Доклади & Изследвания

Здрав пациент с вече съществуващо пародонтално заболяване и периимплантит

Въведение

Двупосочната връзка между оралното и общото здраве е добре известна. Вече не е достатъчно да се разглеждат само оралните заболявания. За да се създаде индивидуален, специфичен за всеки случай профилактичен и пациентски профил, е необходимо да се снеме подробна анамнеза и да се извърши цялостно изследване на общото медицинско и орално здраве, както и да се разгледат двете в комбинация (1-3).
Внимателното отчитане и анализ на индивидуалните параметри на пациента улеснява създаването на рисков профил, който оптимално подпомага поддържането на добро здраве и качеството на живот на пациента. Освен това осигурява на лекарите по дентална медицина сигурност по време на планирането.
Представянето на тази случай подчертава полезността от систематична, индивидуална концепция за превенция при създаването на специфичен за случая профил на пациента и прилагането на произтичащите от него лечебни мерки.

Описание на случая

52-годишен пациент се явява на профилактичен преглед. Пациентът няма хронични заболявания и не приема никакви лекарства. Претърпял е различни дентални лечения и също така има две активни кариозни лезии. Освен това има четири импланта (2-ри, 3-ти и 4-ти квадрант). Установява се, че има ранно пародонтално заболяване (стадий IV, степен В). Състоянието на пародонта е стабилно, като дълбочина на сондиране (ST) от 5 mm се проявява само при импланта в област 36. Установен е и гингивит.

Пародонтален статус (ParoStatus®.de)
Фиг. 1: Пародонтален статус (ParoStatus®.de)
Оценка на пародонталния риск според Ланг и Тонети: среден риск
Фиг. 2: Оценка на пародонталния риск според Ланг и Тонети: среден риск

Анализ на случая съгласно IPC

История на заболяването: без забележки
Рискови фактори: няма
Риск от заразяване с болестта или от усложнения: няма
Лекарства: не приема
Начин на живот: без забележки
Орално здраве: стабилно
Предишни лечения: множество керамични възстановявания, четири импланта (2-ри, 3-ти, 4-ти квадрант)
Оценка на риска от кариес: повишен, налице са активни начални лезии
Пародонтит: умерен риск, вече установен (стадий IV, степен В), понастоящем стабилно състояние в намаления пародонт
Риск от поява: висок за периимплантит, умерен за кариес
Риск от прогресия: висок за периимплантит, умерен за пародонтит, умерен за кариес

Препоръчително лечение съгласно IPC

Икона на цикъла IPC: лупа

В историята на заболяването на пациента няма особени рискови фактори със специфични дентални последици. Следователно ключовият фактор е изискването по отношение на оралното здраве. В това отношение има данни за дълбочина на сондиране от 5 mm при импланта в 3-ти квадрант, а на рентгеновата снимка - за увеличена костна загуба. Пациентът също така има стабилно понастоящем пародонтално заболяване и две активни начални кариозни лезии.

Икона на цикъла IPC: мехурчета с реч

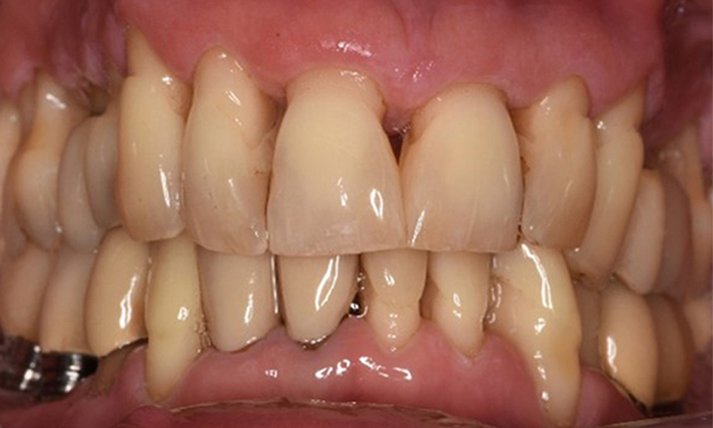
Хигиената на устната кухина и сътрудничеството от страна на пациента са много добри (виж снимката „изглед отпред“). Необходими са само повтарящи се инструкции и мотивация за поддържане на орална хигиена.

Икона на цикъла IPC: инструменти за профилактика

Що се отнася до инструментите, които се използват с импланти се прилагат специфични процедури. За да се запази повърхността на импланта, като същевременно се почиства ефективно, е необходимо да се изберат подходящи пудри и инструменти, като например използване на апарати за въздушно полиране със специални пародонтални накрайници. Може да се определи коя пудра е най-подходяща в зависимост от нуждите и риска. Освен степента на абразивност, могат да се вземат предвид и диетичните изисквания (напр. без захар, с ниско съдържание на сол).

