Berichte & Studien

Parodontitis – ein Risiko für Peri-implantitis …?

PD Dr. Kristina Bertl, PhD MSc MBA

Parodontitis wird mit rund 750 Millionen Betroffenen als die 6.häufigste Erkrankung weltweit angesehen und ist neben Karies die häufigste Ursache für Zahnverlust. Dementsprechend stellt sich bei ParodontitispatientInnen regelmäßig die Frage nach einem Implantat-getragenen Zahnersatz.

Doch wie hoch ist das Risiko bei Parodontitis-PatientInnen auch eine peri-implantäre Mukositis oder gar Peri-implantitis zu entwickeln und im schlimmsten Fall einen Implantatmisserfolg zu erleiden – kleiner, gleich, oder doch größer …?

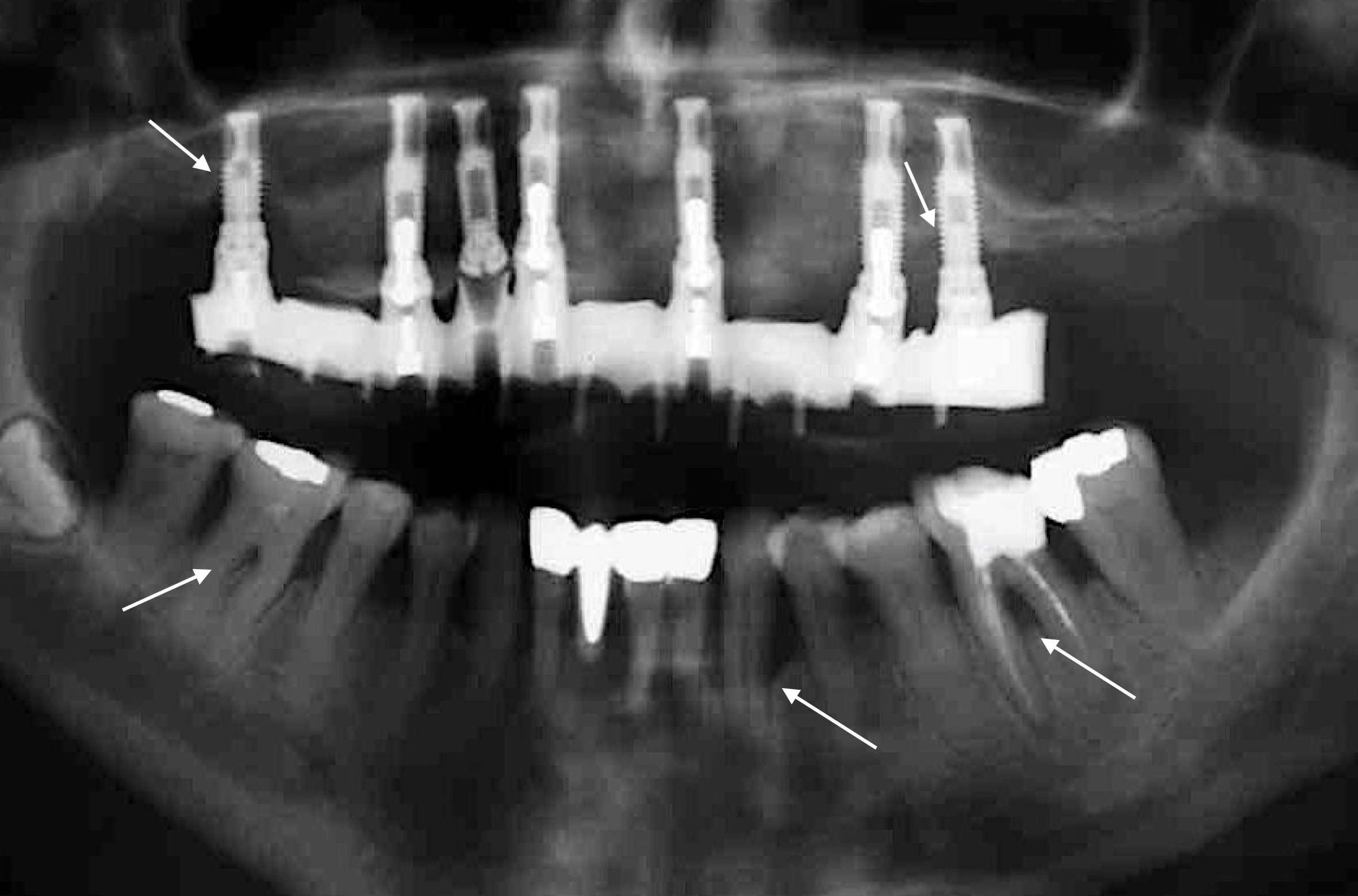
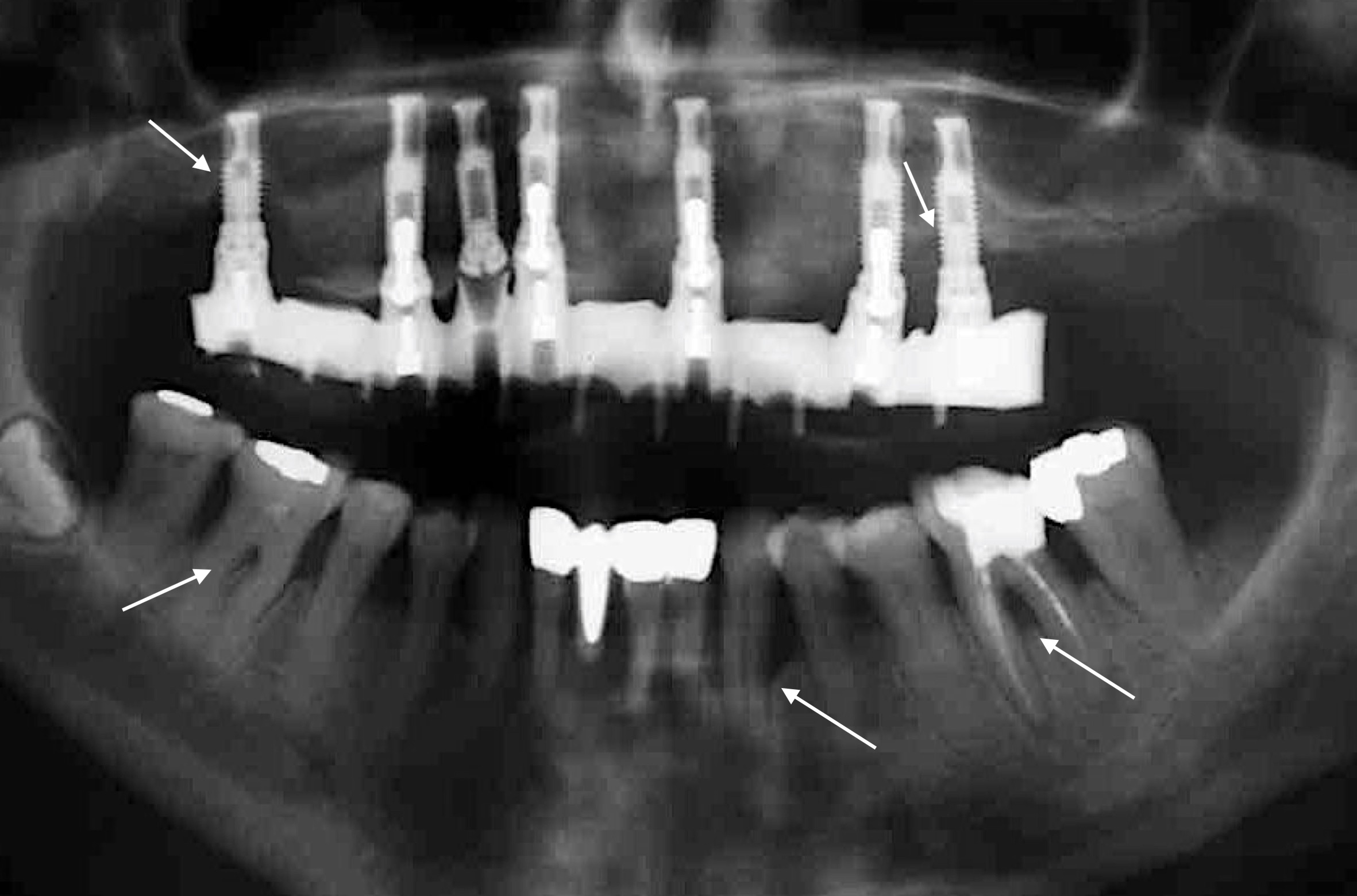
Zahlreiche Übersichtsarbeiten der letzten 10 Jahre belegen ein höheres Risiko eines Implantatmisserfolgs bei PatientInnen mit parodontaler Grunderkrankung (z.B.: Renvert & Persson 2009, Sousa et al. 2016, uvm.) und dieses Risiko scheint bei PatientInnen mit der Diagnose „generalisierte aggressive Parodontitis“ noch zusätzlich erhöht zu sein (Monje et al. 2016). Um diese Komplikation möglichst zu vermeiden, gilt es den/die Patienten/Patientin parodontal möglichst gut im Griff zu halten! Das bedeutet: 1) Die parodontale Therapie muss vor der Implantattherapie stattfinden; 2) Strikte Optimierung der Mundhygiene und vor allem gezielte Re-instruktion nach Eingliederung der Implantat-getragenen Versorgung; 3) Planung und Durchführung regelmäßiger Recallsitzungen um einerseits kein Rezidiv in Bezug auf die Parodontitis zu erleiden und andererseits peri-implantäre Erkrankungen frühzeitig zu erkennen; und 4) Rest-Sondierungstiefen nach der parodontalen Therapie möglichst vermeiden! Warum ist letzteres so wichtig? Eine Studie aus Australien (Cho-Yan Lee et al. 2012) hat sehr schön gezeigt, dass das Risiko eine Peri-implantitis zu entwickeln bei Parodontitis-PatientInnen mit Restsondierungstiefen (≥ 6mm Sondierungstiefe) im Vergleich zu Parodontitis-PatientInnen ohne Restsondierungstiefen und parodontal gesunden PatientInnen 4- bis 5-fach erhöht ist!

