Доклади & Изследвания

Пиезохирургия – универсален принцип за различни индикации

В ерата на минимално инвазивното лечение, денталните и лицево-челюстните хирурзи все повече използват пиезоелектрически апарати за обработка на костна тъкан. Технологията е базирана на ултразвукова хирургия и е перфектна за атравматична обработка на твърди тъкани.

Физичният принцип зад това, което се нарича пиезоелектрически ефект е, че кварцът вибрира, когато се приложи електрическо напрежение. Специални датчици преобразуват вибрациите, генерирани от кварца, в осцилиране на работния накрайник, който същевременно позволява избирателно отстраняване на тъкан с ултразвукова хирургия. Тази процедура е утвърдена в различни области на хирургията в продължение на много десетилетия.

W&H Piezomed

Голямото предимство на пиезохирургията в денталната медицина е, че тя е избирателна за твърди зъбни тъкани. Докато околните меки тъкани абсорбират вибрациите от металните инструменти (предимно) и вибрират с работния накрайник, калцираните тъкани се отстраняват избирателно за препарация на костта. Това осигурява значителни предимства за различни индикации, които изискват атравматична препарация на костта в непосредствена близост до важни структури на меките тъкани като нервни окончания, гингива и дори лигавицата в устната кухина.

Пиезоелектрическите апарати имат други клинични предимства, в сравнение с осцилиращите триони и дори ротиращите фрези. Например, минималната извивка на накрайника осигурява изключително прецизна препарация на остеотомните депа. При употреба на ротиращи фрези и осцилиращи триони, първоначалната извивка на остеотомната линия е особено трудна и това често води до несъответствия между планирания и естествения ход на остеотомията. В допълнение, ротиращите инструменти изискват определена степен на стабилност, за да устоят на режещите сили, които се образуват по време на ротираща аблация. В сравнение с пиезохирургията, това води до значително по-големи грешки при препарация, последвани от загуба на кост и нужда от аугментация. (Lakshmiganthan, Gokulanathan et al. 2012).

Друг проблем при ротиращите инструменти е рискът от неумишлена деформация, в резултат на увличане от режещия инструмент в обработваната зона. Особено при работа близо до съседни зъби и нерви, пиезоелектрическият накрайник може да увеличи безопасността по време на хирургия и да намали риска от нараняване на съседните структури (Pereira, Gealh et al. 2014).

Друга важна характеристика на пиезоелектрическите апарати, което допълнително насърчава тяхната употреба е възможността да използвате инструменти за пренасочване на вибрациите при препарация. Например, ретроградната препарация при апикална резекция с обратен наконечник с мини глава е сложен процес, който изисква оформянето на разширено ламбо и достъп до костта. Това може да бъде извършено много елегантно, използвайки пиезоелектрически апарат чрез пренасочване на енергията от вибрациите в накрайника. Намалената препарация на твърди и меки тъкани позволява по-малък достъп и по този начин се намалява периоперативната заболеваемост на пациентите след апикална резекция.

Докато пиезоелектрическата хирургия е считана за процедура с голяма консумация на време, най-новото поколение апарати имат значително подобрена режеща и аблативна (отстраняваща) функция. Създаването на иновативния апарат Piezomed на W&H включва значителни предимства в работните накрайници и в основната мощност, в сравнение с конвенционалните параметри. Апаратът предлага функция с 15-секундно усилване на мощността за оптимизация и за да активира допълнителните резерви на апарата. Системата е улеснена с автоматична функция за разпознаване на накрайника и определяне на оптималните настройки за специфичните инструменти. Piezomed предлага и оптимално осветяване на обработваната зона с няколко LED диода, интегрирани в наконечника, осигурявайки добра видимост в задните зони на челюстта.

