Доклади & Изследвания

(Орално) здрав пациент с импланти

Описание на случая

В медицинската история 55-годишният пациент заявява, че няма хронични заболявания и не приема никакви лекарства. Начинът на живот на пациента също е без забележки. Пациентът има няколко зъбни възстановявания и два импланта (2-ри и 4-ти квадрант). Въз основа на настоящите данни се установява гингивит при иначе стабилно пародонтално състояние върху редуцирания пародонт (стадий III, степен А).

Анализ на случая съгласно IPC

История на заболяването: без забележки
Рискови фактори: няма
Риск от заболяване или от усложнения: няма
Лекарства: не приема
Начин на живот: без забележки
Орално здраве: стабилно
Предишни лечения: зъбни възстановявания (съчетание от нескъпоценни метали и керамика), два импланта (2-ри, 4-ти квадрант)
Оценка на риска от кариес: нисък
Пародонтит: умерен риск
Риск от поява: умерен за периимплантит
Риск от прогресия: нисък за пародонтит

Препоръчително лечение според IPC

Икона на цикъла IPC: лупа

Пациентът не показва особени рискови фактори със специфични дентални последици. Следователно ключовият фактор е изискването по отношение на оралното здраве. В това отношение доброто орално здраве се проявява при стабилен, редуциран пародонт. Ако при контролен преглед се установят данни за увеличаване на дълбочината при сондиране в сравнение с изходното ниво, съчетано с дифузно кървене, следва да се предприеме диагностика с помощта на рентгенова снимка (дентален рентген), за да се установи загуба на периимплантатна кост на ранен етап и да се предприемат съответните интервенции.

Икона на цикъла IPC: мехурчета с реч

Въпреки доброто състояние е важно този пациент да бъде мотивиран и инструктиран. Особено внимание трябва да се обърне на правилната грижа за имплантите. Тук по-специално добрата поддръжка в домашни условия може да окаже значително влияние върху дългосрочната стабилност на здравето на устната кухина и имплантите.

Икона на цикъла IPC: инструменти за профилактика

Що се отнася до инструментите, за използването им с импланти са необходими специфични процедури. За да се запази повърхността на импланта, като същевременно се почисти ефективно, е необходимо да се изберат подходящи пудри и инструменти, като например целенасочено използване на апарати за въздушно полиране със специални пародонтални накрайници. Може да се определи коя пудра е най-подходяща в зависимост от нуждите и риска. Например, освен подходящата степен на абразивност, могат да се вземат предвид и диетичните изисквания (включително без захар, с ниско съдържание на сол).

Икона на цикъл IPC: зъб

В този случай за пациента не са показани никакви адюванти. За профилактика на кариеса се препоръчва използването на флуорирана паста за зъби.

Икона на цикъл IPC: лист от календар

Въз основа на стабилната пародонтална и периимплантатна ситуация се препоръчва пациентът да прави контролни прегледи на всеки шест месеца.

