Доклади & Изследвания

Индивидуална профилактика при 74-годишен пациент с импланти и хипертония: Профилактика според модела IPC

Въведение

Здравето на устната кухина е широко признато като важен компонент от общото физическо здраве (1, 2). Поради функционалната взаимовръзка и общите рискови фактори между оралното и общото здраве, обратното също е вярно, което е необичайно за науката (3, 4). Следователно съществуват общи здравни параметри, които имат ясно изразено въздействие върху индивидуалното орално здраве и трябва да се вземат предвид при оралната профилактика, за да се подпомогне оптимално поддържането на здравето и качеството на живот на пациентите (5-7).
Индивидуалният цикъл на профилактика (IPC), като концепция, помага да се свържат данните от медицинската история и текущата диагностика, за да се създаде профил на пациента. Тъй като препоръките за лечение редовно се оценяват въз основа на анамнезата и откритията, е възможна адаптирана профилактика, ориентирана към конкретния случай. Следващият случай на пациент илюстрира как IPC адаптира профилактиката според индивидуалните параметри на пациента.

Графичен цикъл на IPC
Графичен IPC: персонализирана препоръка за лечение

IPC изгражда мост между общото и оралното здраве. Свързването на риска и нуждите на пациента води до изготвяне на ориентиран към конкретния случай профил, което прави профилактичното лечение индивидуално адаптивно.

Описание на случая

74-годишен пациент се явява за консултация. Анамнезата показва, че пациентът има добре контролирана хипертония и приема Lixiana. Освен това пациентът е имал карцином на бъбрека през 2020 г. Начинът на живот на пациента е без забележки. Няма останали естествени зъби и има шест импланта в горната и долната челюст, на които са поставени коронки или мостове. Текущите данни не показват периимплантатен мукозит или периимплантит, но въпреки това периодично има (незначително) кръвене при имплантите (възстановяванията).

Оценка на случая според IPC

Анамнеза: хипертония, медикаменти: Lixiana, 2020 г., карцином на бъбрека
Рискови фактори: Lixiana (антикоагулант)
Риск от заболяване или усложнение: умерен риск от усложнения
Лекарства: Lixiana
Начин на живот: без забележки
Орално здраве: добро
Възстановявания: импланти в области 011, 013, 015, 021, 023, 025, 031, 033, 035, 042, 044, 046
Оценка на риска от кариес: няма риск
Пародонтит: няма
Риск от развитие: умерен за периимплантит
Риск от прогресия: нисък за периимплантит

Препоръки за лечение на базата на IPC:

Икона на цикъла IPC: лупа

Употребата на Lixiana представлява рисков фактор, поради което рискът от усложнения се счита за умерен. Оралното здраве е стабилно и добро. За ранно откриване на потенциален периимплантит, по време на контролните прегледи трябва да се измерва дълбочината на сондиране (PD). Ако има увеличение на PD при имплантата в сравнение с изходното ниво, съчетано с дифузно кървене, трябва да се продължи с рентгенова диагностика (напр. зъбни рентгенови снимки).

Икона на цикъла на IPC: балончета с реч

При този пациент от съществено значение са мотивацията и инструкциите по отношение на оралната хигиена. Правилната грижа за имплантите е особено важна. Добрата домашна орална хигиена играе важна роля за дългосрочното стабилизиране на здравето на устната кухина и имплантите.

Икона на цикъла IPC: инструменти за профилактика

При инструментализирането на импланти се изисква специален подход. Изборът на подходящи пудри и инструменти е от решаващо значение за запазване на повърхността на импланта, като същевременно се гарантира ефективно почистване. Това включва целенасочено използване на устройства за полиране със специални перио накрайници. Изборът на подходяща пудра може да се коригира въз основа на нуждите и рисковете, като например се вземат предвид нивата на абразивност и диетата (напр. без захар, с ниско съдържание на сол).

Икона на цикъла на IPC: календар

Понастоящем състоянието на периимплантатите е стабилно. Поради сложността на надстройките пациентът има умерен риск от развитие и нисък риск от прогресия на периимплантни заболявания.