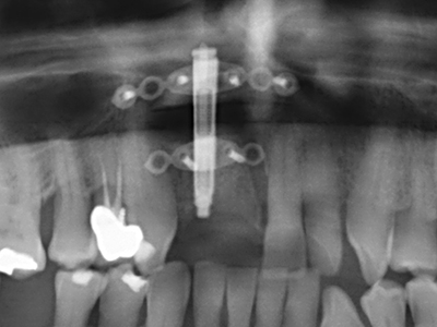
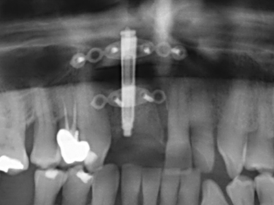
Индикация: Синус лифт

Препарацията на латерално ламбо по време на външен синус лифт е предизвикателство, особено за имплантолози с малък опит в хирургията. Отделянето на костното покритие на синуса без да бъде наранена лежащата отдолу Шнайдерова мембрана е само част от операцията – след установяване на подходящ достъп, линията на мембраната на синуса трябва внимателно да бъде повдигната, за да се направи място за материалите за аугментация или имплантите. Пиезохирургията е полезна за тази индикация по два начина: могат да се използват накрайници с диамантено покритие за избирателна костна аблация и едновременно с това, лежащата отдолу мукозна мембрана остава непокътната, когато процедурата е извършена прецизно. Ултразвуковите честоти също допринасят за отделяне на мукозната мембрана без усложнения – честотите се предават в пространството между мукозната мембрана и синуса чрез специални накрайници със заоблени ръбове (Cassetta, Ricci et al. 2012, Pereira, Gealh et al. 2014) (Rickert, Vissink et al. 2013). В резултат на това, не е изненадващо, че текущите доклади за външен синус лифт оценят положително пиезоелектрическите апарати, както и употребата на импланти с набраздени повърхности и костозаместителни материали. (Wallace, Tarnow et al. 2012).

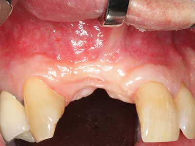
Снимки на клинични случаи


Индикация: Възстановяване на кост

Автогенни костни присадки се използват под формата на блокчета, миди, пръстени и се комбинират с костозаместителни материали като стърготини. Ако имплантното ложе се обработва едновременно с аугментацията, различни системи за филтриране на кост са доказали своята ефективност за събиране на получените костни стърготини. В алтернатива, имплантното ложе може да бъде подготвено с апарат с ниски обороти без охлаждане. Ако не се постави имплант, костните стърготини от периферията могат да бъдат събрани с канюла за събиране на костен материал. Това също е възможно с пиезохирургия, използвайки специални накрайници, които събират костни стърготини с високо качество, в сравнение с костните стърготини, събрани с кръгли борери, както бе потвърдено в научно изследване, сравняващо двата метода (Chiriac, Herten et al. 2005).

Пиезохирургията има допълнителни предимства при събиране на костни блокове. В допълнение към високата прецизност при остеотомията, описана по-горе, употребата на фините режещи накрайници значително намаляват загубата на материал. Голяма загуба на материал по време на събиране може да се очаква с дебелите накрайници, особено при употреба на борери Линдеман (Lakshmiganthan, Gokulanathan et al. 2012). Базалното разделяне, което е необходимо, особено за присадка на блок при ретромолар, е улеснено от специално създадени правоъгълни триони. В резултат на това, пиезохирургията е разглеждана като прецизна, улеснена и безопасна процедура за събиране на костни блокове в ретромоларното пространство (Happe 2007) (Фиг. 1-12).


Индикация: Костно разделяне/ шиниране?