Пародонтален статус (ParoStatus®.de)
Фиг. 1: Пародонтален статус (ParoStatus®.de)
Фиг. 2: Оценка на пародонталния риск според Ланг и Тонети: среден риск
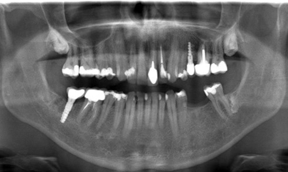
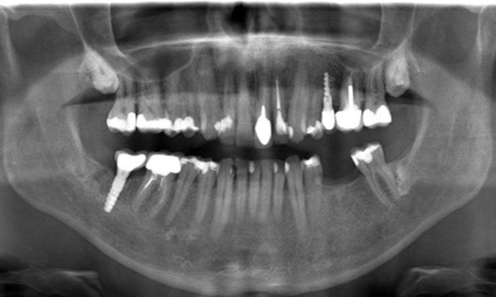
Рентгеновата снимка показва загуба на кост
Рентгеновата снимка показва загуба на кост
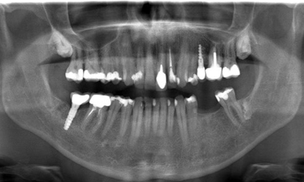
OPG: 29/02/2024
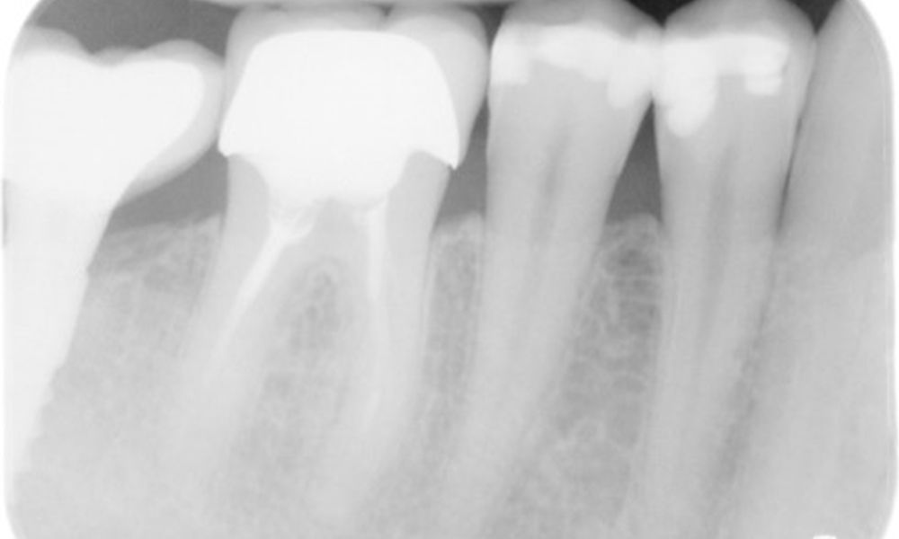
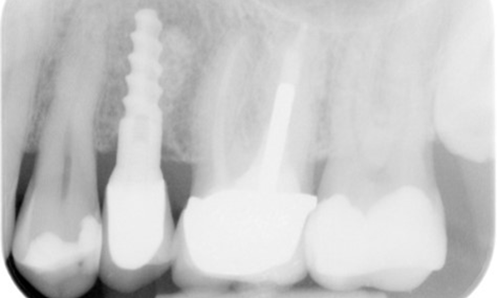
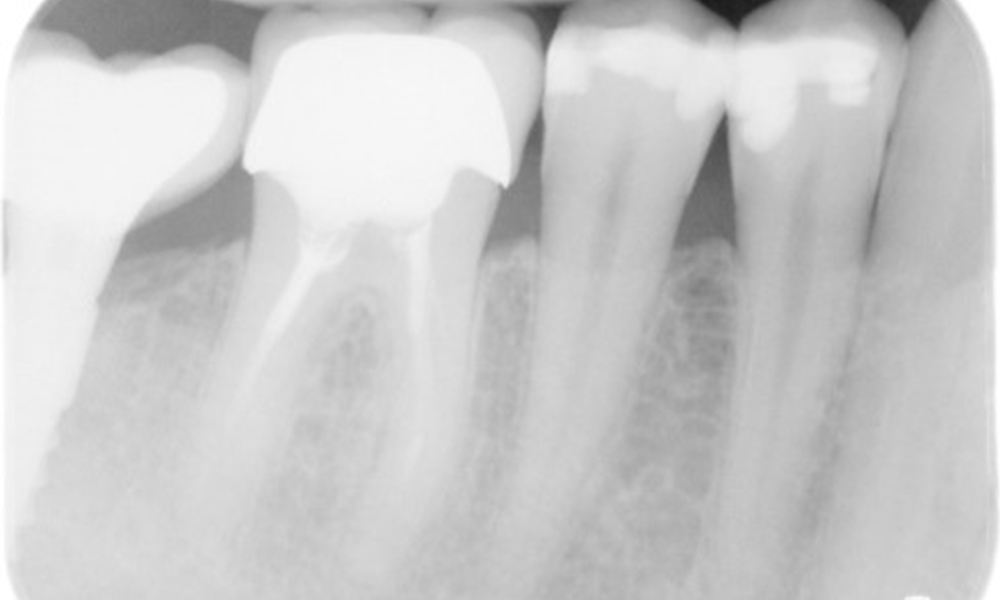
Рентгенова снимка (или рентгенова снимка на захапката)
Рентгенова снимка (или рентгенова снимка на захапката), заснета на: 18/02/2021
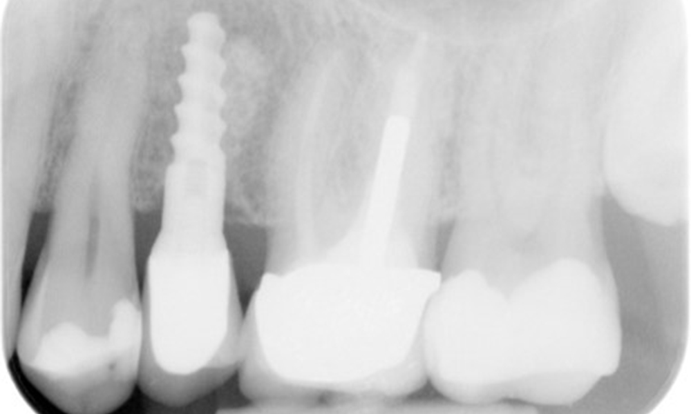
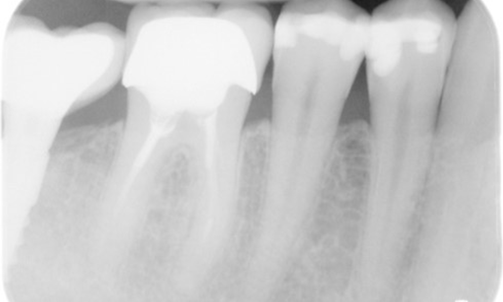
Рентгенова снимка (или рентгенова снимка на захапката)
Рентгенова снимка (или рентгенова снимка на захапката), заснета на: 18/02/2021
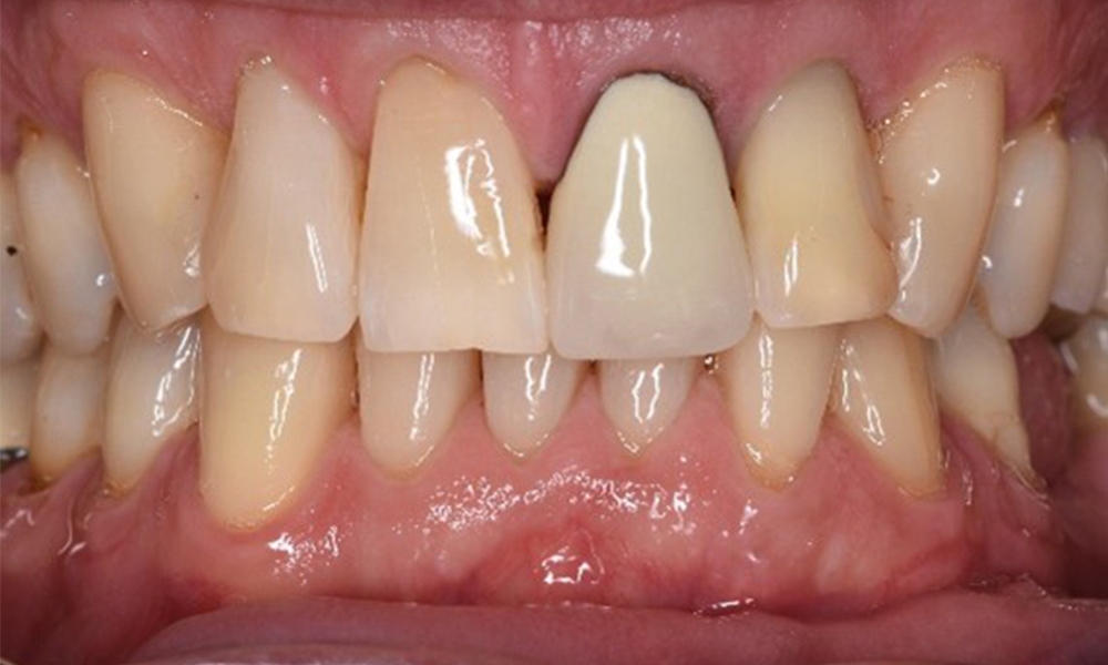
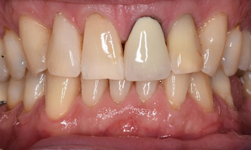
Преден изглед на зъбите (горна и долна челюст)
Изглед отпред

