Доклади & Изследвания

Perfecta 900

Jürgen Auffarth
Jürgen Auffarth

Потребителски доклад на ZTM (Главен дентален зъботехник) Jürgen Auffarth
Залцбург, Австрия

Там, където денталният медик се нуждае от обратен наконечник, зъботехникът се нуждае от технически наконечник. Вероятно, той е най-често използваният инструмент през цялото работно време.

Когато говорим за Perfecta 900 на W&H, определено става дума за инструмент. Тих и мощен инструмент с невероятна форма.

През годините, използвайки различни, задвижвани от въздух мотори, става ясно, че звукът от тях не винаги е музика за ушите на този, който ги управлява. В действителност това е така, защото някои зони на приложение изискват скорост от 200,000 об/мин. Намаляването на скоростта наполовина при едновременно водно охлаждане, създава перфектно усещане при работа със съвременни материали като циркониев оксид.
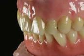
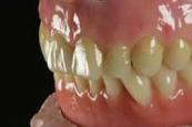
Perfecta 900 се състои от контролен юнит с резервоар за охлаждане и захранване с въздух за работа с наконечник с висок торг, който се ускорява до 50,000 об/мин, плюс високопроизводителен микромотор, който се ускорява до 100,000 об/мин при едновременно водно охлаждане. Можете да избирате между крачно или колянно управление за стартиране. Индивидуалната употреба и на двата инструмента се осигурява и наглася в детайли от спестяващ място модулен блок. Двата инструмента са снабдени с обдухваща функция, която позволява ефикасно да се манипулира върху всякакви материали, като изчиства веднага изпилените отпилки или прах по време на работа. В частност, обдухващата функция улеснява процеса на запълване със спрей при адаптиране на метални корони към обработваната зона и при употреба на стерео микроскоп. Това означава, че не е необходимо материалът да се нагажда при всяко изпиляващо движение и зрителното поле остава непроменено.

Забележителен е фактът, че наконечникът не се загрява много, дори когато обработвате неблагородни сплави за дълги периоди от време. Там, където другите инструменти отдавна автоматично са забавили, например при разрез на корони с диамантени колела с широк диаметър, Perfecta 900 работи с лекота. Поради максималната скорост от 50,000 об/мин, потребителят трябва винаги да бъде сигурен, че индивидуално настроената скорост е съобразена с максималната скорост на изпиляване, фрезоване и полиране на самия инструмент.

Концентрираната работа е улеснена от допълнителна круизна функция, която може да се настрои отделно. Това означава, че зъботехникът може да насочи цялото си внимание върху материала. Например при инкрустация, облицоване или ръбове на корони. Високоустойчивите керамики, като циркониев оксид или литиев дисиликат, могат да се издълбаят прецизно с финозърнести диаманти и водно охлаждане. Използвайки ръчния регулатор за охладителна течност на Perfecta 900, интензивността на водната струя може да бъде така фино настроена, че събиращата торбичка отдолу е абсолютно достатъчна, за да абсорбира влагата по време на работа.

След като приключите, Perfecta 900 се оставя на неплъзгащата гумена стойка за съхранение под ъгъл така, че да се избегне всякакъв риск от повреда на прикачения инструмент.

Процесът на рафиниране на материали чрез ръчна работа с ротиращи инструменти е фундаментална част от нашата професия за години напред. Perfecta 900 покрива всички зони на приложение в съвременната дентална технология, като комбинира два микромотора в един контролен юнит и като достига невероятни стойности, посредством допълнително интегрирани функции. Един изключителен апарат за модерна и ориентирана към високо качество лаборатория.

коментара