Костната тъкан е не само минерализирана структура, тя съдържа и съществено количество колагенови влакна. Това означава, че тя има не само добра компресивна сила, но и известна степен на гъвкавост, която може да се възприеме като предимство при извършване на костна аугментация. В класическата процедура по разширяване чрез костно разделяне, атрофиралият алвеоларен гребен е разделен надлъжно и внимателно разширен след достигане на подходящата остеотомна дълбочина (Фиг. 13-16), в идеалния случай без допълнително отстраняване на периостеума (Brugnami, Caiazzo et al. 2014, Stricker, Fleiner et al. 2014). Системите с винт и пластини с увеличаване на разстоянието при разширяване са доказали ефективността си при разделяне на двете костни ламели, оставайки под прага на фрактурите. В общи линии, оставащата ширина на костта от поне 3–4 mm е задължителна (Chiapasco, Zaniboni et al. 2006), за да се гарантира добра гъвкавост и достатъчно костно покритие за бъдещото поставяне на импланти. Ако е необходимо, вертикалната остеотомия на едната или двете страни може да подобри гъвкавостта. Комбинацията с допълнителни техники за аугментация, особено в букалната страна, е описана като алтернатива на класическата техника.

Процедурата по разделяне е атравматична и няма голяма загуба на пространство, използвайки пиезотриони, и няма значителна разлика между импланти в разделени челюсти и импланти в алвеоларния гребен без костен дефицит (Chiapasco, Zaniboni et al. 2006, Danza, Guidi et al. 2009). Въпреки това, важно е да има достатъчно и продължително охлаждане, особено при ограничено и дълбоко разделяне, за да се избегне термичен стрес в апикално-остеотомните зони.


Индикация: Апикална резекция

Както е отбелязано по-горе, индикациите за пиезохирургия могат да бъдат открити и в сферата на консервативната дентална хирургия. Специалните работни накрайници улесняват разкритието на кореновите канали и предпазват нервите и мукозната мембрана на синуса, особено в долния премолар и горната дистална зона на зъбите. Извитите диамантени накрайници се използват за прецизна подготовка за резекция на кавитета за ретроградно запълване на канали на незакрита апикална обтурация. Ултразвуковата технология позволява накрайниците да бъдат много тънки, като това подобрява видимостта и размера на достъпа до кавитета. В резултат, приложението на ултразвукова хирургия за тази индикация е една от стандартните процедури за апикална резекция (Del Fabbro, Tsesis et al. 2010, Scarano, Artese et al. 2012).


Индикация: Препарация близо до нерви

Когато се извършват хирургични процедури върху кост в непосредствена близост до чувствителни структури като кръвоносни съдове или нерви, ротиращите инструменти създават значителен риск за ятрогенно нараняване. Пиезоелектрическите апарати могат да бъдат от помощ при препарация на костно покритие и отстраняване на твърда кост близо до нерви, особено за оголване на нервите след ятрогенно нараняване, както и по време на латерализация на нервите за резекционни и реконструктивни процедури или поставяне на имплант (Фиг. 17-20). Лекият контакт между пиезонакрайника и нерва по принцип не води до нараняване, но ако действате непредпазливо с трионообразни движения или приставки за остатъчен костен субстрат, може да причините временно или перманентно увреждане на нерва. Въпреки това, рискът от увреждане се счита за много по-малък, отколкото при употреба на триони или ротиращи инструменти (Pereira, Gealh et al. 2014).


Индикация: Пародонтална терапия

Маргиналните пародонтални заболявания са основната причина за екстракции в напреднала възраст. Тези болести се появяват главно от бактериална колонизация на гингивалния джоб, който причинява възпаление, последвано от загуба на периодонциума. Образуването на субгингивален биофилм и конкременти е значителен етилогичен фактор за маргинална костна атрофия, така, че тяхното отстраняване е важна част от лечението (Drisko 2014, Plessas 2014).