PD Д-р Г. Шмалц, MSc
Проф. д-р Д. Зиболц, MSc

Библиография

  1. Bansal M, Rastogi S, Vineeth NS. Influence of periodontal disease on systemic disease: inversion of a paradigm: a review. Journal of medicine and life. 2013;6(2):126-30.
  2. Si Y, Fan H, Song Y, Zhou X, Zhang J, Wang Z. Association Between Periodontitis and Chronic Obstructive Pulmonary Disease in a Chinese Population. Journal of Periodontology. 2012;83(10):1288-96.
  3. WHO. Oral Health [Fact sheet]. WHO International Newsroom2020 [cited 2020 25.03.2020]. Available from: https://www.who.int/news-room/fact-sheets/detail/oral-health.
  4. Seitz MW, Listl S, Bartols A, Schubert I, Blaschke K, Haux C, et al. Current Knowledge on Correlations Between Highly Prevalent Dental Conditions and Chronic Diseases: An Umbrella Review. Preventing chronic disease. 2019;16:E132.
  5. Papapanou PN, Sanz M, Buduneli N, Dietrich T, Feres M, Fine DH, et al. Periodontitis: Consensus report of workgroup 2 of the 2017 World Workshop on the Classification of Periodontal and Peri-Implant Diseases and Conditions. J Periodontol. 2018;89 Suppl 1:S173-S82.
  6. Chapple IL, Bouchard P, Cagetti MG, Campus G, Carra MC, Cocco F, et al. Interaction of lifestyle, behaviour or systemic diseases with dental caries and periodontal diseases: consensus report of group 2 of the joint EFP/ORCA workshop on the boundaries between caries and periodontal diseases. J Clin Periodontol. 2017;44 Suppl 18:S39-s51.
  7. Cao R, Li Q, Wu Q, Yao M, Chen Y, Zhou H. Effect of non-surgical periodontal therapy on glycemic control of type 2 diabetes mellitus: a systematic review and Bayesian network meta-analysis. BMC oral health. 2019;19(1):176.

коментара