzinfektionen und Druckstellen zu untersuchen. Der Zahnersatz muss optisch auf Sauberkeit geprüft werden. Im vorliegenden Fall zeigen sich interdental Verfärbungen, welche auf den Teekonsum zurückzuführen sind (Abb. 7). Der Zahnersatz sollte in der Praxis professionell gereinigt werden in entsprechenden Desinfektions- und Reinigungsbädern.

Zahnersatz von Basal zur Beurteilung auf Sauberkeit.
Abb. 7: Zahnersatz von Basal zur Beurteilung auf Sauberkeit.
IPC-Zyklus-Icon: Sprechblasen

Die Patientin zeigt ein gutes häusliches Mundhygieneverhalten. Remotivation und Reinstruktion sind dennoch wichtig in Anbetracht des höheren Alters der Patientin, um die aufwendige Zahnersatzversorgung, den Restzahnbestand und die Implantate zu erhalten.

Eine Einbüschelbürste insbesondere für die Teleskope sind empfehlenswert (Abb. 8) und Interdentalbürstchen mit der passenden Größe sind der Patientin aufzuzeigen (Abb. 9). Die Patientin setzt diese Empfehlungen der häuslichen Mundhygiene seit vielen Jahren um und wird im Rahmen der unterstützenden professionellen Präventionssitzung bestärkt, dies weiterhin zu tun.

Darstellung einer Einbüschelbürste zur häuslichen Pflege für Implantate und Teleskope.
Abb. 8: Darstellung einer Einbüschelbürste zur häuslichen Pflege für Implantate und Teleskope.
Darstellung der Interdentalraumbürstchen mit der richtigen Bürstchengröße.
Abb. 9: Darstellung der Interdentalraumbürstchen mit der richtigen Bürstchengröße.
IPC-Zyklus-Icon: Prophylaxe-Instrumente

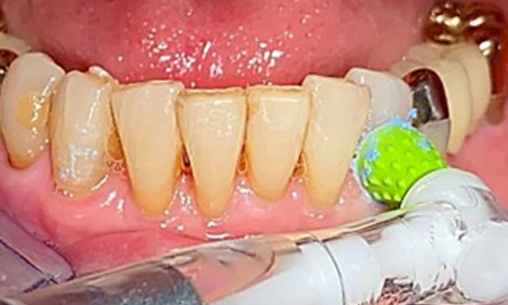
In der Instrumentierung der Therapiesitzung sind bezüglich der Methodenwahl aufgrund des gesunden Allgemeinzustands der Patientin keine Einschränkungen gegeben. Zur Vorbeugung einer Erkrankungsprogression ist die regelmäßige supra- und subgingivale Instrumentierung unerlässlich (7). Die Wahl der Instrumente zur mechanischen Biofilmentfernung ist aus allgemeingesundheitlicher Sicht nicht eingeschränkt und erfolgt bedarfsgerecht. (Sollten stärkere gingivale Entzündungen vorhanden sein, ist bei der Pulverstrahlmethode möglicherweise durch die Einnahme von ASS 100 eine erhöhte Blutungsneigung zu erwarten.)

Bearbeitung der Implantatoberfläche mit Handinstrumenten aus Titan.
Abb. 10: Bearbeitung der Implantatoberfläche mit Handinstrumenten aus Titan.
Darstellung einer Peek-Ultraschallspitze (hier Proxeo Ultra, Firma W&H) zur Bearbeitung von Implantatoberflächen bei mineralisierten Belägen (mineralisierte Beläge sind im vorliegenden Fall nicht vorhanden, schematische Darstellung).
Abb. 11: Darstellung einer Peek-Ultraschallspitze (hier Proxeo Ultra, Firma W&H) zur Bearbeitung von Implantatoberflächen bei mineralisierten Belägen (mineralisierte Beläge sind im vorliegenden Fall nicht vorhanden, schematische Darstellung).