Пародонтален статус (ParoStatus®.de)
Фигура 1: Пародонтален статус (ParoStatus®.de)
Рентгенографските изображения показват костна резорбция.
Фигура 2: Рентгенографските изображения показват костна резорбция.
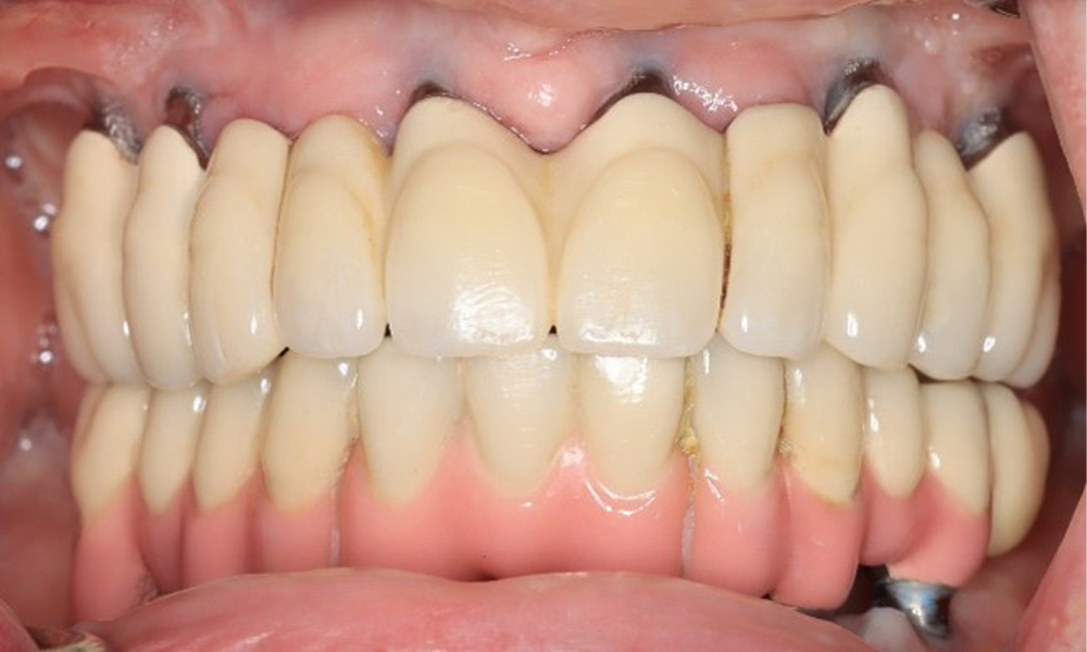
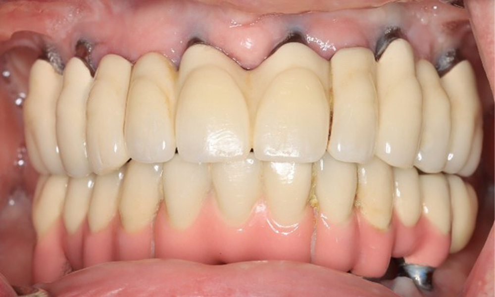
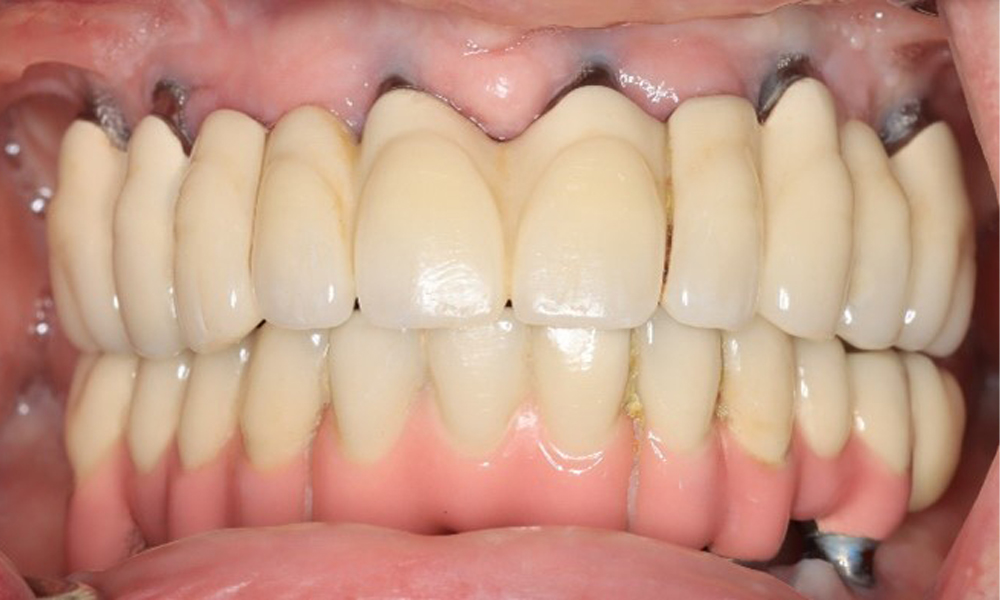
Преден изглед на зъбите (горна и долна челюст)
Фигура 3: Фронтален изглед

PD Д-р Г. Шмалц, MSc
Проф. д-р Д. Зиболц, MSc

Библиография

  1. Bansal M, Rastogi S, Vineeth NS. Influence of periodontal disease on systemic disease: inversion of a paradigm: a review. Journal of medicine and life. 2013;6(2):126-30.
  2. Si Y, Fan H, Song Y, Zhou X, Zhang J, Wang Z. Association Between Periodontitis and Chronic Obstructive Pulmonary Disease in a Chinese Population. Journal of Periodontology. 2012;83(10):1288-96.
  3. WHO. Oral Health [Fact sheet]. WHO International Newsroom2020 [cited 2020 25.03.2020]. Available from: https://www.who.int/news-room/fact-sheets/detail/oral-health.
  4. Seitz MW, Listl S, Bartols A, Schubert I, Blaschke K, Haux C, et al. Current Knowledge on Correlations Between Highly Prevalent Dental Conditions and Chronic Diseases: An Umbrella Review. Preventing chronic disease. 2019;16:E132.
  5. Papapanou PN, Sanz M, Buduneli N, Dietrich T, Feres M, Fine DH, et al. Periodontitis: Consensus report of workgroup 2 of the 2017 World Workshop on the Classification of Periodontal and Peri-Implant Diseases and Conditions. J Periodontol. 2018;89 Suppl 1:S173-S82.
  6. Chapple IL, Bouchard P, Cagetti MG, Campus G, Carra MC, Cocco F, et al. Interaction of lifestyle, behaviour or systemic diseases with dental caries and periodontal diseases: consensus report of group 2 of the joint EFP/ORCA workshop on the boundaries between caries and periodontal diseases. J Clin Periodontol. 2017;44 Suppl 18:S39-s51.
  7. Cao R, Li Q, Wu Q, Yao M, Chen Y, Zhou H. Effect of non-surgical periodontal therapy on glycemic control of type 2 diabetes mellitus: a systematic review and Bayesian network meta-analysis. BMC oral health. 2019;19(1):176.

коментара