Икона на цикъл IPC: зъб

Препоръчва се използването на лак със съдържание на флуорид за откритите коренови повърхности и началните кариозни лезии.

Икона на цикъла на IPC: лист от календара

Поради анамнезата за пародонтално заболяване и периимплантит се препоръчват контролни прегледи първоначално на всеки три до четири месеца след успешно лечение на периимплантит.

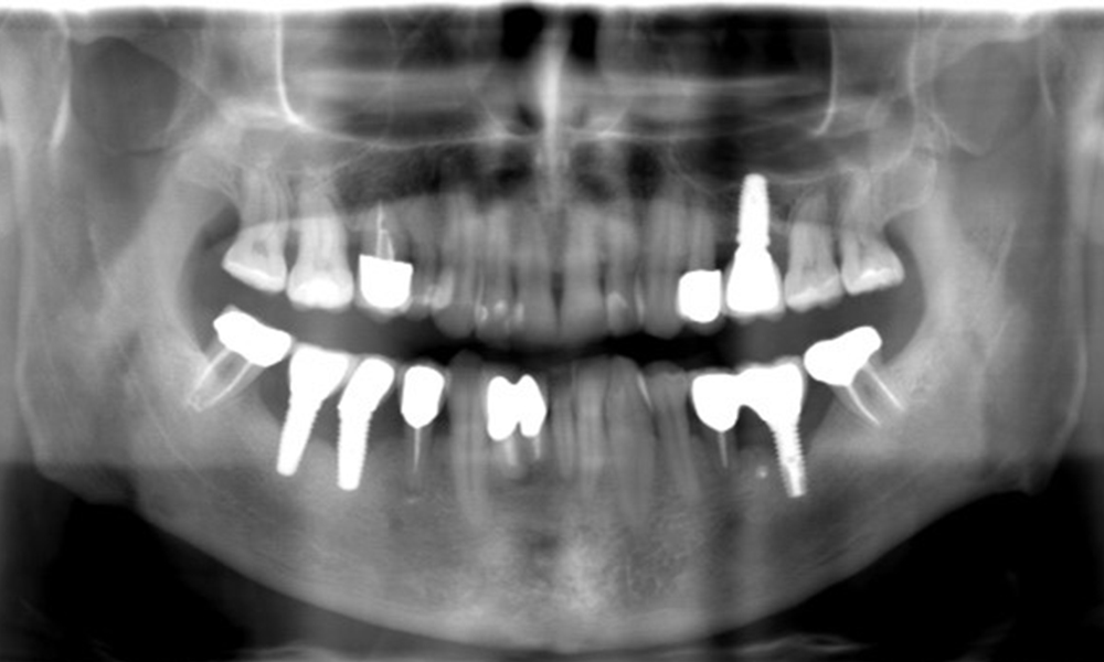
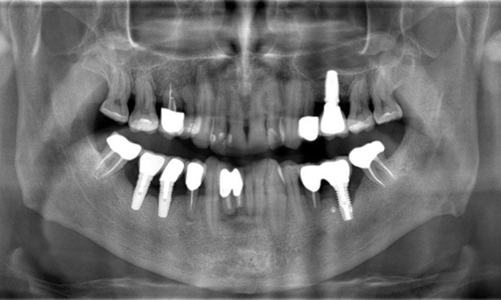
Рентгеновите снимки показват прогресията на костната загуба.
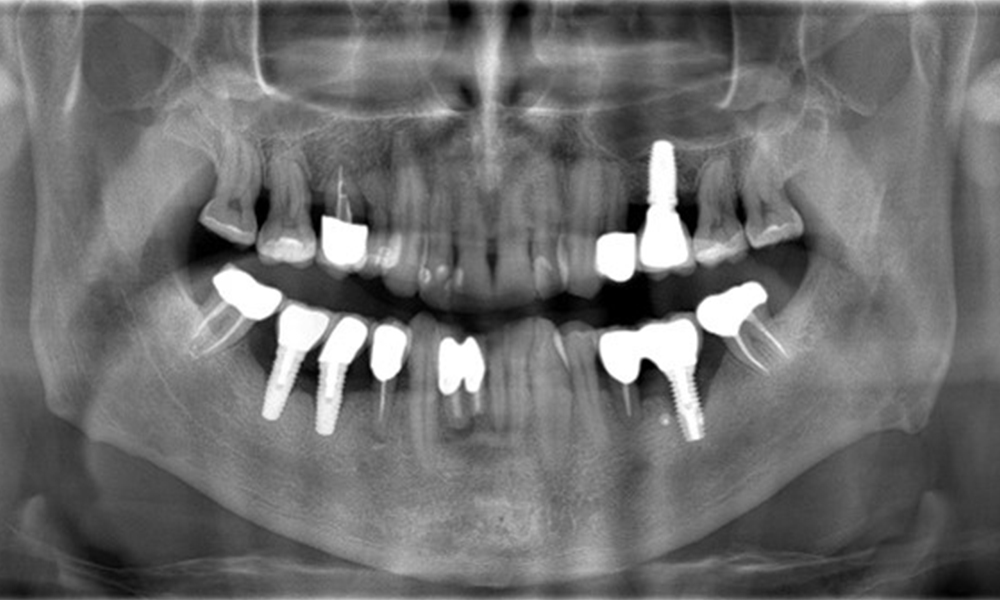
Рентгеновите снимки показват прогресията на костната загуба. ОПГ от 29.06.2020 г. (вляво) и ОПГ от 26.02.2024 г. (вдясно).
ОПГ: 26/02/2024 Дентална рентгенова снимка: 18/01/2024
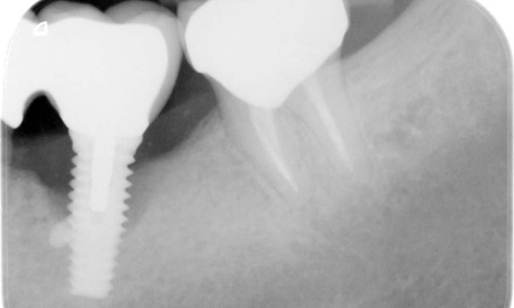
Рентгеновите снимки показват прогресията на костната загуба.
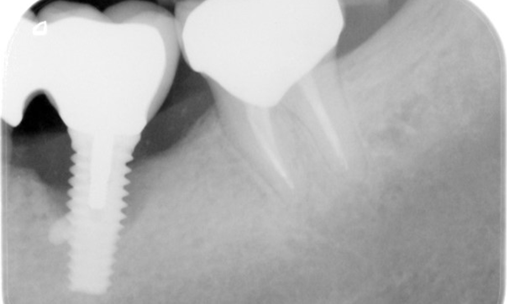
Рентгеновите снимки показват прогресиращата загуба на костна тъкан в областта на импланта в област 36: рентгенова снимка от 11.02.2021 г. (вляво) и рентгенова снимка от 18.01.2024 г. (вдясно).
ОПГ: 26/02/2024 Дентална рентгенова снимка 18/01/2024
Преден изглед на зъбите (горна и долна челюст)
Изглед отпред