Für die Entfernung von Zahnstein und Konkrementen am natürlichen Zahn kann Schall Ultraschall verwendet werden sowie konventionelle Handinstrumente (8). An den Implantaten sind für mineralisierte Beläge Titan- oder Kunststoffküretten (Abb. 10) einzusetzen oder ein Kunststoff- bzw. Peek-Ansatz (Abb. 11) für die Ultraschallbehandlung, um die Implantatoberfläche nicht zu beschädigen.

Air Polishing (hier: Proxeo Aura, W&H) an einem Implantat
Abb. 12: Air Polishing (hier: Proxeo Aura, W&H) an einem Implantat

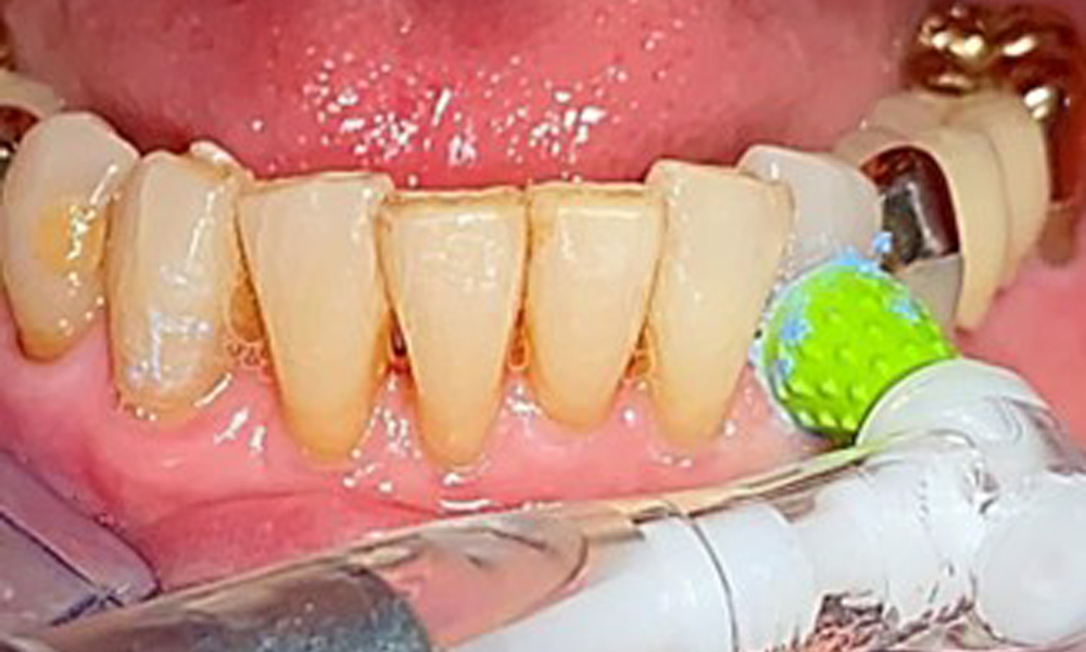
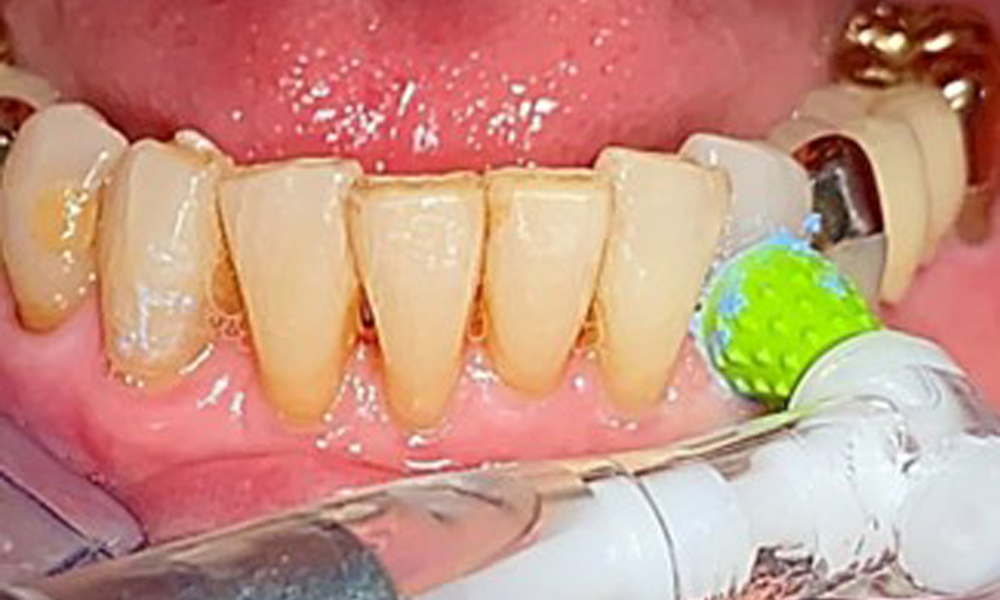
Für die Restaurationsränder und Zahnzwischenräume und Implantatoberflächen kann das Pulverstrahlgerät mit einem niedrig-abrasiven Pulver zum Einsatz zur Entfernung von Biofilm kommen (Abb. 12). Durch selektives Polieren (Abb. 13) sollte eine Glättung aller weniger sensiblen Bereiche erfolgen, da die bakterielle Wiederanhaftung reduziert wird. (9)

