Доклади & Изследвания

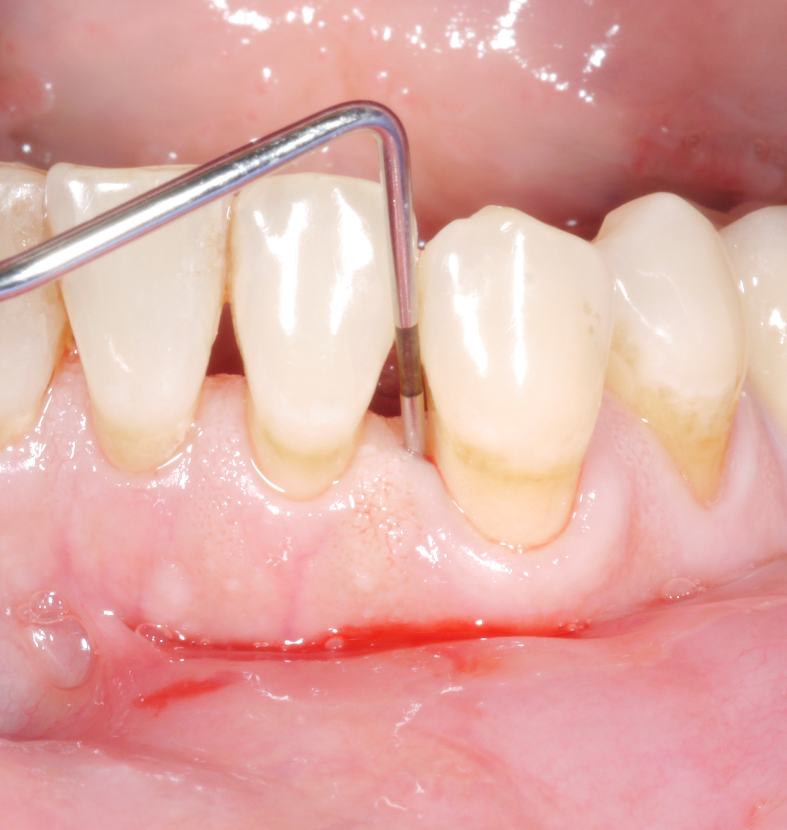
Остатъчна дълбочина на сондиране от 6 мм - проблем ли е това?

PD Dr. Kristina Bertl, PhD MSc MBA

Това е ситуация, която ни е добре позната: след активната фаза на лечението почти всички зъби на пациента вече не са засегнати от увеличените дълбочини на сондиране. Въпреки това все още има 1 или 2 места, където целта на лечението за съжаление не е постигната. Възможно е да възникне следната мисъл: „Колко лошо може да бъде това? Един единствен джоб с 6 или 7 мм - със сигурност това не може да има голямо значение?“

Денталните лекари обаче не трябва да се задоволят твърде бързо с оставащите дълбочини на сондиране по-големи от 4 mm, защото те представляват проблем, поне в дългосрочен план - както за засегнатия зъб, така и за останалото съзъбие.

Данните от швейцарско проучване, което проследява приблизително 170 пациенти на поддържаща терапия за среден период от 11 години, показват много ясно проблема, свързан с изолираните дълбочини на сондиране:

  • Дълбочината на сондиране на индивидуалните остатъчни джобове от 6 mm или повече е рисков фактор за влошаване на общото пародонтално здраве и за загуба на зъби.
  • Многобройните остатъчни дълбочини на сондиране от 5 mm или повече също са рисков фактор за влошаване на общото пародонтално здраве.
  • Кървенето при сондиране удвоява риска от по-късна загуба на зъби.
  • Рискът от загуба на зъби при остатъчна дълбочина на сондиране от 5 mm се увеличава почти 8 пъти, при 6 mm - около 10 пъти, а при 7 mm - дори повече от 60 пъти!

Заключение: Целта на лечението трябва да бъде максимална дълбочина на сондиране от 4 мм и липса на възпаление!

Източници

  1. Matuliene G, Pjetursson BE, Salvi GE, Schmidlin K, Brägger U, Zwahlen M, Lang NP. Influence of residual pockets on progression of periodontitis and tooth loss: Results after 11 years of maintenance. J Clin Periodontol 2008; 35: 685–695.

коментара