Първоначалната и хирургичната фаза на лечение са разграничени в лечението от периферен пародонтит. В допълнение към обучението по орална хигиена и мотивацията на пациентите, двете фази трябва да включват подходящо почистване на кореновата повърхност. В регенеративната настройка, отвореният достъп обикновено е за предпочитане. Кореновата повърхност може да бъде почистена с пиезохирургия чрез използването на специални накрайници с различни извивки за достигане на труднодостъпни зони, например фуркации. Интегрираното охлаждане в системата отмива прилепналите конкременти и бактерии навън от джоба. Специализираните системи като Piezomed включват приложение за обратна връзка за намаляване на аблацията на твърди дентални субстанции. Колкото по-голям е натискът върху пародонталния накрайник, толкова по-голяма е редукцията на количеството на аблация.


Допълнителни индикации

Както е показано в миналото, всяка костна хирургия представлява възможна индикация за пиезохирургия. По този начин, за препарацията на подвижни сегменти в остеогенеза (Фиг. 23-25) и остеотомия се използват специални накрайници, без да се застрашава снабдяването с кръв в кресталната зона, което е от съществено значение за успеха и на двете техники (Gonzalez-Garcia, Diniz-Freitas et al. 2008).

За отстраняването на имплант, вестибуларното костно покритие, което е заменено след премахване на импланта, може да бъде оформено, за да задържи контура на алвеоларния гребен.

Съществуват различни приложения в синусната хирургия. Патологията и чуждите тела могат да бъдат отстранени от синуса след концентрирана препарация на трапецовидното костно покритие във фронталната стена на синуса.

Чисто ортодонтските индикации включват ортогнатна хирургия, генопластика (Фиг. 27-30) и орбитална декомпресия при пациенти с напреднала ендокринна орбитопатия, в резултат от Базедова болест (Ponto, Zwiener et al. 2014). Пиезо апаратите се използват също за лицево-челюстна хирургия и за отстраняване на тумори в основата на черепа в различни болници.

Специалните меки накрайници за периимплантит отварят нови перспективи в денталната медицина. Те са тема на текущи изследвания и първоначалните резултати са много обещаващи.


Заключение

В заключение, ясно е, че пиезохирургията е подходяща за широка гама дентални индикации. Повишеният интерес към пиезохирургичните процедури се дължи предимно на лесната употреба и избирателността при отстраняване на костна тъкан с повишена безопасност по време на хирургичните процедури върху костта. Те предлагат и висока степен на прецизност, което е особено предимство в случаите на силно ограничено пространство. Употребата на множество накрайници и настройки, предназначени за специфичните индикации, осигурява покритие на много различни области, и в резултат, апаратите днес са станали рутинни ръчни инструменти в много практики и болници.

Daniel Rothamel, Arndt Happe, Tim Fienitz, Matthias Kreppel, Jörg Neugebauer, Joachim E Zöller


Д-р Даниел Ротхамел
daniel.rothamel@uk-koeln.de
www.uk-koeln.de

Д-р Даниел Ротхамел

  • 1996-2001 Dental Studies, Heinrich-Heine-Universität, Düsseldorf
  • 2003 Foreign Development Assistance, SKM Hospital,Sankhu, Kathmandu, Nepal
  • 2004 Promotion to Dr. med. dent.
  • 2001-2007 Human Medicine Studies, Heinrich-Heine-Universität, Düsseldorf
  • 2002-2008 Oral Surgery Training at the University of Düsseldorf (Prof.Dr. J. Becker)
  • 2007 Medical State Examination
  • DAAD Post-doctoral Fellowship, University of Sydney, Australia
  • 2008 Promotion to Dr. med.
  • 2008-2013 Maxillofacial Surgery Training, University Hospital of Cologne (Prof. Dr. Dr. J. Zöller)
  • 2009 Habilitation and award of post-doctoral lecturing qualification (topic: reconstruction of jaw defects)
  • 2013 to present: Chief Consultant at the Clinic for Maxillofacial Surgery