Nichtsdestotrotz sollte man nicht nur die negativen Aspekte sehen, denn man kann natürlich auch bei Parodontitis-PatientInnen eine hohe Implantatüberlebensrate von rund 92 % nach 10 Jahren erzielen (Zangrando et al. 2015)!

Referenz

  1. Cho-Yan Lee, J., N. Mattheos, K.C. Nixon & S. Ivanovski (2012) Residual periodontal pockets are a risk indicator for peri-implantitis in patients treated for periodontitis. Clin Oral Impl Res 23, 2012, 325–333. Monje, A., L. Aranda, K.T. Diaz, M.A. Alarcón, R.A. Bagramian, H.L. Wang & A. Catena (2016) Impact of Maintenance Therapy for the Prevention of Peri-implant Diseases: A Systematic Review and Meta-analysis. J Dent Res 95, 372-379. Renvert, S. & G.R. Persson (2009) Periodontitis as a potential risk factor for peri-implantitis. J Clin Periodontol 36 Suppl 10, 9-14. Sousa, V., N. Mardas, B. Farias, A. Petrie, I. Needleman, D. Spratt & N. Donos (2016) A systematic review of implant outcomes in treated periodontitis patients. Clin Oral Implants Res 27, 787-844. Zangrando, M.S., C.A. Damante, A.C. Sant’Ana, M.L. Rubo de Rezende, S.L. Greghi & L. Chambrone (2015) Long-term evaluation of periodontal parameters and implant outcomes in periodontally compromised patients: a systematic review. J Periodontol 86, 201-221.

Kommentare