Selektives Polieren in Rg. 33 (hier Proxeo Twist, W&H)
Abb. 13: Selektives Polieren in Rg. 33 (hier Proxeo Twist, W&H)

Eine Zahnzwischenraumreinigung mit Interdentalbürstchen (Abb. 9) oder Zahnseide ist ebenso erforderlich genauso wie die Zungenreinigung. Wichtig ist auch in der Praxis die Prothese professionell im Ultraschallbad und ggf. mit desinfizierenden Lösungen zu säubern, um Pilzinfektionen entgegenzuwirken. Verfärbungen sind dadurch ebenso entfernbar und geben ein sauberes Gefühl für die Patientin.

IPC-Zyklus-Icon: Zahn

Als adjuvante Maßnahme empfiehlt sich eine Fluoridierung der freiliegenden Wurzeloberflächen zur Kariesprävention (10). Bei Veränderungen um das periimplantäre Gewebe kann auch zu antibakteriellen Substanzen gegriffen werden. Dies ist individuell und von der Situation abhängig und vom Behandler bedarfsabhängig zu entscheiden. Weitere Schritte sind das Beibehalten der fluoridhaltigen Zahnpasta zur häuslichen Mundhygiene (11). Speichelstimulierende Maßnahmen sind derzeit nicht erforderlich.

IPC-Zyklus-Icon: Kalenderblatt

Für die Planung der Nachsorge-Intervalle ist die komplexe Zahnersatzversorgung und das höhere Alter der Patientin ausschlaggebend. Es empfiehlt sich daher eine 3 bis 4 Mal jährliche Prophylaxesitzung. Dieses Intervall wird bei Veränderungen im Bedarf entsprechend angepasst, um eine Über- oder Untertherapie zu vermeiden (12). Eine anschließende direkte weitere Terminvergabe in der Praxis ist sinnvoll. Eine gute Patientenführung ist ein ausschlaggebender Punkt für den nachhaltigen Erfolg der Zahngesundheit- und Mundgesundheit der Patientin und trägt zur Lebensqualität bei.