Снимки на клинични случаи

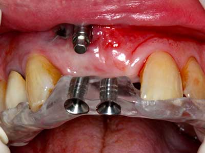
Фиг. 1: Препарация на костно покритие с Piezomed (W&H Залцбург, Австрия).
Фиг. 2: Хоризонтален и вертикален латерално-максиларен дефект с висока линия на усмивката с индикация за пре-реконструкция за имплант.
Фиг. 3: Базалното разделяне на блока е по-лесно със специалните извити накрайници.
Фиг. 4: Допълнителни автогенни костни стърготини се събират със скалер за кост.
Фиг. 5: Проверка на размера на блока към страната на реципиента.
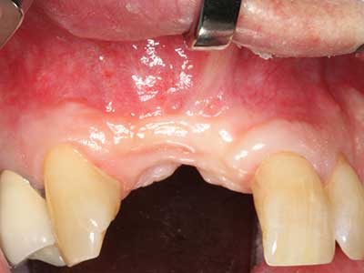
Фиг. 6: След препарация на мукопериосталната клапа.
Фиг. 7: Първоначалната препарация на мукозната мембрана на синуса може да бъде извършена с ултразвук.
Фиг. 8: След синус лифт, кресталната костна шина е фиксирана към дефектния алвеоларен гребен.
Фиг. 9. Запълване с животински костозаместител (Cerabone 0.5–1 mm, Botiss Bio-materials, Berlin) и автогенна кост (палатинален изглед).
Фиг. 10: Покритие на аугментираната зона с дълготрайна стабилизираща перикардна мембрана (Jason collagen membrane, Botiss).

Фиг. 11: Следоперативната панорамна снимка показва вертикалната аугментация и синус лифта.
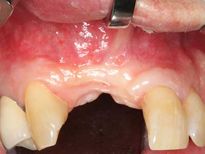
Фиг. 12: След шест месеца на заздравяване, алвеоларният гребен е добре оразмерен триизмерно.
Фиг. 13: Подходяща иригация с остатъчна 4 mm дебелина на костта е важна за този 52-годишен пациент по време на разделянето на костта.
Фиг. 14: Поставяне на RSX имапланта (Bego Implant Systems, Bremen).
Фиг. 15: Прегледът на рентгеновата снимка след 1 година показва стабилно състояние на нивото на костта.

Фиг. 16: Интраоралните условия също са стабилни с поставените импланти в кератизираната гингива.
Фиг. 17a: CT изображение на стимулиращата растеж остеотомия в непосредствена близост до...
Фиг. 17b: алвеоларния канал с нервни окончания (латерален и коронарен изглед).
Фиг. 18: Препарация на кортикално покритие с пиезо накрайник за кост (Piezomed, W&H).

Фиг. 19: Хирургичното поле след невролиза и отстраняване на остеотом.
Фиг. 20: Отстраненото костно покритие е поставен отново и фиксиран с винт за остеосинтеза (KLS Martin, Tuttlingen).
Фиг. 21: Разширена челюст с дефект на преден зъб с индикация за остеогенеза с белези от предходна операция.
Фиг. 22: Подвижният сегмент може да бъде прецизно отделен с тънкия трион за остеотомия (W&H Piezomed).
Фиг. 23: Финално преместване на палатинално отделения сегмент с длетото.

Фиг. 24: Приложение на разделичителя (TRACK-System, KLS Martin).
Фиг. 25: Панорамна снимка след достигане на финалната височина на раздалечаване, преди периода на консолидиране.
Фиг. 26: Стабилни условия преди поставяне на импланта и след периода на консолидиране от 4 месеца.
Фиг. 27: 21-годишен пациент след превръщаща остеотомия с персистираща ретрогнатия с клас II дисгнатия.
Фиг. 28: По време на отстраняване на метал, базалните зони на брадичката са разделени с Piezomed при запазване на кръвоснабдяването.
Фиг. 29: Преместване на брадичката напред с 5 mm и фиксация с две пластини за остеосинтез (KLS Martin). Двата нерва могат да бъдат открити в маргиналната област.
Фиг. 30: Естетическото подобряване на контура на брадичката може да се види ясно след операцията.

коментара