PD Д-р Г. Шмалц, MSc
Проф. д-р Д. Зиболц, MSc

Библиография

  1. Schmalz G., Ziebolz D., Individualisierte Prävention-ein patientenorientiertes Präventionskonzept für die zahnärztliche Praxis, ZWR- Das deutsche Zahnärzteblatt 2020;129;147-156
  2. Schmalz G., Ziebolz D., Individualisierte Prävention-fallorientierte Bedarfsprävention, ZWR- Das deutsche Zahnärzteblatt 2020;129;33-41
  3. Schmalz G., Ziebolz D., Individualisierte Prävention-Implikation allgemeingesundheitlicher Faktoren, ZWR- Das deutsche Zahnärzteblatt 2019;128;295-304
  4. Bansal M, Rastogi S, Vineeth NS. Influence of periodontal disease on systemic disease: inversion of a paradigm: a review. Journal of medicine and life. 2013;6(2):126-30.
  5. Si Y, Fan H, Song Y, Zhou X, Zhang J, Wang Z. Association Between Periodontitis and Chronic Obstructive Pulmonary Disease in a Chinese Population. Journal of Periodontology. 2012;83(10):1288-96.
  6. WHO. Oral Health [Fact sheet]. WHO International Newsroom2020 [cited 2020 25.03.2020]. Available from: https://www.who.int/news-room/fact-sheets/detail/oral-health.
  7. Seitz MW, Listl S, Bartols A, Schubert I, Blaschke K, Haux C, et al. Current Knowledge on Correlations Between Highly Prevalent Dental Conditions and Chronic Diseases: An Umbrella Review. Preventing chronic disease. 2019;16:E132.
  8. Papapanou PN, Sanz M, Buduneli N, Dietrich T, Feres M, Fine DH, et al. Periodontitis: Consensus report of workgroup 2 of the 2017 World Workshop on the Classification of Periodontal and Peri-Implant Diseases and Conditions. J Periodontol. 2018;89 Suppl 1:S173-S82.
  9. Chapple IL, Bouchard P, Cagetti MG, Campus G, Carra MC, Cocco F, et al. Interaction of lifestyle, behaviour or systemic diseases with dental caries and periodontal diseases: consensus report of group 2 of the joint EFP/ORCA workshop on the boundaries between caries and periodontal diseases. J Clin Periodontol. 2017;44 Suppl 18:S39-S51.
  10. Cao R, Li Q, Wu Q, Yao M, Chen Y, Zhou H. Effect of non-surgical periodontal therapy on glycemic control of type 2 diabetes mellitus: a systematic review and Bayesian network meta-analysis. BMC oral health. 2019;19(1):176.

коментара