Zusammenfassung

  1. Aufgrund des geringen Komplikationsrisikos ist zum jetzigen Zeitpunkt bei der Behandlung in der Erhaltungstherapie keine Besonderheit zu beachten. Das Erkrankungsrisiko ist aufgrund des langjährigen Zustands ebenso als gering einzustufen.
  2. Progressionsrisiko- und Entstehungsrisiko einer Parodontitis oder aktiver Karies sind mit gering bis mäßig einzuordnen. Hierbei ist das erhöhte Alter mit möglichem reduziertem Speichelfluss und die aufwendige Zahnersatzversorgung mit hohem Pflegeaufwand zu betrachten.
  3. Ziel ist es durch die Erhaltungstherapie die aufwendige Kombiarbeit aus Implantaten und Teleskopen zu erhalten – auch im fortgeschrittenen Alter und um durch eine gute Prothesenpflege Pilzinfektionen zu vermeiden.
  4. Befundaufnahme in der Prophylaxesitzung stellt einen wichtigen Bestandteil dar. Ein Blutungsstatus ist in jeder Sitzung erforderlich. Ein ausführlicher parodontaler Taschenbefund einmal jährlich ist sinnvoll.
  5. Aufgrund der guten Mundhygiene ist die Patientin immer wieder zu bestärken dies so weiterzuführen, um den jetzigen Zustand zu erhalten. Die umfangreiche Versorgung des Zahnersatzes soll möglichst lange so erhalten werden.
  6. In Anbetracht des Alters der Patientin und der aufwendigen Zahnersatzversorgung mit Implantaten ist eine 4-monatige professionelle Präventionssitzung sinnvoll. Die Entfernung von harten und weichen Belägen ist unabdingbar zum Erhalt der jetzigen Situation.
  7. Die Patientenführung und die gute Compliance sind wesentliche Erfolgsfaktoren für den Erhalt der Mundgesundheit.

Dr med. dent. Romana Krapf

Literaturverzeichnis

  1. Bansal M, Rastogi S, Vineeth NS. Influence of periodontal disease on systemic disease: inversion of a paradigm: a review. Journal of medicine and life. 2013;6(2):126-30
  2. WHO. Oral Health [Fact sheet]. WHO International Newsroom2020 [cited 2020 25.03.2020]. Available from: https://www.who.int/news-room/fact- sheets/detail/oral-health.
  3. Papapanou PN, Sanz M, Buduneli N, Dietrich T, Feres M, Fine DH, et al. Periodontitis: Consensus report of workgroup 2 of the 2017 World Workshop on the Classification of Periodontal and Peri-Implant Diseases and Conditions. J Periodontol. 2018;89 Suppl 1:S173-S82.
  4. Chapple IL, Bouchard P, Cagetti MG, Campus G, Carra MC, Cocco F, et al. Interaction of lifestyle, behaviour or systemic diseases with dental caries and periodontal diseases: consensus report of group 2 of the joint EFP/ORCA workshop on the boundaries between caries and periodontal diseases. J Clin Periodontol. 2017;44 Suppl 18:S39-s51.
  5. Schmalz G., Ziebolz D., Individualisierte Prävention-ein patientenorientiertes Präventionskonzept für die zahnärztliche Praxis, ZWR- Das deutsche Zahnärzteblatt 2020;129;147-156
  6. Schmalz G., Ziebolz D., Individualisierte Prävention-fallorientierte Bedarfsprävention, ZWR- Das deutsche Zahnärzteblatt 2020;129;33-41
  7. Graetz C, Seidel M. Mechanische Biofilmentfernung: Was, womit und wie funktioniert´s? Plaque N Care [Internet]. 2020. Available from: https://www.pnc-aktuell.de/prophylaxe/story/mechanische-biofilmentfernung- was-womit-und-wie-funktionierts 8637.html
  8. Ziebolz D, Kampfmann B. Ultraschallaktiviertes mechanisches Biofilmmanagement. Implantologie Journal. 2019;3.
  9. Wang C, Zhao Y, Zheng S, Xue J, Zhou J, Tang Y, et al. Effect of enamel morphology on nanoscale adhesion forces of streptococcal bacteria: An AFM study. Scanning. 2015;37(5):313-21
  10. Macri D. Implementing a multifaceted approach to caries prevention. Dimensions of Dental Hygiene. 2018;16(5):21-2, 4-5.
  11. Prabhu A, Nalawade KP, Balasubamanian K, Sampat P, Rohra S, Sheth D. Dentine Hypersensitivity: A review. International Journal of Scientific Research. 2017;6(7).
  12. Sanz M, Baumer A, Buduneli N, Dommisch H, Farina R, Kononen E, et al. Effect of professional mechanical plaque removal on secondary prevention of periodontitis and the complications of gingival and periodontal preventive measures: consensus report of group 4 of the 11th European Workshop on Periodontology on effective prevention of periodontal and peri-implant diseases. J Clin Periodontol. 2015;42 Suppl 16:S214-20.

Kommentare